| Western blot (WB): | 1:500-2000 |
| Immunohistochemistry (IHC): | 1:50-200 |
| ImmunoPrecipitation (IP): | 1:20 |

Western blot analysis of anti-SHP2/PTPN11 antibody (BM4588). The sample well of each lane was loaded with 30 ug of sample under reducing conditions.
Lane 1: human Hela whole cell lysates,
Lane 2: human Jurkat whole cell lysates,
Lane 3: human HepG2 whole cell lysates,
Lane 4: human MCF-7 whole cell lysates,
Lane 5: rat heart tissue lysates,
Lane 6: rat brain tissue lysates,
Lane 7: mouse heart tissue lysates,
Lane 8: mouse brain tissue lysates.
After electrophoresis, proteins were transferred to a membrane. Then the membrane was incubated with rabbit anti-SHP2/PTPN11 antigen affinity purified monoclonal antibody (BM4588) at a dilution of 1:1000 and probed with a goat anti-rabbit IgG-HRP secondary antibody (Catalog # BA1054). The signal is developed using ECL Plus Western Blotting Substrate (Catalog # AR1197). A specific band was detected for SHP2/PTPN11 at approximately 68 kDa. The expected band size for SHP2/PTPN11 is at 68 kDa.

IHC analysis of SHP2/PTPN11 using anti-SHP2/PTPN11 antibody (BM4588) .
SHP2/PTPN11 was detected in a paraffin-embedded section of human colon tissue. The tissue section was incubated with rabbit anti-SHP2/PTPN11 Antibody (BM4588) at a dilution of 1:200 and developed using HRP Conjugated Rabbit IgG Super Vision Assay Kit (Catalog # SV0002) with DAB (Catalog # AR1027) as the chromogen.

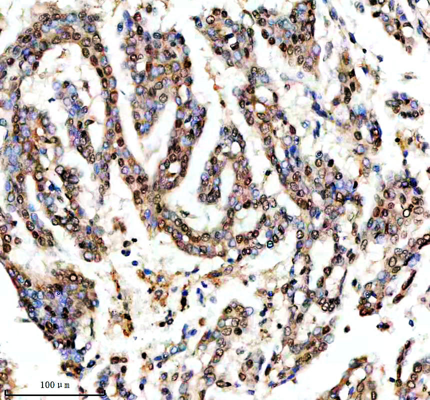
IHC analysis of SHP2/PTPN11 using anti-SHP2/PTPN11 antibody (BM4588) .
SHP2/PTPN11 was detected in a paraffin-embedded section of human colon cnacer tissue. The tissue section was incubated with rabbit anti-SHP2/PTPN11 Antibody (BM4588) at a dilution of 1:200 and developed using HRP Conjugated Rabbit IgG Super Vision Assay Kit (Catalog # SV0002) with DAB (Catalog # AR1027) as the chromogen.

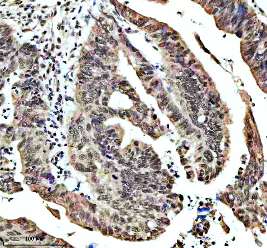
IHC analysis of SHP2/PTPN11 using anti-SHP2/PTPN11 antibody (BM4588) .
SHP2/PTPN11 was detected in a paraffin-embedded section of human lung cancer tissue. The tissue section was incubated with rabbit anti-SHP2/PTPN11 Antibody (BM4588) at a dilution of 1:200 and developed using HRP Conjugated Rabbit IgG Super Vision Assay Kit (Catalog # SV0002) with DAB (Catalog # AR1027) as the chromogen.

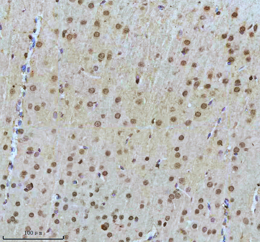
IHC analysis of SHP2/PTPN11 using anti-SHP2/PTPN11 antibody (BM4588) .
SHP2/PTPN11 was detected in a paraffin-embedded section of mouse brain tissue. The tissue section was incubated with rabbit anti-SHP2/PTPN11 Antibody (BM4588) at a dilution of 1:200 and developed using HRP Conjugated Rabbit IgG Super Vision Assay Kit (Catalog # SV0002) with DAB (Catalog # AR1027) as the chromogen.

IHC analysis of SHP2/PTPN11 using anti-SHP2/PTPN11 antibody (BM4588) .
SHP2/PTPN11 was detected in a paraffin-embedded section of rat brain tissue. The tissue section was incubated with rabbit anti-SHP2/PTPN11 Antibody (BM4588) at a dilution of 1:200 and developed using HRP Conjugated Rabbit IgG Super Vision Assay Kit (Catalog # SV0002) with DAB (Catalog # AR1027) as the chromogen.

IHC analysis of SHP2/PTPN11 using anti-SHP2/PTPN11 antibody (BM4588) .
SHP2/PTPN11 was detected in a paraffin-embedded section of rat brain tissue. The tissue section was incubated with rabbit anti-SHP2/PTPN11 Antibody (BM4588) at a dilution of 1:200 and developed using HRP Conjugated Rabbit IgG Super Vision Assay Kit (Catalog # SV0002) with DAB (Catalog # AR1027) as the chromogen.

Western blot analysis of anti-SHP2/PTPN11 antibody (BM4588). The sample well of each lane was loaded with 30 ug of sample under reducing conditions.
Lane 1: human Hela whole cell lysates,
Lane 2: human Jurkat whole cell lysates,
Lane 3: human HepG2 whole cell lysates,
Lane 4: human MCF-7 whole cell lysates,
Lane 5: rat heart tissue lysates,
Lane 6: rat brain tissue lysates,
Lane 7: mouse heart tissue lysates,
Lane 8: mouse brain tissue lysates.
After electrophoresis, proteins were transferred to a membrane. Then the membrane was incubated with rabbit anti-SHP2/PTPN11 antigen affinity purified monoclonal antibody (BM4588) at a dilution of 1:1000 and probed with a goat anti-rabbit IgG-HRP secondary antibody (Catalog # BA1054). The signal is developed using ECL Plus Western Blotting Substrate (Catalog # AR1197). A specific band was detected for SHP2/PTPN11 at approximately 68 kDa. The expected band size for SHP2/PTPN11 is at 68 kDa.

IHC analysis of SHP2/PTPN11 using anti-SHP2/PTPN11 antibody (BM4588) .
SHP2/PTPN11 was detected in a paraffin-embedded section of human colon tissue. The tissue section was incubated with rabbit anti-SHP2/PTPN11 Antibody (BM4588) at a dilution of 1:200 and developed using HRP Conjugated Rabbit IgG Super Vision Assay Kit (Catalog # SV0002) with DAB (Catalog # AR1027) as the chromogen.

IHC analysis of SHP2/PTPN11 using anti-SHP2/PTPN11 antibody (BM4588) .
SHP2/PTPN11 was detected in a paraffin-embedded section of human colon cnacer tissue. The tissue section was incubated with rabbit anti-SHP2/PTPN11 Antibody (BM4588) at a dilution of 1:200 and developed using HRP Conjugated Rabbit IgG Super Vision Assay Kit (Catalog # SV0002) with DAB (Catalog # AR1027) as the chromogen.

IHC analysis of SHP2/PTPN11 using anti-SHP2/PTPN11 antibody (BM4588) .
SHP2/PTPN11 was detected in a paraffin-embedded section of human lung cancer tissue. The tissue section was incubated with rabbit anti-SHP2/PTPN11 Antibody (BM4588) at a dilution of 1:200 and developed using HRP Conjugated Rabbit IgG Super Vision Assay Kit (Catalog # SV0002) with DAB (Catalog # AR1027) as the chromogen.

IHC analysis of SHP2/PTPN11 using anti-SHP2/PTPN11 antibody (BM4588) .
SHP2/PTPN11 was detected in a paraffin-embedded section of mouse brain tissue. The tissue section was incubated with rabbit anti-SHP2/PTPN11 Antibody (BM4588) at a dilution of 1:200 and developed using HRP Conjugated Rabbit IgG Super Vision Assay Kit (Catalog # SV0002) with DAB (Catalog # AR1027) as the chromogen.

IHC analysis of SHP2/PTPN11 using anti-SHP2/PTPN11 antibody (BM4588) .
SHP2/PTPN11 was detected in a paraffin-embedded section of rat brain tissue. The tissue section was incubated with rabbit anti-SHP2/PTPN11 Antibody (BM4588) at a dilution of 1:200 and developed using HRP Conjugated Rabbit IgG Super Vision Assay Kit (Catalog # SV0002) with DAB (Catalog # AR1027) as the chromogen.

IHC analysis of SHP2/PTPN11 using anti-SHP2/PTPN11 antibody (BM4588) .
SHP2/PTPN11 was detected in a paraffin-embedded section of rat brain tissue. The tissue section was incubated with rabbit anti-SHP2/PTPN11 Antibody (BM4588) at a dilution of 1:200 and developed using HRP Conjugated Rabbit IgG Super Vision Assay Kit (Catalog # SV0002) with DAB (Catalog # AR1027) as the chromogen.








