| Western blot (WB): | 1:500-2000 |
| Immunohistochemistry (IHC): | 1:50-400 |
| Immunocytochemistry/Immunofluorescence (ICC/IF): | 1:50-400 |
| Enzyme linked immunosorbent assay (ELISA): | 1:100-1000 |
| (Boiling the paraffin sections in 10mM citrate buffer,pH6.0,or PH8.0 EDTA repair liquid for 20 mins is required for the staining of formalin/paraffin sections.) Optimal working dilutions must be determined by end user. | |

Western blot analysis of E-cadherin/CDH1 using anti-E-cadherin/CDH1 antibody (PB9561). The sample well of each lane was loaded with 30 ug of sample under reducing conditions.
Lane 1: human MCF-7 whole cell lysates,
Lane 2: human A431 whole cell lysates,
Lane 3: human HepG2 whole cell lysates,
Lane 4: human T-47D whole cell lysates.
After electrophoresis, proteins were transferred to a membrane. Then the membrane was incubated with rabbit anti-E-cadherin/CDH1 antigen affinity purified polyclonal antibody (PB9561) at a dilution of 1:1000 and probed with a goat anti-rabbit IgG-HRP secondary antibody (Catalog # BA1054). The signal is developed using ECL Plus Western Blotting Substrate (Catalog # AR1197). A specific band was detected for E-cadherin/CDH1 at approximately 130 kDa. The expected band size for E-cadherin/CDH1 is at 97 kDa.

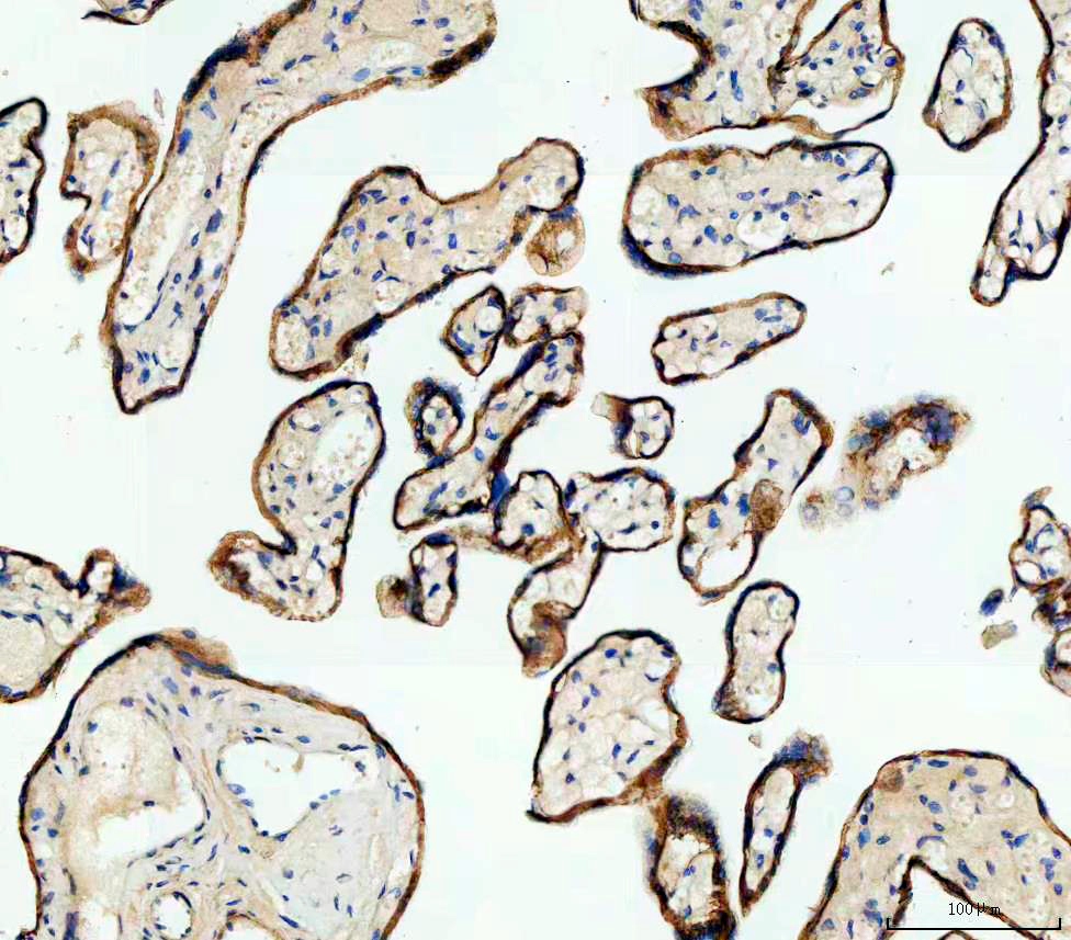
IHC analysis of E-cadherin/CDH1 using anti-E-cadherin/CDH1 antibody (PB9561).
E-cadherin/CDH1 was detected in a paraffin-embedded section of human placenta tissue. The tissue section was incubated with rabbit anti-E-cadherin/CDH1 Antibody (PB9561) at a dilution of 1:200 and developed using HRP Conjugated Rabbit IgG Super Vision Assay Kit (Catalog # SV0002) with DAB (Catalog # AR1027) as the chromogen.

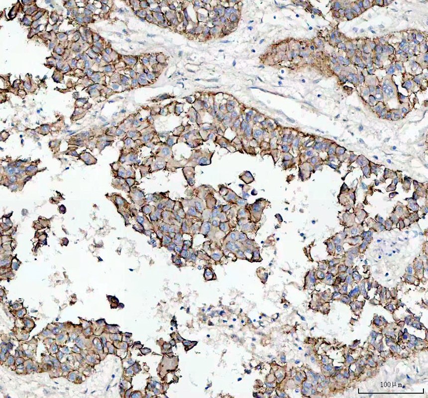
IHC analysis of E-cadherin/CDH1 using anti-E-cadherin/CDH1 antibody (PB9561).
E-cadherin/CDH1 was detected in a paraffin-embedded section of human hepatocellular carcinoma tissue. The tissue section was incubated with rabbit anti-E-cadherin/CDH1 Antibody (PB9561) at a dilution of 1:200 and developed using HRP Conjugated Rabbit IgG Super Vision Assay Kit (Catalog # SV0002) with DAB (Catalog # AR1027) as the chromogen.

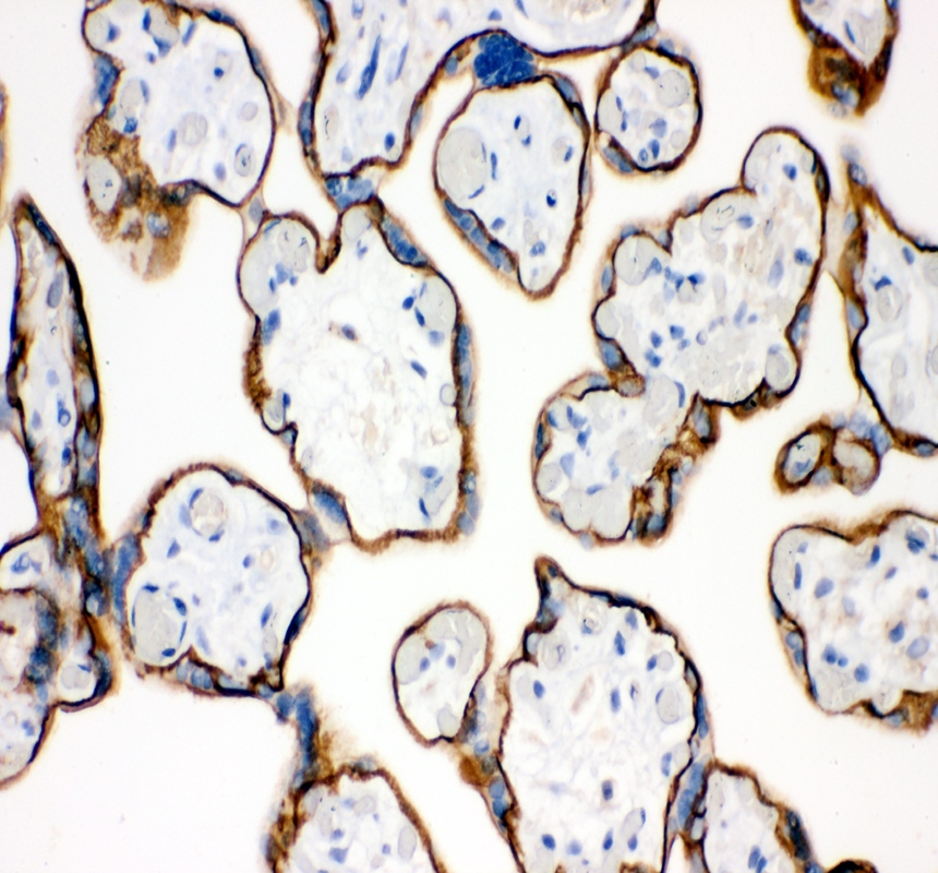
IHC analysis of E-cadherin/CDH1 using anti-E-cadherin/CDH1 antibody (PB9561).
E-cadherin/CDH1 was detected in a paraffin-embedded section of human placenta tissue. The tissue section was incubated with rabbit anti-E-cadherin/CDH1 Antibody (PB9561) at a dilution of 1:200 and developed using HRP Conjugated Rabbit IgG Super Vision Assay Kit (Catalog # SV0002) with DAB (Catalog # AR1027) as the chromogen.

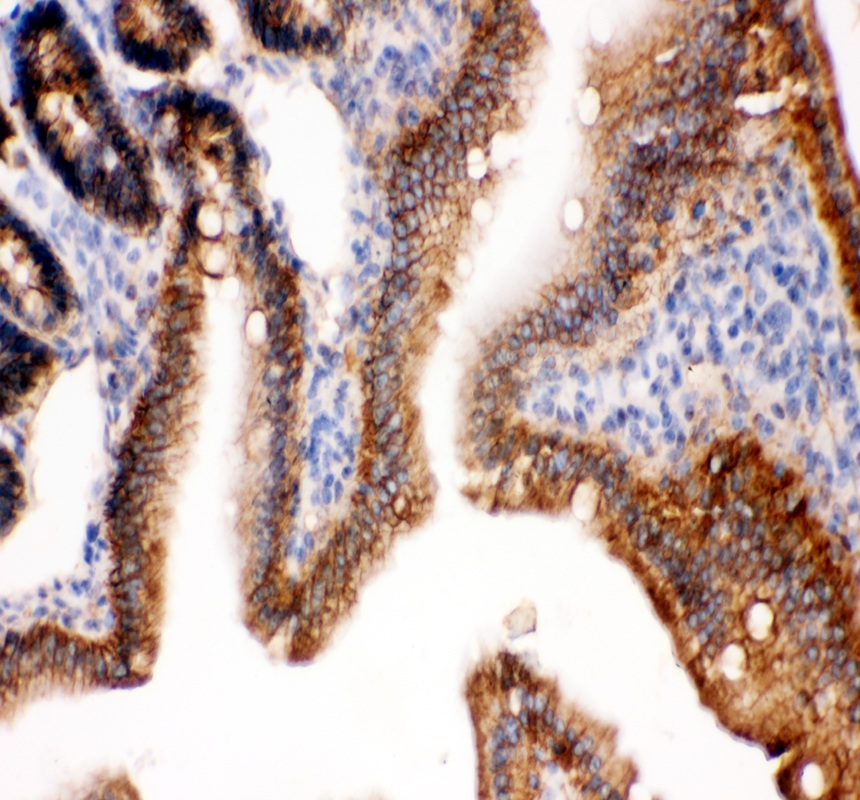
IHC analysis of E-cadherin/CDH1 using anti-E-cadherin/CDH1 antibody (PB9561).
E-cadherin/CDH1 was detected in a paraffin-embedded section of mouse colon tissue. The tissue section was incubated with rabbit anti-E-cadherin/CDH1 Antibody (PB9561) at a dilution of 1:200 and developed using HRP Conjugated Rabbit IgG Super Vision Assay Kit (Catalog # SV0002) with DAB (Catalog # AR1027) as the chromogen.

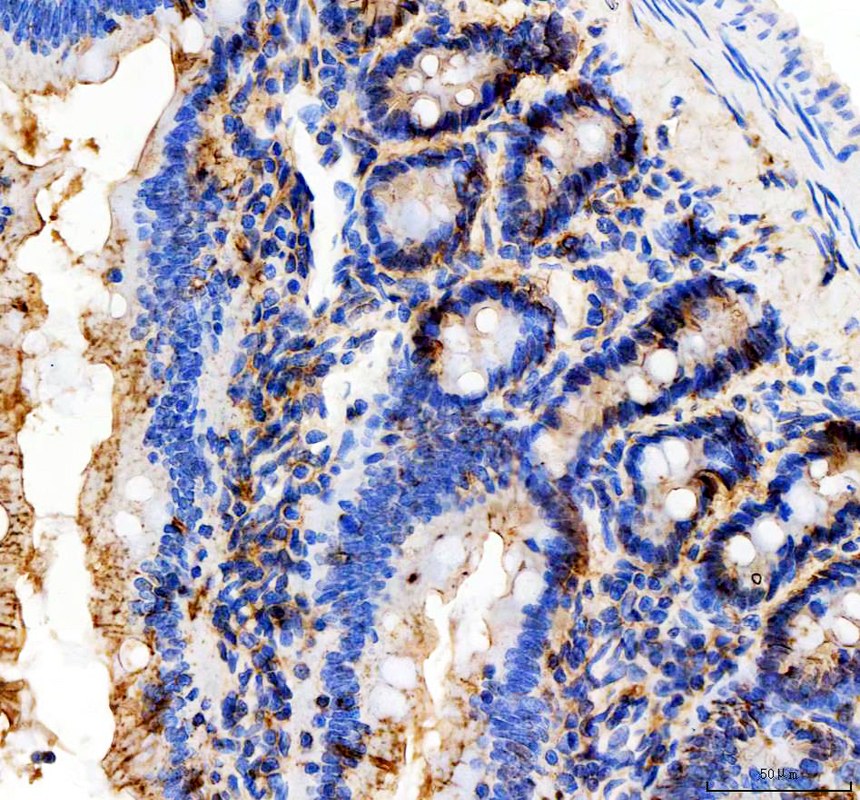
IHC analysis of E-cadherin/CDH1 using anti-E-cadherin/CDH1 antibody (PB9561).
E-cadherin/CDH1 was detected in a paraffin-embedded section of rat colon tissue. The tissue section was incubated with rabbit anti-E-cadherin/CDH1 Antibody (PB9561) at a dilution of 1:200 and developed using HRP Conjugated Rabbit IgG Super Vision Assay Kit (Catalog # SV0002) with DAB (Catalog # AR1027) as the chromogen.

ICC/IF analysis of E-cadherin/CDH1 using anti-E-cadherin/CDH1 antibody (PB9561).
E-cadherin/CDH1 was detected in an immunocytochemical section of MCF-7 cells. The section was incubated with rabbit anti-E-cadherin/CDH1 Antibody (PB9561) at a dilution of 1:100. Fluoro488 Conjugated Goat Anti-Rabbit IgG (Green) (Catalog # BA1127) was used as secondary antibody. The section was counterstained with DAPI (Catalog # AR1176) (Blue).

Western blot analysis of E-cadherin/CDH1 using anti-E-cadherin/CDH1 antibody (PB9561). The sample well of each lane was loaded with 30 ug of sample under reducing conditions.
Lane 1: human MCF-7 whole cell lysates,
Lane 2: human A431 whole cell lysates,
Lane 3: human HepG2 whole cell lysates,
Lane 4: human T-47D whole cell lysates.
After electrophoresis, proteins were transferred to a membrane. Then the membrane was incubated with rabbit anti-E-cadherin/CDH1 antigen affinity purified polyclonal antibody (PB9561) at a dilution of 1:1000 and probed with a goat anti-rabbit IgG-HRP secondary antibody (Catalog # BA1054). The signal is developed using ECL Plus Western Blotting Substrate (Catalog # AR1197). A specific band was detected for E-cadherin/CDH1 at approximately 130 kDa. The expected band size for E-cadherin/CDH1 is at 97 kDa.

IHC analysis of E-cadherin/CDH1 using anti-E-cadherin/CDH1 antibody (PB9561).
E-cadherin/CDH1 was detected in a paraffin-embedded section of human placenta tissue. The tissue section was incubated with rabbit anti-E-cadherin/CDH1 Antibody (PB9561) at a dilution of 1:200 and developed using HRP Conjugated Rabbit IgG Super Vision Assay Kit (Catalog # SV0002) with DAB (Catalog # AR1027) as the chromogen.

IHC analysis of E-cadherin/CDH1 using anti-E-cadherin/CDH1 antibody (PB9561).
E-cadherin/CDH1 was detected in a paraffin-embedded section of human hepatocellular carcinoma tissue. The tissue section was incubated with rabbit anti-E-cadherin/CDH1 Antibody (PB9561) at a dilution of 1:200 and developed using HRP Conjugated Rabbit IgG Super Vision Assay Kit (Catalog # SV0002) with DAB (Catalog # AR1027) as the chromogen.

IHC analysis of E-cadherin/CDH1 using anti-E-cadherin/CDH1 antibody (PB9561).
E-cadherin/CDH1 was detected in a paraffin-embedded section of human placenta tissue. The tissue section was incubated with rabbit anti-E-cadherin/CDH1 Antibody (PB9561) at a dilution of 1:200 and developed using HRP Conjugated Rabbit IgG Super Vision Assay Kit (Catalog # SV0002) with DAB (Catalog # AR1027) as the chromogen.

IHC analysis of E-cadherin/CDH1 using anti-E-cadherin/CDH1 antibody (PB9561).
E-cadherin/CDH1 was detected in a paraffin-embedded section of mouse colon tissue. The tissue section was incubated with rabbit anti-E-cadherin/CDH1 Antibody (PB9561) at a dilution of 1:200 and developed using HRP Conjugated Rabbit IgG Super Vision Assay Kit (Catalog # SV0002) with DAB (Catalog # AR1027) as the chromogen.

IHC analysis of E-cadherin/CDH1 using anti-E-cadherin/CDH1 antibody (PB9561).
E-cadherin/CDH1 was detected in a paraffin-embedded section of rat colon tissue. The tissue section was incubated with rabbit anti-E-cadherin/CDH1 Antibody (PB9561) at a dilution of 1:200 and developed using HRP Conjugated Rabbit IgG Super Vision Assay Kit (Catalog # SV0002) with DAB (Catalog # AR1027) as the chromogen.

ICC/IF analysis of E-cadherin/CDH1 using anti-E-cadherin/CDH1 antibody (PB9561).
E-cadherin/CDH1 was detected in an immunocytochemical section of MCF-7 cells. The section was incubated with rabbit anti-E-cadherin/CDH1 Antibody (PB9561) at a dilution of 1:100. Fluoro488 Conjugated Goat Anti-Rabbit IgG (Green) (Catalog # BA1127) was used as secondary antibody. The section was counterstained with DAPI (Catalog # AR1176) (Blue).








