| Western blot (WB): | 1:500-2000 |
| Immunohistochemistry (IHC): | 1:50-200 |

Western blot analysis of anti-PROX1 antibody (BM4946). The sample well of each lane was loaded with 30 ug of sample under reducing conditions.
Lane 1: human HepG2 whole cell lysates,
Lane 2: human SH-SY5Y whole cell lysates.
After electrophoresis, proteins were transferred to a membrane. Then the membrane was incubated with rabbit anti-PROX1 antigen affinity purified monoclonal antibody (BM4946) at a dilution of 1:1000 and probed with a goat anti-rabbit IgG-HRP secondary antibody (Catalog # BA1054). The signal is developed using ECL Plus Western Blotting Substrate (Catalog # AR1197). A specific band was detected for PROX1 at approximately 90 kDa. The expected band size for PROX1 is at 83 kDa.

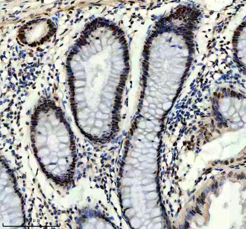
IHC analysis of PROX1 using anti-PROX1 antibody (BM4946) .
PROX1 was detected in a paraffin-embedded section of human colon tissue. The tissue section was incubated with rabbit anti-PROX1 Antibody (BM4946) at a dilution of 1:200 and developed using HRP Conjugated Rabbit IgG Super Vision Assay Kit (Catalog # SV0002) with DAB (Catalog # AR1027) as the chromogen.

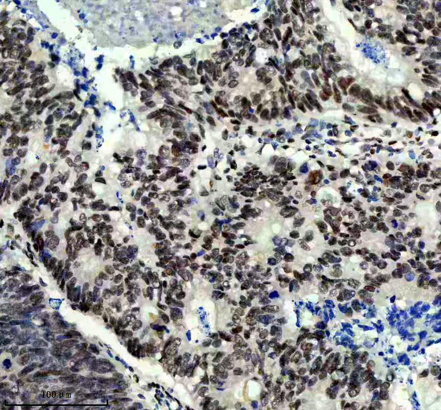
IHC analysis of PROX1 using anti-PROX1 antibody (BM4946) .
PROX1 was detected in a paraffin-embedded section of human colon cancer tissue. The tissue section was incubated with rabbit anti-PROX1 Antibody (BM4946) at a dilution of 1:200 and developed using HRP Conjugated Rabbit IgG Super Vision Assay Kit (Catalog # SV0002) with DAB (Catalog # AR1027) as the chromogen.

IHC analysis of PROX1 using anti-PROX1 antibody (BM4946) .
PROX1 was detected in a paraffin-embedded section of human colon cancer tissue. The tissue section was incubated with rabbit anti-PROX1 Antibody (BM4946) at a dilution of 1:200 and developed using HRP Conjugated Rabbit IgG Super Vision Assay Kit (Catalog # SV0002) with DAB (Catalog # AR1027) as the chromogen.

Western blot analysis of anti-PROX1 antibody (BM4946). The sample well of each lane was loaded with 30 ug of sample under reducing conditions.
Lane 1: human HepG2 whole cell lysates,
Lane 2: human SH-SY5Y whole cell lysates.
After electrophoresis, proteins were transferred to a membrane. Then the membrane was incubated with rabbit anti-PROX1 antigen affinity purified monoclonal antibody (BM4946) at a dilution of 1:1000 and probed with a goat anti-rabbit IgG-HRP secondary antibody (Catalog # BA1054). The signal is developed using ECL Plus Western Blotting Substrate (Catalog # AR1197). A specific band was detected for PROX1 at approximately 90 kDa. The expected band size for PROX1 is at 83 kDa.

IHC analysis of PROX1 using anti-PROX1 antibody (BM4946) .
PROX1 was detected in a paraffin-embedded section of human colon tissue. The tissue section was incubated with rabbit anti-PROX1 Antibody (BM4946) at a dilution of 1:200 and developed using HRP Conjugated Rabbit IgG Super Vision Assay Kit (Catalog # SV0002) with DAB (Catalog # AR1027) as the chromogen.

IHC analysis of PROX1 using anti-PROX1 antibody (BM4946) .
PROX1 was detected in a paraffin-embedded section of human colon cancer tissue. The tissue section was incubated with rabbit anti-PROX1 Antibody (BM4946) at a dilution of 1:200 and developed using HRP Conjugated Rabbit IgG Super Vision Assay Kit (Catalog # SV0002) with DAB (Catalog # AR1027) as the chromogen.

IHC analysis of PROX1 using anti-PROX1 antibody (BM4946) .
PROX1 was detected in a paraffin-embedded section of human colon cancer tissue. The tissue section was incubated with rabbit anti-PROX1 Antibody (BM4946) at a dilution of 1:200 and developed using HRP Conjugated Rabbit IgG Super Vision Assay Kit (Catalog # SV0002) with DAB (Catalog # AR1027) as the chromogen.



