Western blot (WB): | 1:500-2000 |
Immunohistochemistry (IHC): | 1:50-400 |
Immunocytochemistry/Immunofluorescence (ICC/IF): | 1:50-400 |
Flow Cytometry (Fixed): | 1:50-200 |
(Boiling the paraffin sections in 10mM citrate buffer,pH6.0,or PH8.0 EDTA repair liquid for 20 mins is required for the staining of formalin/paraffin sections.) Optimal working dilutions must be determined by end user. |
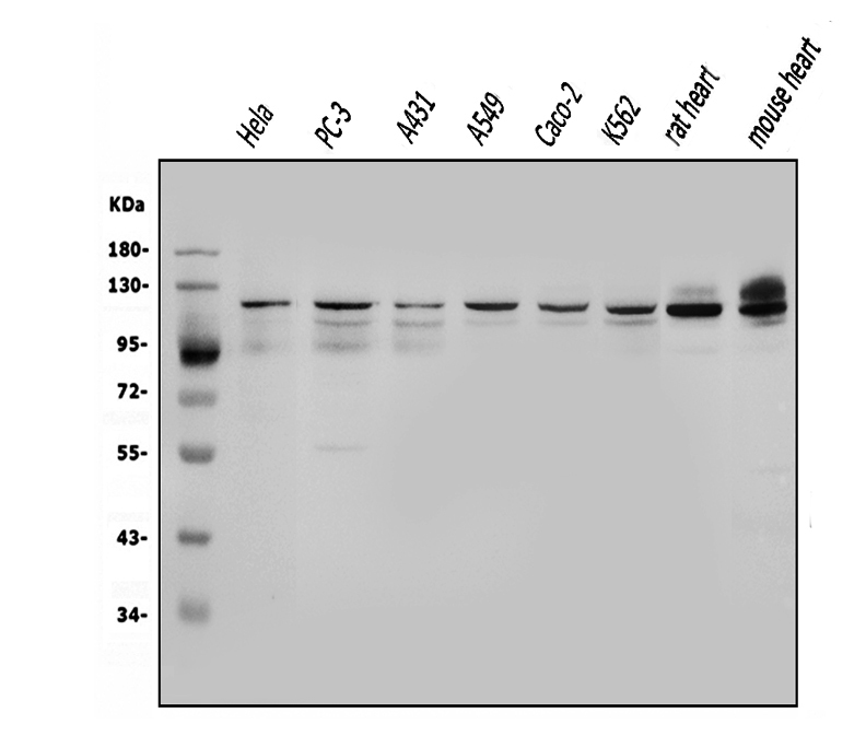
Western blot analysis of OGT using anti-OGT antibody (PB9767). The sample well of each lane was loaded with 30 ug of sample under reducing conditions.
Lane 1: human HELA whole cell lysates,
Lane 2: human PC-3 whole cell lysates,
Lane 3: human A431 whole cell lysates,
Lane 4: human A549 whole cell lysates,
Lane 5: human CACO-2 whole cell lysates,
Lane 6: human K562 whole cell lysates,
Lane 7: Rat heart tissue lysates,
Lane 8: Mouse heart tissue lysates.
After electrophoresis, proteins were transferred to a membrane. Then the membrane was incubated with rabbit anti-OGT antigen affinity purified polyclonal antibody (PB9767) at a dilution of 1:1000 and probed with a goat anti-rabbit IgG-HRP secondary antibody (Catalog # BA1054). The signal is developed using ECL Plus Western Blotting Substrate (Catalog # AR1197). A specific band was detected for OGT at approximately 110 kDa. The expected band size for OGT is at 117 kDa.
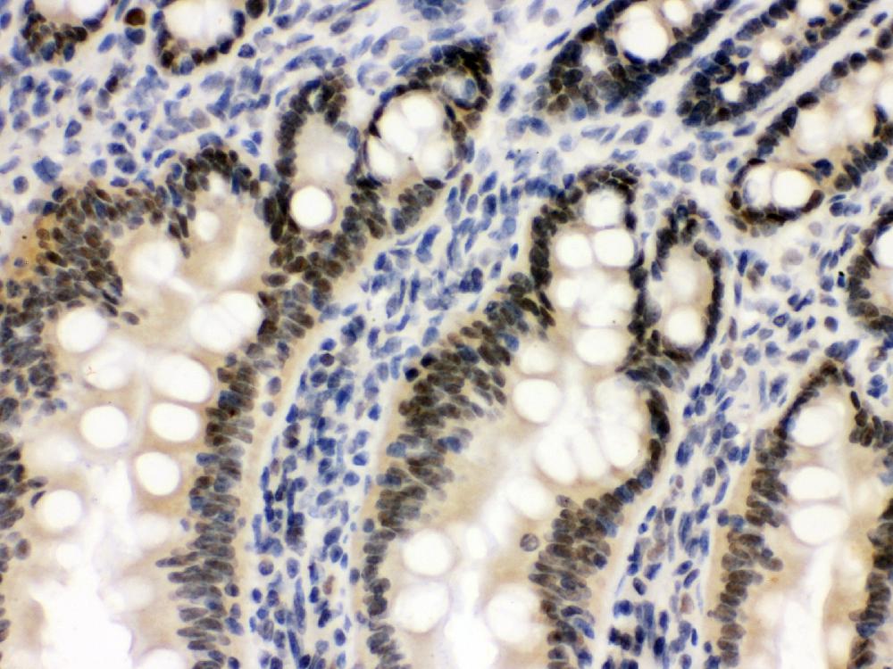
IHC analysis of OGT using anti-OGT antibody (PB9767).
OGT was detected in a paraffin-embedded section of mouse intestine tissue. Biotinylated goat anti-rabbit IgG was used as secondary antibody. The tissue section was incubated with rabbit anti-OGT Antibody (PB9767) at a dilution of 1:200 and developed using Strepavidin-Biotin-Complex (SABC) (Catalog # SA1022) with DAB (Catalog # AR1027) as the chromogen.
IHC analysis of OGT using anti-OGT antibody (PB9767).
OGT was detected in a paraffin-embedded section of rat intestine tissue. Biotinylated goat anti-rabbit IgG was used as secondary antibody. The tissue section was incubated with rabbit anti-OGT Antibody (PB9767) at a dilution of 1:200 and developed using Strepavidin-Biotin-Complex (SABC) (Catalog # SA1022) with DAB (Catalog # AR1027) as the chromogen.
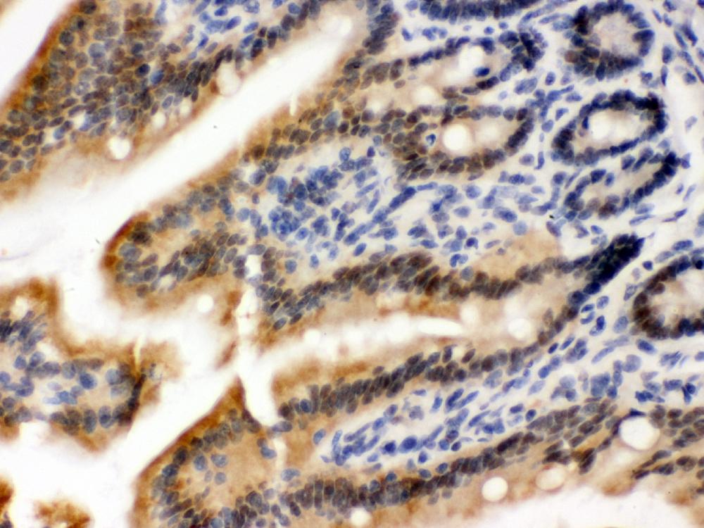
IHC analysis of OGT using anti-OGT antibody (PB9767).
OGT was detected in a paraffin-embedded section of human gastric cancer tissue. Biotinylated goat anti-rabbit IgG was used as secondary antibody. The tissue section was incubated with rabbit anti-OGT Antibody (PB9767) at a dilution of 1:200 and developed using Strepavidin-Biotin-Complex (SABC) (Catalog # SA1022) with DAB (Catalog # AR1027) as the chromogen.
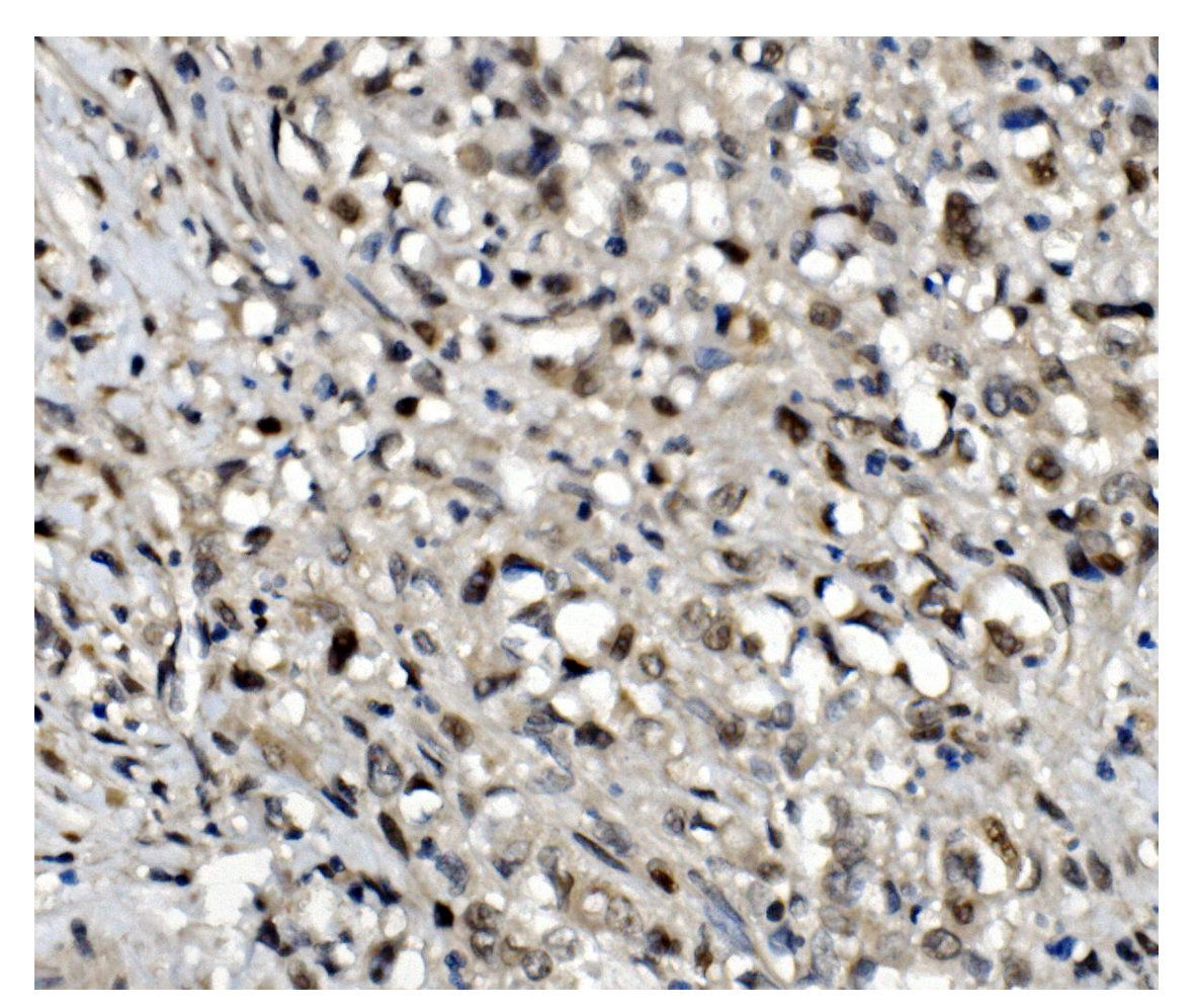
IHC analysis of OGT using anti-OGT antibody (PB9767).
OGT was detected in a paraffin-embedded section of human pancreatic cancer tissue. Biotinylated goat anti-rabbit IgG was used as secondary antibody. The tissue section was incubated with rabbit anti-OGT Antibody (PB9767) at a dilution of 1:200 and developed using Strepavidin-Biotin-Complex (SABC) (Catalog # SA1022) with DAB (Catalog # AR1027) as the chromogen.
IHC analysis of OGT using anti-OGT antibody (PB9767).
OGT was detected in a paraffin-embedded section of rat pancreas tissue. Biotinylated goat anti-rabbit IgG was used as secondary antibody. The tissue section was incubated with rabbit anti-OGT Antibody (PB9767) at a dilution of 1:200 and developed using Strepavidin-Biotin-Complex (SABC) (Catalog # SA1022) with DAB (Catalog # AR1027) as the chromogen.
IF analysis of OGT using anti-OGT antibody (PB9767).
OGT was detected in an immunocytochemical section of A431 cells. The section was incubated with rabbit anti-OGT Antibody (PB9767) at a dilution of 1:100. DyLight®488 Conjugated Goat Anti-Rabbit IgG (Green) (Catalog # BA1127) was used as secondary antibody. The section was counterstained with DAPI (Catalog # AR1176) (Blue).
Flow Cytometry analysis of U937 cells using anti-OGT antibody (PB9767).
Overlay histogram showing U937 cells stained with PB9767 (Blue line). To facilitate intracellular staining, cells were fixed with 4% paraformaldehyde and permeabilized with permeabilization buffer. The cells were blocked with 10% normal goat serum. And then incubated with rabbit anti-OGT Antibody (PB9767) at 1:100 dilution for 30 min at 20°C. DyLight®488 conjugated goat anti-rabbit IgG (BA1127) was used as secondary antibody at 1:100 dilution for 30 minutes at 20°C. Isotype control antibody (Green line) was rabbit IgG at 1:100 dilution used under the same conditions. Unlabelled sample without incubation with primary antibody and secondary antibody (Red line) was used as a blank control.
Flow Cytometry analysis of Raw264.7 cells using anti-OGT antibody (PB9767).
Overlay histogram showing Raw264.7 cells stained with PB9767 (Blue line). To facilitate intracellular staining, cells were fixed with 4% paraformaldehyde and permeabilized with permeabilization buffer. The cells were blocked with 10% normal goat serum. And then incubated with rabbit anti-OGT Antibody (PB9767) at 1:100 dilution for 30 min at 20°C. DyLight®488 conjugated goat anti-rabbit IgG (BA1127) was used as secondary antibody at 1:100 dilution for 30 minutes at 20°C. Isotype control antibody (Green line) was rabbit IgG at 1:100 dilution used under the same conditions. Unlabelled sample without incubation with primary antibody and secondary antibody (Red line) was used as a blank control.
Western blot analysis of OGT using anti-OGT antibody (PB9767). The sample well of each lane was loaded with 30 ug of sample under reducing conditions.
Lane 1: human HELA whole cell lysates,
Lane 2: human PC-3 whole cell lysates,
Lane 3: human A431 whole cell lysates,
Lane 4: human A549 whole cell lysates,
Lane 5: human CACO-2 whole cell lysates,
Lane 6: human K562 whole cell lysates,
Lane 7: Rat heart tissue lysates,
Lane 8: Mouse heart tissue lysates.
After electrophoresis, proteins were transferred to a membrane. Then the membrane was incubated with rabbit anti-OGT antigen affinity purified polyclonal antibody (PB9767) at a dilution of 1:1000 and probed with a goat anti-rabbit IgG-HRP secondary antibody (Catalog # BA1054). The signal is developed using ECL Plus Western Blotting Substrate (Catalog # AR1197). A specific band was detected for OGT at approximately 110 kDa. The expected band size for OGT is at 117 kDa.
IHC analysis of OGT using anti-OGT antibody (PB9767).
OGT was detected in a paraffin-embedded section of mouse intestine tissue. Biotinylated goat anti-rabbit IgG was used as secondary antibody. The tissue section was incubated with rabbit anti-OGT Antibody (PB9767) at a dilution of 1:200 and developed using Strepavidin-Biotin-Complex (SABC) (Catalog # SA1022) with DAB (Catalog # AR1027) as the chromogen.
IHC analysis of OGT using anti-OGT antibody (PB9767).
OGT was detected in a paraffin-embedded section of rat intestine tissue. Biotinylated goat anti-rabbit IgG was used as secondary antibody. The tissue section was incubated with rabbit anti-OGT Antibody (PB9767) at a dilution of 1:200 and developed using Strepavidin-Biotin-Complex (SABC) (Catalog # SA1022) with DAB (Catalog # AR1027) as the chromogen.
IHC analysis of OGT using anti-OGT antibody (PB9767).
OGT was detected in a paraffin-embedded section of human gastric cancer tissue. Biotinylated goat anti-rabbit IgG was used as secondary antibody. The tissue section was incubated with rabbit anti-OGT Antibody (PB9767) at a dilution of 1:200 and developed using Strepavidin-Biotin-Complex (SABC) (Catalog # SA1022) with DAB (Catalog # AR1027) as the chromogen.
IHC analysis of OGT using anti-OGT antibody (PB9767).
OGT was detected in a paraffin-embedded section of human pancreatic cancer tissue. Biotinylated goat anti-rabbit IgG was used as secondary antibody. The tissue section was incubated with rabbit anti-OGT Antibody (PB9767) at a dilution of 1:200 and developed using Strepavidin-Biotin-Complex (SABC) (Catalog # SA1022) with DAB (Catalog # AR1027) as the chromogen.
IHC analysis of OGT using anti-OGT antibody (PB9767).
OGT was detected in a paraffin-embedded section of rat pancreas tissue. Biotinylated goat anti-rabbit IgG was used as secondary antibody. The tissue section was incubated with rabbit anti-OGT Antibody (PB9767) at a dilution of 1:200 and developed using Strepavidin-Biotin-Complex (SABC) (Catalog # SA1022) with DAB (Catalog # AR1027) as the chromogen.
IF analysis of OGT using anti-OGT antibody (PB9767).
OGT was detected in an immunocytochemical section of A431 cells. The section was incubated with rabbit anti-OGT Antibody (PB9767) at a dilution of 1:100. DyLight®488 Conjugated Goat Anti-Rabbit IgG (Green) (Catalog # BA1127) was used as secondary antibody. The section was counterstained with DAPI (Catalog # AR1176) (Blue).
Flow Cytometry analysis of U937 cells using anti-OGT antibody (PB9767).
Overlay histogram showing U937 cells stained with PB9767 (Blue line). To facilitate intracellular staining, cells were fixed with 4% paraformaldehyde and permeabilized with permeabilization buffer. The cells were blocked with 10% normal goat serum. And then incubated with rabbit anti-OGT Antibody (PB9767) at 1:100 dilution for 30 min at 20°C. DyLight®488 conjugated goat anti-rabbit IgG (BA1127) was used as secondary antibody at 1:100 dilution for 30 minutes at 20°C. Isotype control antibody (Green line) was rabbit IgG at 1:100 dilution used under the same conditions. Unlabelled sample without incubation with primary antibody and secondary antibody (Red line) was used as a blank control.
Flow Cytometry analysis of Raw264.7 cells using anti-OGT antibody (PB9767).
Overlay histogram showing Raw264.7 cells stained with PB9767 (Blue line). To facilitate intracellular staining, cells were fixed with 4% paraformaldehyde and permeabilized with permeabilization buffer. The cells were blocked with 10% normal goat serum. And then incubated with rabbit anti-OGT Antibody (PB9767) at 1:100 dilution for 30 min at 20°C. DyLight®488 conjugated goat anti-rabbit IgG (BA1127) was used as secondary antibody at 1:100 dilution for 30 minutes at 20°C. Isotype control antibody (Green line) was rabbit IgG at 1:100 dilution used under the same conditions. Unlabelled sample without incubation with primary antibody and secondary antibody (Red line) was used as a blank control.