| Western blot (WB): | 1:500-2000 |

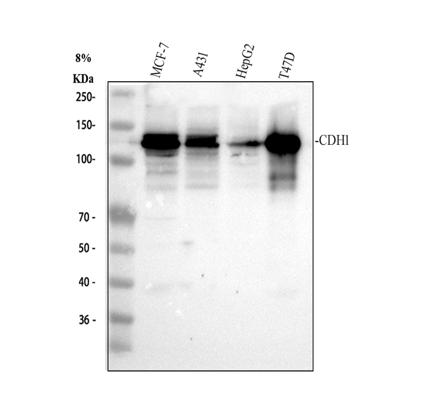
Western blot analysis of E-cadherin/CDH1 using anti-E-cadherin/CDH1 antibody (BA0475). The sample well of each lane was loaded with 30 ug of sample under reducing conditions.
Lane 1: MCF-7 whole cell lysates.
After electrophoresis, proteins were transferred to a membrane. Then the membrane was incubated with rabbit anti-E-cadherin/CDH1 antigen affinity purified polyclonal antibody (BA0475) at a dilution of 1:1000 and probed with a goat anti-rabbit IgG-HRP secondary antibody (Catalog # BA1054). The signal is developed using ECL Plus Western Blotting Substrate (Catalog # AR1197). A specific band was detected for E-cadherin/CDH1 at approximately 130 kDa. The expected band size for E-cadherin/CDH1 is at 97 kDa.

Western blot analysis of E-cadherin/CDH1 using anti-E-cadherin/CDH1 antibody (BA0475). The sample well of each lane was loaded with 30 ug of sample under reducing conditions.
Lane 1: MCF-7 whole cell lysates.
After electrophoresis, proteins were transferred to a membrane. Then the membrane was incubated with rabbit anti-E-cadherin/CDH1 antigen affinity purified polyclonal antibody (BA0475) at a dilution of 1:1000 and probed with a goat anti-rabbit IgG-HRP secondary antibody (Catalog # BA1054). The signal is developed using ECL Plus Western Blotting Substrate (Catalog # AR1197). A specific band was detected for E-cadherin/CDH1 at approximately 130 kDa. The expected band size for E-cadherin/CDH1 is at 97 kDa.
