| Western blot (WB): | 1:500-2000 |
| Immunohistochemistry (IHC): | 1:50-400 |
| Flow Cytometry (Fixed): | 1:50-200 |
| (Boiling the paraffin sections in 10mM citrate buffer,pH6.0,or PH8.0 EDTA repair liquid for 22 mins is required for the staining of formalin/paraffin sections.) Optimal working dilutions must be determined by end user. | |

Western blot analysis of CD10/MME using anti-CD10/MME antibody (PB9058). The sample well of each lane was loaded with 30 ug of sample under reducing conditions.
Lane 1: human daudi whole cell lysates,
Lane 2: human U-87MG whole cell lysates,
Lane 3: human placenta tissue lysates,
Lane 4: rat kidney tissue lysates.
After electrophoresis, proteins were transferred to a membrane. Then the membrane was incubated with rabbit anti-CD10/MME antigen affinity purified polyclonal antibody (PB9058) at a dilution of 1:1000 and probed with a goat anti-rabbit IgG-HRP secondary antibody (Catalog # BA1054). The signal is developed using ECL Plus Western Blotting Substrate (Catalog # AR1197). A specific band was detected for CD10/MME at approximately 100 kDa. The expected band size for CD10/MME is at 86 kDa.

IHC analysis of CD10/MME using anti-CD10/MME antibody (PB9058).
CD10/MME was detected in a paraffin-embedded section of human lymphoma tissue. Biotinylated goat anti-rabbit IgG was used as secondary antibody. The tissue section was incubated with rabbit anti-CD10/MME Antibody (PB9058) at a dilution of 1:200 and developed using Strepavidin-Biotin-Complex (SABC) (Catalog # SA1022) with DAB (Catalog # AR1027) as the chromogen.

IHC analysis of CD10/MME using anti-CD10/MME antibody (PB9058).
CD10/MME was detected in a paraffin-embedded section of human placenta tissue. Biotinylated goat anti-rabbit IgG was used as secondary antibody. The tissue section was incubated with rabbit anti-CD10/MME Antibody (PB9058) at a dilution of 1:200 and developed using Strepavidin-Biotin-Complex (SABC) (Catalog # SA1022) with DAB (Catalog # AR1027) as the chromogen.

IHC analysis of CD10/MME using anti-CD10/MME antibody (PB9058).
CD10/MME was detected in a paraffin-embedded section of human renal cell carcinoma tissue. Biotinylated goat anti-rabbit IgG was used as secondary antibody. The tissue section was incubated with rabbit anti-CD10/MME Antibody (PB9058) at a dilution of 1:200 and developed using Strepavidin-Biotin-Complex (SABC) (Catalog # SA1022) with DAB (Catalog # AR1027) as the chromogen.

Flow Cytometry analysis of Daudi cells using anti-CD10/MME antibody (PB9058).
Overlay histogram showing Daudi cells stained with PB9058 (Blue line). The cells were fixed with 4% paraformaldehyde and blocked with 10% normal goat serum. And then incubated with rabbit anti-CD10/MME Antibody (PB9058) at 1:100 dilution for 30 min at 20°C. Fluoro488 conjugated goat anti-rabbit IgG (BA1127) was used as secondary antibody at 1:100 dilution for 30 minutes at 20°C. Isotype control antibody (Green line) was rabbit IgG at 1:100 dilution used under the same conditions. Unlabelled sample without incubation with primary antibody and secondary antibody (Red line) was used as a blank control.

Western blot analysis of CD10/MME using anti-CD10/MME antibody (PB9058). The sample well of each lane was loaded with 30 ug of sample under reducing conditions.
Lane 1: human daudi whole cell lysates,
Lane 2: human U-87MG whole cell lysates,
Lane 3: human placenta tissue lysates,
Lane 4: rat kidney tissue lysates.
After electrophoresis, proteins were transferred to a membrane. Then the membrane was incubated with rabbit anti-CD10/MME antigen affinity purified polyclonal antibody (PB9058) at a dilution of 1:1000 and probed with a goat anti-rabbit IgG-HRP secondary antibody (Catalog # BA1054). The signal is developed using ECL Plus Western Blotting Substrate (Catalog # AR1197). A specific band was detected for CD10/MME at approximately 100 kDa. The expected band size for CD10/MME is at 86 kDa.

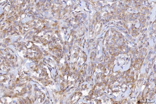
IHC analysis of CD10/MME using anti-CD10/MME antibody (PB9058).
CD10/MME was detected in a paraffin-embedded section of human lymphoma tissue. Biotinylated goat anti-rabbit IgG was used as secondary antibody. The tissue section was incubated with rabbit anti-CD10/MME Antibody (PB9058) at a dilution of 1:200 and developed using Strepavidin-Biotin-Complex (SABC) (Catalog # SA1022) with DAB (Catalog # AR1027) as the chromogen.

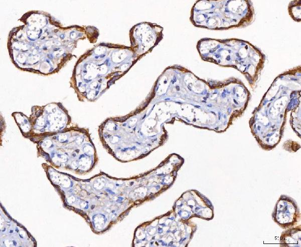
IHC analysis of CD10/MME using anti-CD10/MME antibody (PB9058).
CD10/MME was detected in a paraffin-embedded section of human placenta tissue. Biotinylated goat anti-rabbit IgG was used as secondary antibody. The tissue section was incubated with rabbit anti-CD10/MME Antibody (PB9058) at a dilution of 1:200 and developed using Strepavidin-Biotin-Complex (SABC) (Catalog # SA1022) with DAB (Catalog # AR1027) as the chromogen.

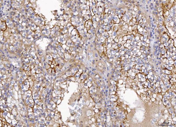
IHC analysis of CD10/MME using anti-CD10/MME antibody (PB9058).
CD10/MME was detected in a paraffin-embedded section of human renal cell carcinoma tissue. Biotinylated goat anti-rabbit IgG was used as secondary antibody. The tissue section was incubated with rabbit anti-CD10/MME Antibody (PB9058) at a dilution of 1:200 and developed using Strepavidin-Biotin-Complex (SABC) (Catalog # SA1022) with DAB (Catalog # AR1027) as the chromogen.

Flow Cytometry analysis of Daudi cells using anti-CD10/MME antibody (PB9058).
Overlay histogram showing Daudi cells stained with PB9058 (Blue line). The cells were fixed with 4% paraformaldehyde and blocked with 10% normal goat serum. And then incubated with rabbit anti-CD10/MME Antibody (PB9058) at 1:100 dilution for 30 min at 20°C. Fluoro488 conjugated goat anti-rabbit IgG (BA1127) was used as secondary antibody at 1:100 dilution for 30 minutes at 20°C. Isotype control antibody (Green line) was rabbit IgG at 1:100 dilution used under the same conditions. Unlabelled sample without incubation with primary antibody and secondary antibody (Red line) was used as a blank control.




