| Western blot (WB): | 1:500-2000 |
| Immunohistochemistry (IHC): | 1:50-400 |
| Immunocytochemistry/Immunofluorescence (ICC/IF): | 1:50-400 |
| Flow Cytometry (Fixed): | 1:50-200 |
| (Boiling the paraffin sections in 10mM citrate buffer,pH6.0,or PH8.0 EDTA repair liquid for 20 mins is required for the staining of formalin/paraffin sections.) Optimal working dilutions must be determined by end user. | |

Western blot analysis of SHP2/PTPN11 using anti-SHP2/PTPN11 antibody (BA2199-2). The sample well of each lane was loaded with 30 ug of sample under reducing conditions.
Lane 1: human Jurkat whole cell lysates,
Lane 2: human CCRF-CEM whole cell lysates,
Lane 3: human Raji whole cell lysates,
Lane 4: human PC-3 whole cell lysates,
Lane 5: rat brain tissue lysates,
Lane 6: rat C6 whole cell lysates,
Lane 7: mouse brain tissue lysates,
Lane 8: mouse 3T3-L1 whole cell lysates.
After electrophoresis, proteins were transferred to a membrane. Then the membrane was incubated with rabbit anti-SHP2/PTPN11 antigen affinity purified polyclonal antibody (BA2199-2) at a dilution of 1:1000 and probed with a goat anti-rabbit IgG-HRP secondary antibody (Catalog # BA1054). The signal is developed using ECL Plus Western Blotting Substrate (Catalog # AR1197). A specific band was detected for SHP2/PTPN11 at approximately 68 kDa. The expected band size for SHP2/PTPN11 is at 68 kDa.

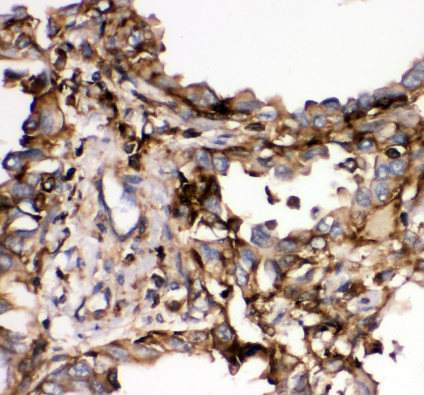
IHC analysis of SHP2/PTPN11 using anti-SHP2/PTPN11 antibody (BA2199-2) .
SHP2/PTPN11 was detected in a paraffin-embedded section of human lung cancer tissue. The tissue section was incubated with rabbit anti-SHP2/PTPN11 Antibody (BA2199-2) at a dilution of 1:200 and developed using HRP Conjugated Rabbit IgG Super Vision Assay Kit (Catalog # SV0002) with DAB (Catalog # AR1027) as the chromogen.

ICC/IF analysis of SHP2/PTPN11 using anti-SHP2/PTPN11 antibody (BA2199-2).
SHP2/PTPN11 was detected in an immunocytochemical section of PC-3 cells. The section was incubated with rabbit anti-SHP2/PTPN11 Antibody (BA2199-2) at a dilution of 1:100. Fluoro488 Conjugated Goat Anti-Rabbit IgG (Green) (Catalog # BA1127) was used as secondary antibody. The section was counterstained with DAPI (Catalog # AR1176) (Blue).

Flow Cytometry analysis of Caco-2 cells using anti-SHP2/PTPN11 antibody (BA2199-2).
Overlay histogram showing Caco-2 cells stained with BA2199-2 (Blue line). To facilitate intracellular staining, cells were fixed with 4% paraformaldehyde and permeabilized with permeabilization buffer. The cells were blocked with 10% normal goat serum. And then incubated with rabbit anti-SHP2/PTPN11 Antibody (BA2199-2) at 1:100 dilution for 30 min at 20°C. Fluoro488 conjugated goat anti-rabbit IgG (BA1127) was used as secondary antibody at 1:100 dilution for 30 minutes at 20°C. Isotype control antibody (Green line) was rabbit IgG at 1:100 dilution used under the same conditions. Unlabelled sample (Red line) was also used as a control.

Western blot analysis of SHP2/PTPN11 using anti-SHP2/PTPN11 antibody (BA2199-2). The sample well of each lane was loaded with 30 ug of sample under reducing conditions.
Lane 1: human Jurkat whole cell lysates,
Lane 2: human CCRF-CEM whole cell lysates,
Lane 3: human Raji whole cell lysates,
Lane 4: human PC-3 whole cell lysates,
Lane 5: rat brain tissue lysates,
Lane 6: rat C6 whole cell lysates,
Lane 7: mouse brain tissue lysates,
Lane 8: mouse 3T3-L1 whole cell lysates.
After electrophoresis, proteins were transferred to a membrane. Then the membrane was incubated with rabbit anti-SHP2/PTPN11 antigen affinity purified polyclonal antibody (BA2199-2) at a dilution of 1:1000 and probed with a goat anti-rabbit IgG-HRP secondary antibody (Catalog # BA1054). The signal is developed using ECL Plus Western Blotting Substrate (Catalog # AR1197). A specific band was detected for SHP2/PTPN11 at approximately 68 kDa. The expected band size for SHP2/PTPN11 is at 68 kDa.

IHC analysis of SHP2/PTPN11 using anti-SHP2/PTPN11 antibody (BA2199-2) .
SHP2/PTPN11 was detected in a paraffin-embedded section of human lung cancer tissue. The tissue section was incubated with rabbit anti-SHP2/PTPN11 Antibody (BA2199-2) at a dilution of 1:200 and developed using HRP Conjugated Rabbit IgG Super Vision Assay Kit (Catalog # SV0002) with DAB (Catalog # AR1027) as the chromogen.

ICC/IF analysis of SHP2/PTPN11 using anti-SHP2/PTPN11 antibody (BA2199-2).
SHP2/PTPN11 was detected in an immunocytochemical section of PC-3 cells. The section was incubated with rabbit anti-SHP2/PTPN11 Antibody (BA2199-2) at a dilution of 1:100. Fluoro488 Conjugated Goat Anti-Rabbit IgG (Green) (Catalog # BA1127) was used as secondary antibody. The section was counterstained with DAPI (Catalog # AR1176) (Blue).

Flow Cytometry analysis of Caco-2 cells using anti-SHP2/PTPN11 antibody (BA2199-2).
Overlay histogram showing Caco-2 cells stained with BA2199-2 (Blue line). To facilitate intracellular staining, cells were fixed with 4% paraformaldehyde and permeabilized with permeabilization buffer. The cells were blocked with 10% normal goat serum. And then incubated with rabbit anti-SHP2/PTPN11 Antibody (BA2199-2) at 1:100 dilution for 30 min at 20°C. Fluoro488 conjugated goat anti-rabbit IgG (BA1127) was used as secondary antibody at 1:100 dilution for 30 minutes at 20°C. Isotype control antibody (Green line) was rabbit IgG at 1:100 dilution used under the same conditions. Unlabelled sample (Red line) was also used as a control.



