| Western blot (WB): | 1:500-2000 |
| Immunohistochemistry (IHC): | 1:50-400 |
| Immunohistochemistry in frozen section (IHC-F): | 1:50-400 |
| Immunocytochemistry/Immunofluorescence(ICC/IF): | 1:50-400 |
| Flow cytometry (FCM): | 1-3 μg/1x106 cells |
| (Boiling the paraffin sections in 10mM citrate buffer,pH6.0,or PH8.0 EDTA repair liquid for 20 mins is required for the staining of formalin/paraffin sections.) Optimal working dilutions must be determined by end user. | |

Western blot analysis of anti- PLEC antibody (PB9430). The sample well of each lane was loaded with 30ug of sample under reducing conditions.
Lane 1: human Hela whole cell lysates.
Use rabbit anti- PLEC 1:1000, probed with a goat anti-rabbit IgG-HRP secondary antibody. The signal is developed using an Enhanced Chemiluminescent detection (ECL) kit (Catalog#EK1002). A specific band was detected for PLEC at approximately 532KD. The expected band size for PLEC is at 532KD.

IHC analysis of Plectin/PLEC using anti-Plectin/PLEC antibody (PB9430).
Plectin/PLEC was detected in a paraffin-embedded section of human intestine cancer tissue. The tissue section was incubated with rabbit anti-Plectin/PLEC Antibody (PB9430) at a dilution of 1:200 and developed using HRP Conjugated Rabbit IgG Super Vision Assay Kit (Catalog # SV0002) with DAB (Catalog # AR1027) as the chromogen.

IHC analysis of Plectin/PLEC using anti-Plectin/PLEC antibody (PB9430).
Plectin/PLEC was detected in a paraffin-embedded section of human lung cancer tissue. The tissue section was incubated with rabbit anti-Plectin/PLEC Antibody (PB9430) at a dilution of 1:200 and developed using HRP Conjugated Rabbit IgG Super Vision Assay Kit (Catalog # SV0002) with DAB (Catalog # AR1027) as the chromogen.

IHC analysis of Plectin/PLEC using anti-Plectin/PLEC antibody (PB9430).
Plectin/PLEC was detected in a paraffin-embedded section of mouse intestine tissue. The tissue section was incubated with rabbit anti-Plectin/PLEC Antibody (PB9430) at a dilution of 1:200 and developed using HRP Conjugated Rabbit IgG Super Vision Assay Kit (Catalog # SV0002) with DAB (Catalog # AR1027) as the chromogen.

IHC analysis of Plectin/PLEC using anti-Plectin/PLEC antibody (PB9430).
Plectin/PLEC was detected in a paraffin-embedded section of rat intestine tissue. The tissue section was incubated with rabbit anti-Plectin/PLEC Antibody (PB9430) at a dilution of 1:200 and developed using HRP Conjugated Rabbit IgG Super Vision Assay Kit (Catalog # SV0002) with DAB (Catalog # AR1027) as the chromogen.

ICC/IF analysis of Plectin/PLEC using anti-Plectin/PLEC antibody (PB9430).
Plectin/PLEC was detected in an immunocytochemical section of U2OS cells. The section was incubated with rabbit anti-Plectin/PLEC Antibody (PB9430) at a dilution of 1:100. Fluoro488 Conjugated Goat Anti-Rabbit IgG (Green) (Catalog # BA1127) was used as secondary antibody. The section was counterstained with DAPI (Catalog # AR1176) (Blue).

Western blot analysis of anti- PLEC antibody (PB9430). The sample well of each lane was loaded with 30ug of sample under reducing conditions.
Lane 1: human Hela whole cell lysates.
Use rabbit anti- PLEC 1:1000, probed with a goat anti-rabbit IgG-HRP secondary antibody. The signal is developed using an Enhanced Chemiluminescent detection (ECL) kit (Catalog#EK1002). A specific band was detected for PLEC at approximately 532KD. The expected band size for PLEC is at 532KD.

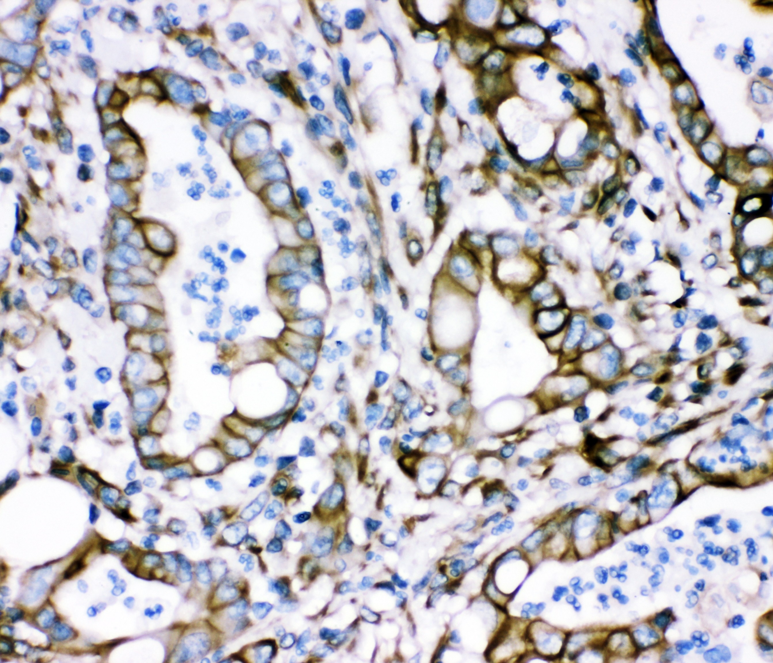
IHC analysis of Plectin/PLEC using anti-Plectin/PLEC antibody (PB9430).
Plectin/PLEC was detected in a paraffin-embedded section of human intestine cancer tissue. The tissue section was incubated with rabbit anti-Plectin/PLEC Antibody (PB9430) at a dilution of 1:200 and developed using HRP Conjugated Rabbit IgG Super Vision Assay Kit (Catalog # SV0002) with DAB (Catalog # AR1027) as the chromogen.

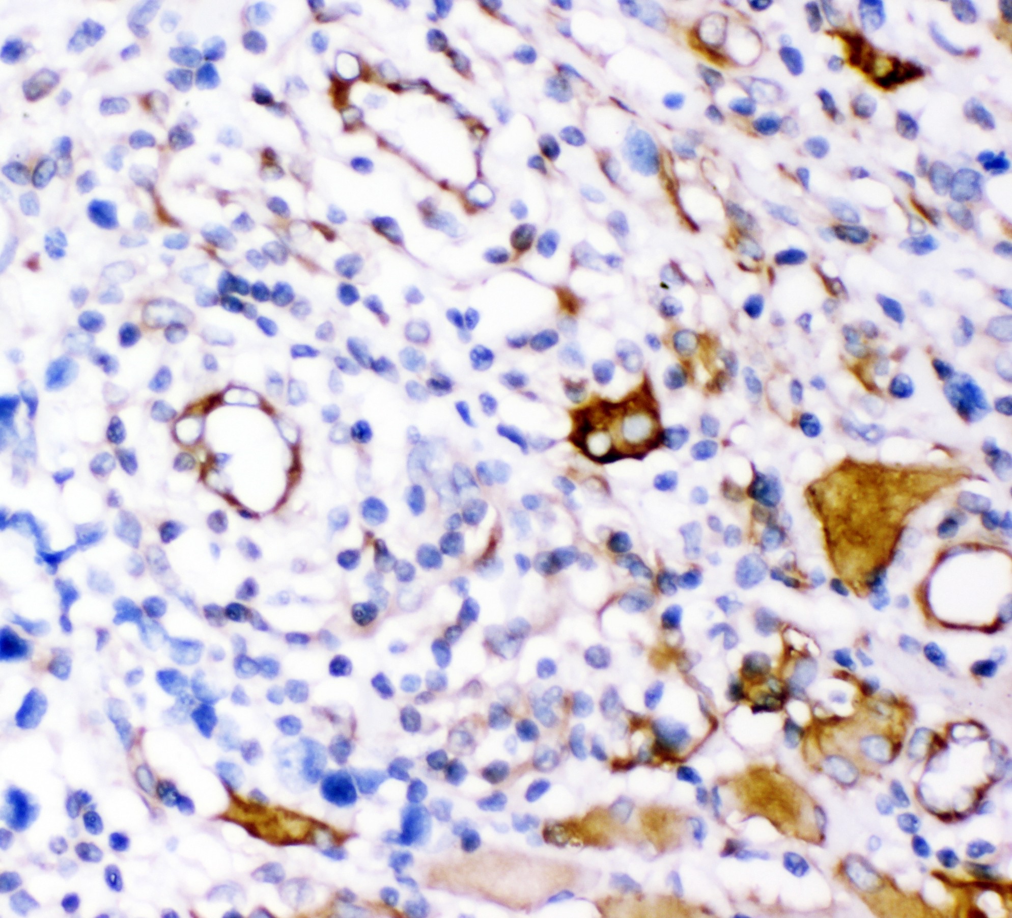
IHC analysis of Plectin/PLEC using anti-Plectin/PLEC antibody (PB9430).
Plectin/PLEC was detected in a paraffin-embedded section of human lung cancer tissue. The tissue section was incubated with rabbit anti-Plectin/PLEC Antibody (PB9430) at a dilution of 1:200 and developed using HRP Conjugated Rabbit IgG Super Vision Assay Kit (Catalog # SV0002) with DAB (Catalog # AR1027) as the chromogen.

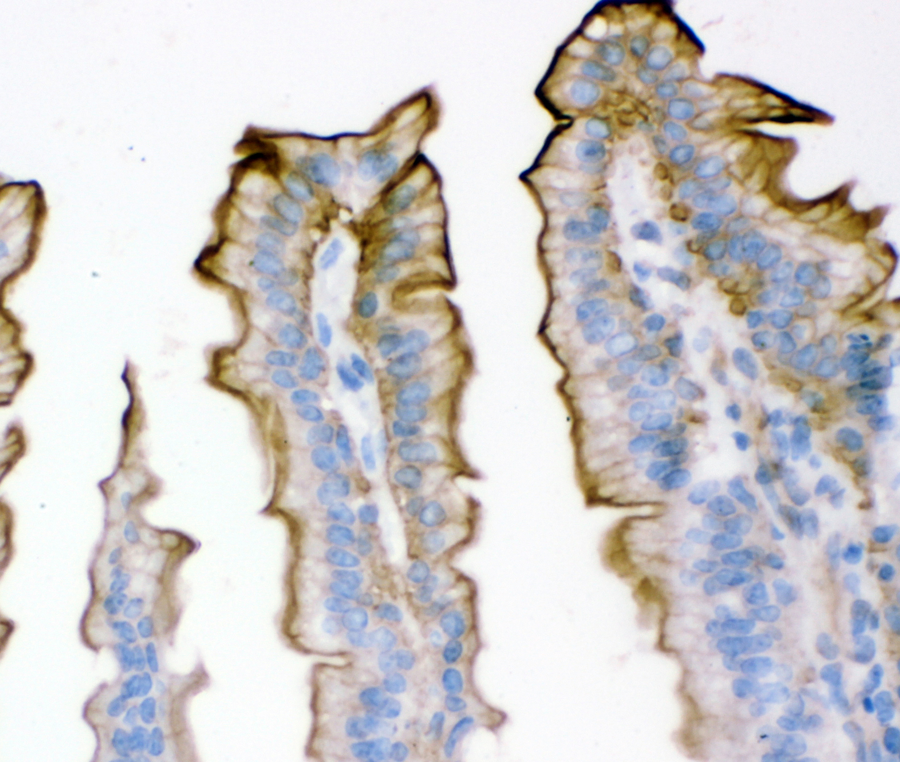
IHC analysis of Plectin/PLEC using anti-Plectin/PLEC antibody (PB9430).
Plectin/PLEC was detected in a paraffin-embedded section of mouse intestine tissue. The tissue section was incubated with rabbit anti-Plectin/PLEC Antibody (PB9430) at a dilution of 1:200 and developed using HRP Conjugated Rabbit IgG Super Vision Assay Kit (Catalog # SV0002) with DAB (Catalog # AR1027) as the chromogen.

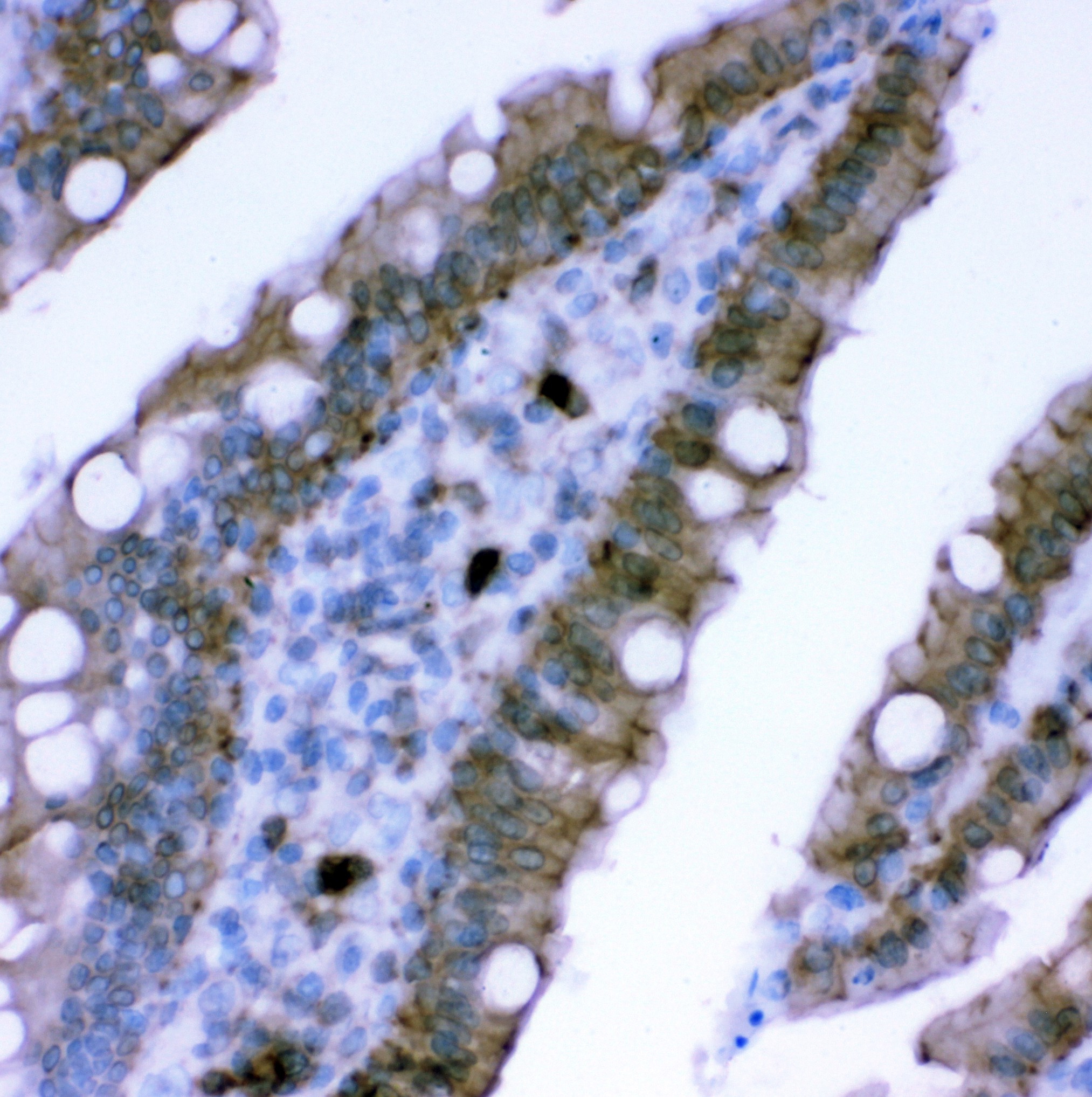
IHC analysis of Plectin/PLEC using anti-Plectin/PLEC antibody (PB9430).
Plectin/PLEC was detected in a paraffin-embedded section of rat intestine tissue. The tissue section was incubated with rabbit anti-Plectin/PLEC Antibody (PB9430) at a dilution of 1:200 and developed using HRP Conjugated Rabbit IgG Super Vision Assay Kit (Catalog # SV0002) with DAB (Catalog # AR1027) as the chromogen.

ICC/IF analysis of Plectin/PLEC using anti-Plectin/PLEC antibody (PB9430).
Plectin/PLEC was detected in an immunocytochemical section of U2OS cells. The section was incubated with rabbit anti-Plectin/PLEC Antibody (PB9430) at a dilution of 1:100. Fluoro488 Conjugated Goat Anti-Rabbit IgG (Green) (Catalog # BA1127) was used as secondary antibody. The section was counterstained with DAPI (Catalog # AR1176) (Blue).





