| Western blot (WB): | 1:500-2000 |
| Immunohistochemistry (IHC): | 1:50-400 |
| Immunocytochemistry/Immunofluorescence (ICC/IF): | 1:50-400 |
| Flow Cytometry (Fixed): | 1:50-200 |
| (Boiling the paraffin sections in 10mM citrate buffer,pH6.0,or PH8.0 EDTA repair liquid for 20 mins is required for the staining of formalin/paraffin sections.) Optimal working dilutions must be determined by end user. | |

Western blot analysis of FOXO3A/FOXO3 using anti-FOXO3A/FOXO3 antibody (PB9196). The sample well of each lane was loaded with 30 ug of sample under reducing conditions.
Lane 1: human 293T whole cell lysates,
Lane 2: human MCF-7 whole cell lysates,
Lane 3: human Jurkat whole cell lysates,
Lane 4: human Hela whole cell lysates,
Lane 5: rat lung tissue lysates,
Lane 6: rat ovary tissue lysates.
After electrophoresis, proteins were transferred to a membrane. Then the membrane was incubated with rabbit anti-FOXO3A/FOXO3 antigen affinity purified polyclonal antibody (PB9196) at a dilution of 1:1000 and probed with a goat anti-rabbit IgG-HRP secondary antibody (Catalog # BA1054). The signal is developed using ECL Plus Western Blotting Substrate (Catalog # AR1197). A specific band was detected for FOXO3A/FOXO3 at approximately 80-90 kDa. The expected band size for FOXO3A/FOXO3 is at 71 kDa.

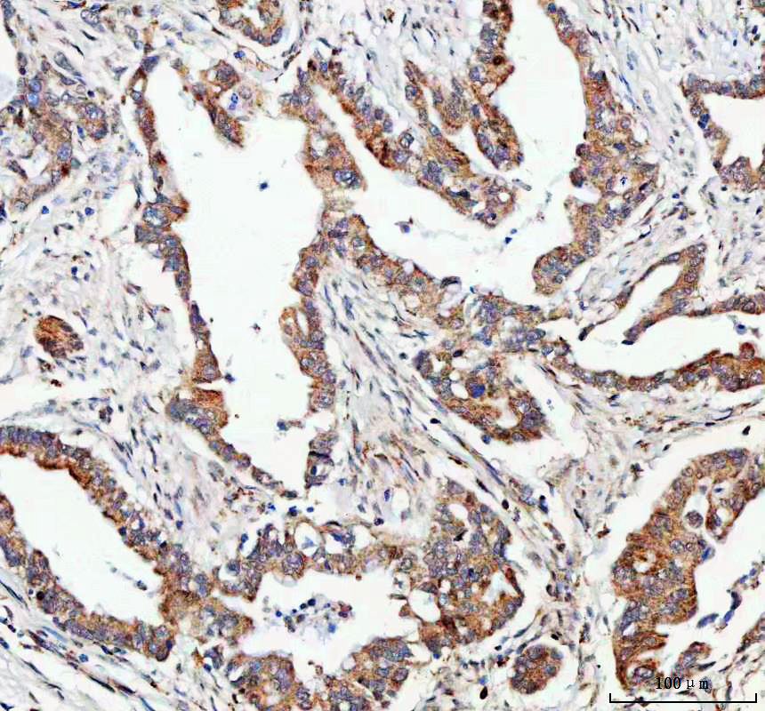
IHC analysis of FOXO3A/FOXO3 using anti-FOXO3A/FOXO3 antibody (PB9196) .
FOXO3A/FOXO3 was detected in a paraffin-embedded section of human pancreatic ductal adenocarcinoma tissue. The tissue section was incubated with rabbit anti-FOXO3A/FOXO3 Antibody (PB9196) at a dilution of 1:200 and developed using HRP Conjugated Rabbit IgG Super Vision Assay Kit (Catalog # SV0002) with DAB (Catalog # AR1027) as the chromogen.

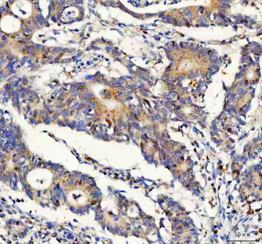
IHC analysis of FOXO3A/FOXO3 using anti-FOXO3A/FOXO3 antibody (PB9196) .
FOXO3A/FOXO3 was detected in a paraffin-embedded section of human pancreatic ductal adenocarcinoma tissue. The tissue section was incubated with rabbit anti-FOXO3A/FOXO3 Antibody (PB9196) at a dilution of 1:200 and developed using HRP Conjugated Rabbit IgG Super Vision Assay Kit (Catalog # SV0002) with DAB (Catalog # AR1027) as the chromogen.

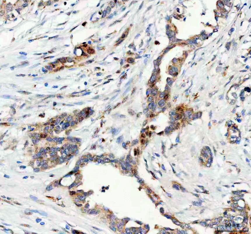
IHC analysis of FOXO3A/FOXO3 using anti-FOXO3A/FOXO3 antibody (PB9196) .
FOXO3A/FOXO3 was detected in a paraffin-embedded section of human colorectal adenocarcinoma tissue. The tissue section was incubated with rabbit anti-FOXO3A/FOXO3 Antibody (PB9196) at a dilution of 1:200 and developed using HRP Conjugated Rabbit IgG Super Vision Assay Kit (Catalog # SV0002) with DAB (Catalog # AR1027) as the chromogen.

ICC/IF analysis of FOXO3A/FOXO3 using anti-FOXO3A/FOXO3 antibody (PB9196) and anti-Beta Tubulin antibody (M01857-3).
FOXO3A/FOXO3 was detected in an immunocytochemical section of U2OS cells. The section was incubated with rabbit anti-FOXO3A/FOXO3 Antibody (PB9196) at a dilution of 1:100. Cy3-Conjugated Anti-rabbit IgG Secondary Antibody (Red) (Catalog # BA1032) and Fluoro488-conjugated Anti-mouse IgG Secondary Antibody (Green) (Catalog # BA1126) were used as secondary antibody.

Flow Cytometry analysis of MCF-7 cells using anti-FOXO3A/FOXO3 antibody (PB9196).
Overlay histogram showing MCF-7 cells stained with PB9196 (Blue line). To facilitate intracellular staining, cells were fixed with 4% paraformaldehyde and permeabilized with permeabilization buffer. The cells were blocked with 10% normal goat serum. And then incubated with rabbit anti-FOXO3A/FOXO3 Antibody (PB9196, 1:100). Fluoro488 conjugated goat anti-rabbit IgG (BA1127, 1:100) was used as secondary antibody. Isotype control antibody (Green line) was rabbit IgG (Catalog # BA1045) (1:100) used under the same conditions. Unlabelled sample (Red line) was also used as a control.

Western blot analysis of FOXO3A/FOXO3 using anti-FOXO3A/FOXO3 antibody (PB9196). The sample well of each lane was loaded with 30 ug of sample under reducing conditions.
Lane 1: human 293T whole cell lysates,
Lane 2: human MCF-7 whole cell lysates,
Lane 3: human Jurkat whole cell lysates,
Lane 4: human Hela whole cell lysates,
Lane 5: rat lung tissue lysates,
Lane 6: rat ovary tissue lysates.
After electrophoresis, proteins were transferred to a membrane. Then the membrane was incubated with rabbit anti-FOXO3A/FOXO3 antigen affinity purified polyclonal antibody (PB9196) at a dilution of 1:1000 and probed with a goat anti-rabbit IgG-HRP secondary antibody (Catalog # BA1054). The signal is developed using ECL Plus Western Blotting Substrate (Catalog # AR1197). A specific band was detected for FOXO3A/FOXO3 at approximately 80-90 kDa. The expected band size for FOXO3A/FOXO3 is at 71 kDa.

IHC analysis of FOXO3A/FOXO3 using anti-FOXO3A/FOXO3 antibody (PB9196) .
FOXO3A/FOXO3 was detected in a paraffin-embedded section of human pancreatic ductal adenocarcinoma tissue. The tissue section was incubated with rabbit anti-FOXO3A/FOXO3 Antibody (PB9196) at a dilution of 1:200 and developed using HRP Conjugated Rabbit IgG Super Vision Assay Kit (Catalog # SV0002) with DAB (Catalog # AR1027) as the chromogen.

IHC analysis of FOXO3A/FOXO3 using anti-FOXO3A/FOXO3 antibody (PB9196) .
FOXO3A/FOXO3 was detected in a paraffin-embedded section of human pancreatic ductal adenocarcinoma tissue. The tissue section was incubated with rabbit anti-FOXO3A/FOXO3 Antibody (PB9196) at a dilution of 1:200 and developed using HRP Conjugated Rabbit IgG Super Vision Assay Kit (Catalog # SV0002) with DAB (Catalog # AR1027) as the chromogen.

IHC analysis of FOXO3A/FOXO3 using anti-FOXO3A/FOXO3 antibody (PB9196) .
FOXO3A/FOXO3 was detected in a paraffin-embedded section of human colorectal adenocarcinoma tissue. The tissue section was incubated with rabbit anti-FOXO3A/FOXO3 Antibody (PB9196) at a dilution of 1:200 and developed using HRP Conjugated Rabbit IgG Super Vision Assay Kit (Catalog # SV0002) with DAB (Catalog # AR1027) as the chromogen.

ICC/IF analysis of FOXO3A/FOXO3 using anti-FOXO3A/FOXO3 antibody (PB9196) and anti-Beta Tubulin antibody (M01857-3).
FOXO3A/FOXO3 was detected in an immunocytochemical section of U2OS cells. The section was incubated with rabbit anti-FOXO3A/FOXO3 Antibody (PB9196) at a dilution of 1:100. Cy3-Conjugated Anti-rabbit IgG Secondary Antibody (Red) (Catalog # BA1032) and Fluoro488-conjugated Anti-mouse IgG Secondary Antibody (Green) (Catalog # BA1126) were used as secondary antibody.

Flow Cytometry analysis of MCF-7 cells using anti-FOXO3A/FOXO3 antibody (PB9196).
Overlay histogram showing MCF-7 cells stained with PB9196 (Blue line). To facilitate intracellular staining, cells were fixed with 4% paraformaldehyde and permeabilized with permeabilization buffer. The cells were blocked with 10% normal goat serum. And then incubated with rabbit anti-FOXO3A/FOXO3 Antibody (PB9196, 1:100). Fluoro488 conjugated goat anti-rabbit IgG (BA1127, 1:100) was used as secondary antibody. Isotype control antibody (Green line) was rabbit IgG (Catalog # BA1045) (1:100) used under the same conditions. Unlabelled sample (Red line) was also used as a control.





