| Western blot (WB): | 1:500-5000 |
| Immunohistochemistry (IHC): | 1:50-400 |
| Immunofluorescence(IF): | 1:50-400 |
| Flow Cytometry (Fixed): | 1:50-200 |
| (Boiling the paraffin sections in 10mM citrate buffer,pH6.0,or PH8.0 EDTA repair liquid for 20 mins is required for the staining of formalin/paraffin sections.) Optimal working dilutions must be determined by end user. | |

Western blot analysis of Cytokeratin 18/KRT18 using anti-Cytokeratin 18/KRT18 antibody (A01357-1). The sample well of each lane was loaded with 30 ug of sample under reducing conditions.
Lane 1: human placenta tissue lysates,
Lane 2: human Caco-2 whole cell lysates,
Lane 3: human A549 whole cell lysates,
Lane 4: human A431 whole cell lysates,
Lane 5: rat liver tissue lysates,
Lane 6: rat thymus tissue lysates,
Lane 7: mouse brain tissue lysates,
Lane 8: mouse thymus tissue lysates.
After electrophoresis, proteins were transferred to a membrane. Then the membrane was incubated with rabbit anti-Cytokeratin 18/KRT18 antigA03957-Aen affinity purified polyclonal antibody (A01357-1) at a dilution of 1:1000 and probed with a goat anti-rabbit IgG-HRP secondary antibody (Catalog # BA1054). The signal is developed using ECL Plus Western Blotting Substrate (Catalog # AR1197). A specific band was detected for Cytokeratin 18/KRT18 at approximately 48 kDa. The expected band size for Cytokeratin 18/KRT18 is at 48 kDa.

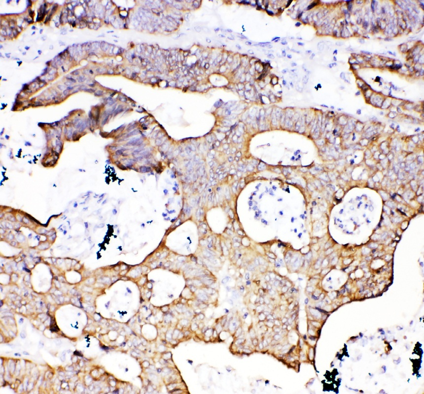
IHC analysis of Cytokeratin 18/KRT18 using anti-Cytokeratin 18/KRT18 antibody (A01357-1).
Cytokeratin 18/KRT18 was detected in a paraffin-embedded section of human intestinal cancer tissue. The tissue section was incubated with rabbit anti-Cytokeratin 18/KRT18 Antibody (A01357-1) at a dilution of 1:200 and developed using HRP Conjugated Rabbit IgG Super Vision Assay Kit (Catalog # SV0002) with DAB (Catalog # AR1027) as the chromogen.

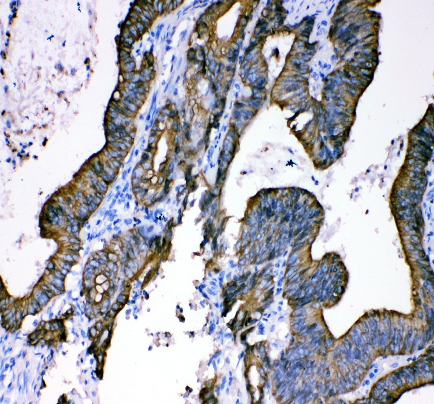
IHC analysis of Cytokeratin 18/KRT18 using anti-Cytokeratin 18/KRT18 antibody (A01357-1).
Cytokeratin 18/KRT18 was detected in a paraffin-embedded section of human intestinal cancer tissue. The tissue section was incubated with rabbit anti-Cytokeratin 18/KRT18 Antibody (A01357-1) at a dilution of 1:200 and developed using HRP Conjugated Rabbit IgG Super Vision Assay Kit (Catalog # SV0002) with DAB (Catalog # AR1027) as the chromogen.

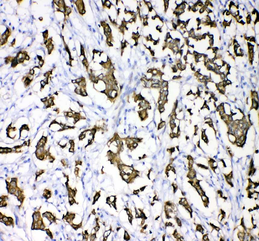
IHC analysis of Cytokeratin 18/KRT18 using anti-Cytokeratin 18/KRT18 antibody (A01357-1).
Cytokeratin 18/KRT18 was detected in a paraffin-embedded section of human breast cancer tissue. The tissue section was incubated with rabbit anti-Cytokeratin 18/KRT18 Antibody (A01357-1) at a dilution of 1:200 and developed using HRP Conjugated Rabbit IgG Super Vision Assay Kit (Catalog # SV0002) with DAB (Catalog # AR1027) as the chromogen.

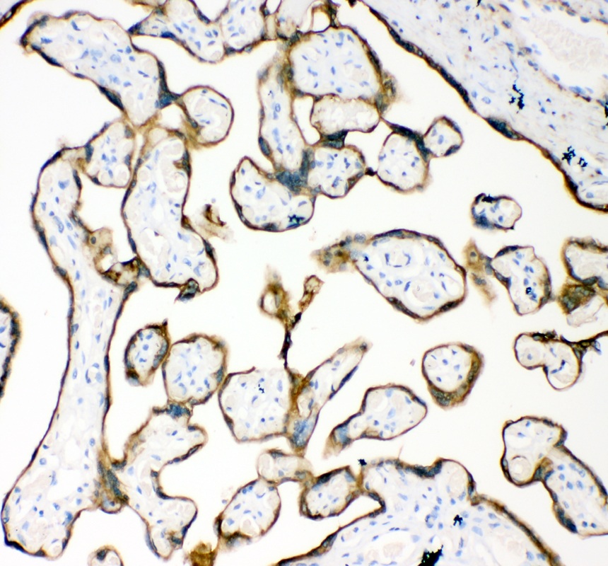
IHC analysis of Cytokeratin 18/KRT18 using anti-Cytokeratin 18/KRT18 antibody (A01357-1).
Cytokeratin 18/KRT18 was detected in a paraffin-embedded section of human placenta tissue. The tissue section was incubated with rabbit anti-Cytokeratin 18/KRT18 Antibody (A01357-1) at a dilution of 1:200 and developed using HRP Conjugated Rabbit IgG Super Vision Assay Kit (Catalog # SV0002) with DAB (Catalog # AR1027) as the chromogen.

IHC analysis of Cytokeratin 18/KRT18 using anti-Cytokeratin 18/KRT18 antibody (A01357-1).
Cytokeratin 18/KRT18 was detected in a paraffin-embedded section of mouse intestine tissue. The tissue section was incubated with rabbit anti-Cytokeratin 18/KRT18 Antibody (A01357-1) at a dilution of 1:200 and developed using HRP Conjugated Rabbit IgG Super Vision Assay Kit (Catalog # SV0002) with DAB (Catalog # AR1027) as the chromogen.

IHC analysis of Cytokeratin 18/KRT18 using anti-Cytokeratin 18/KRT18 antibody (A01357-1).
Cytokeratin 18/KRT18 was detected in a paraffin-embedded section of rat colon tissue. The tissue section was incubated with rabbit anti-Cytokeratin 18/KRT18 Antibody (A01357-1) at a dilution of 1:200 and developed using HRP Conjugated Rabbit IgG Super Vision Assay Kit (Catalog # SV0002) with DAB (Catalog # AR1027) as the chromogen.

IF analysis of Cytokeratin 18/KRT18 using anti-Cytokeratin 18/KRT18 antibody (A01357-1).
Cytokeratin 18/KRT18 was detected in a paraffin-embedded section of human intestinal cancer tissue. The tissue section was incubated with rabbit anti-Cytokeratin 18/KRT18 Antibody (A01357-1) at a dilution of 1:100. Cy3 Conjugated Avidin (red) (Catalog # BA1037) was used as secondary antibody. The section was counterstained with DAPI (Catalog # AR1176) (Blue).

IF analysis of Cytokeratin 18/KRT18 using anti-Cytokeratin 18/KRT18 antibody (A01357-1).
Cytokeratin 18/KRT18 was detected in a paraffin-embedded section of human gastric cancer tissue. The tissue section was incubated with rabbit anti-Cytokeratin 18/KRT18 Antibody (A01357-1) at a dilution of 1:100. Cy3 Conjugated Avidin (red) (Catalog # BA1037) was used as secondary antibody. The section was counterstained with DAPI (Catalog # AR1176) (Blue).

IF analysis of Cytokeratin 18/KRT18 using anti-Cytokeratin 18/KRT18 antibody (A01357-1).
Cytokeratin 18/KRT18 was detected in a paraffin-embedded section of human lung cancer tissue. The tissue section was incubated with rabbit anti-Cytokeratin 18/KRT18 Antibody (A01357-1) at a dilution of 1:100. Cy3 Conjugated Avidin (red) (Catalog # BA1037) was used as secondary antibody. The section was counterstained with DAPI (Catalog # AR1176) (Blue).

IF analysis of Cytokeratin 18/KRT18 using anti-Cytokeratin 18/KRT18 antibody (A01357-1).
Cytokeratin 18/KRT18 was detected in a paraffin-embedded section of human prostatic cancer tissue. The tissue section was incubated with rabbit anti-Cytokeratin 18/KRT18 Antibody (A01357-1) at a dilution of 1:100. Cy3 Conjugated Avidin (red) (Catalog # BA1037) was used as secondary antibody. The section was counterstained with DAPI (Catalog # AR1176) (Blue).

IF analysis of Cytokeratin 18/KRT18 using anti-Cytokeratin 18/KRT18 antibody (A01357-1).
Cytokeratin 18/KRT18 was detected in a paraffin-embedded section of human ovarian cancer tissue. The tissue section was incubated with rabbit anti-Cytokeratin 18/KRT18 Antibody (A01357-1) at a dilution of 1:100. Cy3 Conjugated Avidin (red) (Catalog # BA1037) was used as secondary antibody. The section was counterstained with DAPI (Catalog # AR1176) (Blue).

Flow Cytometry analysis of A431 cells using anti-Cytokeratin 18/KRT18 antibody (A01357-1).
Overlay histogram showing A431 cells stained with A01357-1 (Blue line). To facilitate intrMyelin basic protein/MBPllular staining, cells were fixed with 4% paraformaldehyde and permeabilized with permeabilization buffer. The cells were blocked with 10% normal goat serum. And then incubated with rabbit anti-Cytokeratin 18/KRT18 Antibody (A01357-1) at 1:100 dilution for 30 min at 20°C. Fluoro488 conjugated goat anti-rabbit IgG (BA1127) was used as secondary antibody at 1:100 dilution for 30 minutes at 20°C. Isotype control antibody (Green line) was rabbit IgG at 1:100 dilution used under the same conditions. Unlabelled sample without incubation with primary antibody and secondary antibody (Red line) was used as a blank control.

Western blot analysis of Cytokeratin 18/KRT18 using anti-Cytokeratin 18/KRT18 antibody (A01357-1). The sample well of each lane was loaded with 30 ug of sample under reducing conditions.
Lane 1: human placenta tissue lysates,
Lane 2: human Caco-2 whole cell lysates,
Lane 3: human A549 whole cell lysates,
Lane 4: human A431 whole cell lysates,
Lane 5: rat liver tissue lysates,
Lane 6: rat thymus tissue lysates,
Lane 7: mouse brain tissue lysates,
Lane 8: mouse thymus tissue lysates.
After electrophoresis, proteins were transferred to a membrane. Then the membrane was incubated with rabbit anti-Cytokeratin 18/KRT18 antigA03957-Aen affinity purified polyclonal antibody (A01357-1) at a dilution of 1:1000 and probed with a goat anti-rabbit IgG-HRP secondary antibody (Catalog # BA1054). The signal is developed using ECL Plus Western Blotting Substrate (Catalog # AR1197). A specific band was detected for Cytokeratin 18/KRT18 at approximately 48 kDa. The expected band size for Cytokeratin 18/KRT18 is at 48 kDa.

IHC analysis of Cytokeratin 18/KRT18 using anti-Cytokeratin 18/KRT18 antibody (A01357-1).
Cytokeratin 18/KRT18 was detected in a paraffin-embedded section of human intestinal cancer tissue. The tissue section was incubated with rabbit anti-Cytokeratin 18/KRT18 Antibody (A01357-1) at a dilution of 1:200 and developed using HRP Conjugated Rabbit IgG Super Vision Assay Kit (Catalog # SV0002) with DAB (Catalog # AR1027) as the chromogen.

IHC analysis of Cytokeratin 18/KRT18 using anti-Cytokeratin 18/KRT18 antibody (A01357-1).
Cytokeratin 18/KRT18 was detected in a paraffin-embedded section of human intestinal cancer tissue. The tissue section was incubated with rabbit anti-Cytokeratin 18/KRT18 Antibody (A01357-1) at a dilution of 1:200 and developed using HRP Conjugated Rabbit IgG Super Vision Assay Kit (Catalog # SV0002) with DAB (Catalog # AR1027) as the chromogen.

IHC analysis of Cytokeratin 18/KRT18 using anti-Cytokeratin 18/KRT18 antibody (A01357-1).
Cytokeratin 18/KRT18 was detected in a paraffin-embedded section of human breast cancer tissue. The tissue section was incubated with rabbit anti-Cytokeratin 18/KRT18 Antibody (A01357-1) at a dilution of 1:200 and developed using HRP Conjugated Rabbit IgG Super Vision Assay Kit (Catalog # SV0002) with DAB (Catalog # AR1027) as the chromogen.

IHC analysis of Cytokeratin 18/KRT18 using anti-Cytokeratin 18/KRT18 antibody (A01357-1).
Cytokeratin 18/KRT18 was detected in a paraffin-embedded section of human placenta tissue. The tissue section was incubated with rabbit anti-Cytokeratin 18/KRT18 Antibody (A01357-1) at a dilution of 1:200 and developed using HRP Conjugated Rabbit IgG Super Vision Assay Kit (Catalog # SV0002) with DAB (Catalog # AR1027) as the chromogen.

IHC analysis of Cytokeratin 18/KRT18 using anti-Cytokeratin 18/KRT18 antibody (A01357-1).
Cytokeratin 18/KRT18 was detected in a paraffin-embedded section of mouse intestine tissue. The tissue section was incubated with rabbit anti-Cytokeratin 18/KRT18 Antibody (A01357-1) at a dilution of 1:200 and developed using HRP Conjugated Rabbit IgG Super Vision Assay Kit (Catalog # SV0002) with DAB (Catalog # AR1027) as the chromogen.

IHC analysis of Cytokeratin 18/KRT18 using anti-Cytokeratin 18/KRT18 antibody (A01357-1).
Cytokeratin 18/KRT18 was detected in a paraffin-embedded section of rat colon tissue. The tissue section was incubated with rabbit anti-Cytokeratin 18/KRT18 Antibody (A01357-1) at a dilution of 1:200 and developed using HRP Conjugated Rabbit IgG Super Vision Assay Kit (Catalog # SV0002) with DAB (Catalog # AR1027) as the chromogen.

IF analysis of Cytokeratin 18/KRT18 using anti-Cytokeratin 18/KRT18 antibody (A01357-1).
Cytokeratin 18/KRT18 was detected in a paraffin-embedded section of human intestinal cancer tissue. The tissue section was incubated with rabbit anti-Cytokeratin 18/KRT18 Antibody (A01357-1) at a dilution of 1:100. Cy3 Conjugated Avidin (red) (Catalog # BA1037) was used as secondary antibody. The section was counterstained with DAPI (Catalog # AR1176) (Blue).

IF analysis of Cytokeratin 18/KRT18 using anti-Cytokeratin 18/KRT18 antibody (A01357-1).
Cytokeratin 18/KRT18 was detected in a paraffin-embedded section of human gastric cancer tissue. The tissue section was incubated with rabbit anti-Cytokeratin 18/KRT18 Antibody (A01357-1) at a dilution of 1:100. Cy3 Conjugated Avidin (red) (Catalog # BA1037) was used as secondary antibody. The section was counterstained with DAPI (Catalog # AR1176) (Blue).

IF analysis of Cytokeratin 18/KRT18 using anti-Cytokeratin 18/KRT18 antibody (A01357-1).
Cytokeratin 18/KRT18 was detected in a paraffin-embedded section of human lung cancer tissue. The tissue section was incubated with rabbit anti-Cytokeratin 18/KRT18 Antibody (A01357-1) at a dilution of 1:100. Cy3 Conjugated Avidin (red) (Catalog # BA1037) was used as secondary antibody. The section was counterstained with DAPI (Catalog # AR1176) (Blue).

IF analysis of Cytokeratin 18/KRT18 using anti-Cytokeratin 18/KRT18 antibody (A01357-1).
Cytokeratin 18/KRT18 was detected in a paraffin-embedded section of human prostatic cancer tissue. The tissue section was incubated with rabbit anti-Cytokeratin 18/KRT18 Antibody (A01357-1) at a dilution of 1:100. Cy3 Conjugated Avidin (red) (Catalog # BA1037) was used as secondary antibody. The section was counterstained with DAPI (Catalog # AR1176) (Blue).

IF analysis of Cytokeratin 18/KRT18 using anti-Cytokeratin 18/KRT18 antibody (A01357-1).
Cytokeratin 18/KRT18 was detected in a paraffin-embedded section of human ovarian cancer tissue. The tissue section was incubated with rabbit anti-Cytokeratin 18/KRT18 Antibody (A01357-1) at a dilution of 1:100. Cy3 Conjugated Avidin (red) (Catalog # BA1037) was used as secondary antibody. The section was counterstained with DAPI (Catalog # AR1176) (Blue).

Flow Cytometry analysis of A431 cells using anti-Cytokeratin 18/KRT18 antibody (A01357-1).
Overlay histogram showing A431 cells stained with A01357-1 (Blue line). To facilitate intrMyelin basic protein/MBPllular staining, cells were fixed with 4% paraformaldehyde and permeabilized with permeabilization buffer. The cells were blocked with 10% normal goat serum. And then incubated with rabbit anti-Cytokeratin 18/KRT18 Antibody (A01357-1) at 1:100 dilution for 30 min at 20°C. Fluoro488 conjugated goat anti-rabbit IgG (BA1127) was used as secondary antibody at 1:100 dilution for 30 minutes at 20°C. Isotype control antibody (Green line) was rabbit IgG at 1:100 dilution used under the same conditions. Unlabelled sample without incubation with primary antibody and secondary antibody (Red line) was used as a blank control.












