| Western blot (WB): | 1:500-2000 |
| Immunocytochemistry/Immunofluorescence (ICC/IF): | 1:50-400 |
| ImmunoPrecipitation (IP): | 1:250-300 |
| Flow Cytometry (Fixed): | 1:50-200 |
| Enzyme linked immunosorbent assay (ELISA): | 1:100-1000 |

Western blot analysis of PROX1 using anti-PROX1 antibody (A01985-1). The sample well of each lane was loaded with 30 ug of sample under reducing conditions.
Lane 1: human HepG2 whole cell lysates,
Lane 2: human HUH7 whole cell lysates,
Lane 3: human SH-SY5Y whole cell lysates,
Lane 4: rat RH-35 whole cell lysates.
After electrophoresis, proteins were transferred to a membrane. Then the membrane was incubated with rabbit anti-PROX1 antigen affinity purified polyclonal antibody (A01985-1) at a dilution of 1:1000 and probed with a goat anti-rabbit IgG-HRP secondary antibody (Catalog # BA1054). The signal is developed using ECL Plus Western Blotting Substrate (Catalog # AR1197). A specific band was detected for PROX1 at approximately 90 kDa. The expected band size for PROX1 is at 83 kDa.

ICC/IF analysis of PROX1 using anti-PROX1 antibody (A01985-1) and anti-Beta Tubulin antibody (M01857-3).
PROX1 was detected in an immunocytochemical section of SiHa cells. The section was incubated with rabbit anti-PROX1 Antibody (A01985-1) at a dilution of 1:100. Fluoro488-conjugated Anti-rabbit IgG Secondary Antibody (green) (Catalog # BA1127) and Fluoro594-conjugated Anti-mouse IgG Secondary Antibody (red) (Catalog # BA1141) were used as secondary antibody.

IP analysis of PROX1 using anti-PROX1 antibody (A01985-1) in SH-SY5Y whole cell lysate.
Western blot analysis of PROX1 using anti- PROX1 antibody (A01985-1).
Lane 1: SH-SY5Y whole cell lysates(30ug),
Lane 2: Rabbit control IgG instead of anti- PROX1 antibody in SH-SY5Y whole cell lysate,
Lane 3: anti- PROX1 antibody (2μg) + SH-SY5Y whole cell lysate (500μg).
After electrophoresis, proteins were transferred to a membrane. Then the membrane was incubated with rabbit anti- PROX1 antigen affinity purified polyclonal antibody (A01985-1) at a dilution of 1:1000 and probed with a goat anti-rabbit IgG-HRP secondary antibody (Catalog # BA1054). The signal is developed using ECL Plus Western Blotting Substrate (Catalog # AR1197). A specific band was detected for PROX1 at approximately 90 kDa. The expected band size for PROX1 is at 83 kDa.

Flow Cytometry analysis of SH-SY5Y cells using anti-PROX1 antibody (A01985-1).
Overlay histogram showing SH-SY5Y cells stained with A01985-1 (Blue line). To facilitate intracellular staining, cells were fixed with 4% paraformaldehyde and permeabilized with permeabilization buffer. The cells were blocked with 10% normal goat serum. And then incubated with rabbit anti-PROX1 Antibody (A01985-1) at 1:100 dilution for 30 min at 20°C. Fluoro488 conjugated goat anti-rabbit IgG (BA1127) was used as secondary antibody at 1:100 dilution for 30 minutes at 20°C. Isotype control antibody (Green line) was rabbit IgG at 1:100 dilution used under the same conditions. Unlabelled sample without incubation with primary antibody and secondary antibody (Red line) was used as a blank control.

Western blot analysis of PROX1 using anti-PROX1 antibody (A01985-1). The sample well of each lane was loaded with 30 ug of sample under reducing conditions.
Lane 1: human HepG2 whole cell lysates,
Lane 2: human HUH7 whole cell lysates,
Lane 3: human SH-SY5Y whole cell lysates,
Lane 4: rat RH-35 whole cell lysates.
After electrophoresis, proteins were transferred to a membrane. Then the membrane was incubated with rabbit anti-PROX1 antigen affinity purified polyclonal antibody (A01985-1) at a dilution of 1:1000 and probed with a goat anti-rabbit IgG-HRP secondary antibody (Catalog # BA1054). The signal is developed using ECL Plus Western Blotting Substrate (Catalog # AR1197). A specific band was detected for PROX1 at approximately 90 kDa. The expected band size for PROX1 is at 83 kDa.

ICC/IF analysis of PROX1 using anti-PROX1 antibody (A01985-1) and anti-Beta Tubulin antibody (M01857-3).
PROX1 was detected in an immunocytochemical section of SiHa cells. The section was incubated with rabbit anti-PROX1 Antibody (A01985-1) at a dilution of 1:100. Fluoro488-conjugated Anti-rabbit IgG Secondary Antibody (green) (Catalog # BA1127) and Fluoro594-conjugated Anti-mouse IgG Secondary Antibody (red) (Catalog # BA1141) were used as secondary antibody.

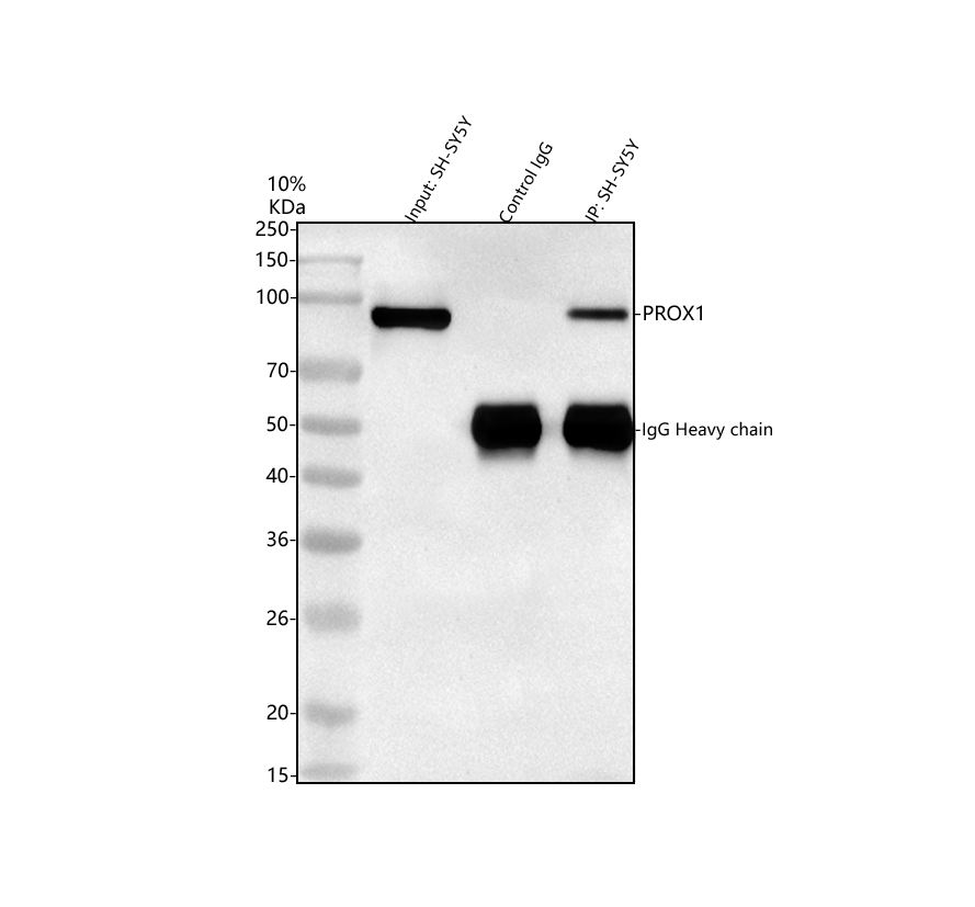
IP analysis of PROX1 using anti-PROX1 antibody (A01985-1) in SH-SY5Y whole cell lysate.
Western blot analysis of PROX1 using anti- PROX1 antibody (A01985-1).
Lane 1: SH-SY5Y whole cell lysates(30ug),
Lane 2: Rabbit control IgG instead of anti- PROX1 antibody in SH-SY5Y whole cell lysate,
Lane 3: anti- PROX1 antibody (2μg) + SH-SY5Y whole cell lysate (500μg).
After electrophoresis, proteins were transferred to a membrane. Then the membrane was incubated with rabbit anti- PROX1 antigen affinity purified polyclonal antibody (A01985-1) at a dilution of 1:1000 and probed with a goat anti-rabbit IgG-HRP secondary antibody (Catalog # BA1054). The signal is developed using ECL Plus Western Blotting Substrate (Catalog # AR1197). A specific band was detected for PROX1 at approximately 90 kDa. The expected band size for PROX1 is at 83 kDa.

Flow Cytometry analysis of SH-SY5Y cells using anti-PROX1 antibody (A01985-1).
Overlay histogram showing SH-SY5Y cells stained with A01985-1 (Blue line). To facilitate intracellular staining, cells were fixed with 4% paraformaldehyde and permeabilized with permeabilization buffer. The cells were blocked with 10% normal goat serum. And then incubated with rabbit anti-PROX1 Antibody (A01985-1) at 1:100 dilution for 30 min at 20°C. Fluoro488 conjugated goat anti-rabbit IgG (BA1127) was used as secondary antibody at 1:100 dilution for 30 minutes at 20°C. Isotype control antibody (Green line) was rabbit IgG at 1:100 dilution used under the same conditions. Unlabelled sample without incubation with primary antibody and secondary antibody (Red line) was used as a blank control.





