| Western blot (WB): | 1:500-2000 |
| Immunohistochemistry (IHC): | 1:50-400 |
| Immunocytochemistry/Immunofluorescence (ICC/IF): | 1:50-400 |
| Flow Cytometry (Fixed): | 1:50-200 |
| (Boiling the paraffin sections in 10mM citrate buffer,pH6.0,or PH8.0 EDTA repair liquid for 20 mins is required for the staining of formalin/paraffin sections.) Optimal working dilutions must be determined by end user. | |

Western blot analysis of SHP2/PTPN11 using anti-SHP2/PTPN11 antibody (M00150-2). The sample well of each lane was loaded with 30 ug of sample under reducing conditions.
Lane 1: human Hela whole cell lysates,
Lane 2: human RT4 whole cell lysates,
Lane 3: human HepG2 whole cell lysates,
Lane 4: human MCF-7 whole cell lysates,
Lane 5: rat heart tissue lysates,
Lane 6: rat brain tissue lysates,
Lane 7: mouse heart tissue lysates,
Lane 8: mouse brain tissue lysates.
After electrophoresis, proteins were transferred to a membrane. Then the membrane was incubated with mouse anti-SHP2/PTPN11 antigen affinity purified monoclonal antibody (M00150-2) at a dilution of 1:1000 and probed with a goat anti-mouse IgG-HRP secondary antibody (Catalog # BA1050). The signal is developed using ECL Plus Western Blotting Substrate (Catalog # AR1197). A specific band was detected for SHP2/PTPN11 at approximately 68 kDa. The expected band size for SHP2/PTPN11 is at 68 kDa.

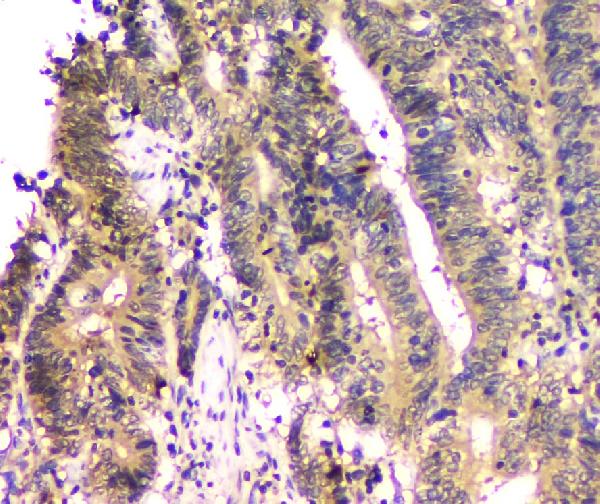
IHC analysis of SHP2/PTPN11 using anti-SHP2/PTPN11 antibody (M00150-2).
SHP2/PTPN11 was detected in a paraffin-embedded section of human colon cancer tissue. Biotinylated goat anti-mouse IgG was used as secondary antibody. The tissue section was incubated with mouse anti-SHP2/PTPN11 Antibody (M00150-2) at a dilution of 1:200 and developed using Strepavidin-Biotin-Complex (SABC) (Catalog # SA1021) with DAB (Catalog # AR1027) as the chromogen.

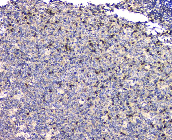
IHC analysis of SHP2/PTPN11 using anti-SHP2/PTPN11 antibody (M00150-2).
SHP2/PTPN11 was detected in a paraffin-embedded section of human tonsil tissue. Biotinylated goat anti-mouse IgG was used as secondary antibody. The tissue section was incubated with mouse anti-SHP2/PTPN11 Antibody (M00150-2) at a dilution of 1:200 and developed using Strepavidin-Biotin-Complex (SABC) (Catalog # SA1021) with DAB (Catalog # AR1027) as the chromogen.

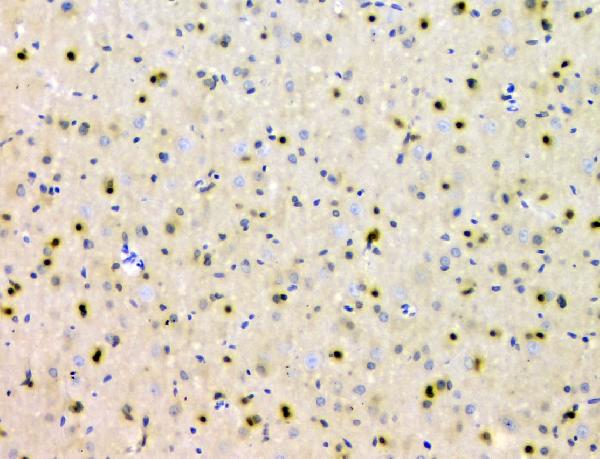
IHC analysis of SHP2/PTPN11 using anti-SHP2/PTPN11 antibody (M00150-2).
SHP2/PTPN11 was detected in a paraffin-embedded section of mouse brain tissue. Biotinylated goat anti-mouse IgG was used as secondary antibody. The tissue section was incubated with mouse anti-SHP2/PTPN11 Antibody (M00150-2) at a dilution of 1:200 and developed using Strepavidin-Biotin-Complex (SABC) (Catalog # SA1021) with DAB (Catalog # AR1027) as the chromogen.

IHC analysis of SHP2/PTPN11 using anti-SHP2/PTPN11 antibody (M00150-2).
SHP2/PTPN11 was detected in a paraffin-embedded section of rat brain tissue. Biotinylated goat anti-mouse IgG was used as secondary antibody. The tissue section was incubated with mouse anti-SHP2/PTPN11 Antibody (M00150-2) at a dilution of 1:200 and developed using Strepavidin-Biotin-Complex (SABC) (Catalog # SA1021) with DAB (Catalog # AR1027) as the chromogen.

ICC/IF analysis of SHP2/PTPN11 using anti- SHP2/PTPN11 antibody (M00150-2). SHP2/PTPN11 was detected in immunocytochemical section of U251 cells. Enzyme antigen retrieval was performed using IHC enzyme antigen retrieval reagent (AR0022) for 15 mins. The cells were blocked with 10% goat serum. And then incubated with 2μg/mL mouse anti- SHP2/PTPN11 Antibody (M00150-2) overnight at 4°C. Fluoro488 Conjugated Goat Anti-Mouse IgG (BA1126) was used as secondary antibody at 1:100 dilution and incubated for 30 minutes at 37°C. The section was counterstained with DAPI. Visualize using a fluorescence microscope and filter sets appropriate for the label used.

Flow cytometry analysis of A549 cell (1:100) Fluoro 488 conjugated goat anti-mouse IgG(blue) was used as secondary antibody. Isotype control antibody (Green line) was mouse IgG Fluoro 488. Unlabelled sample (Red line).

Western blot analysis of SHP2/PTPN11 using anti-SHP2/PTPN11 antibody (M00150-2). The sample well of each lane was loaded with 30 ug of sample under reducing conditions.
Lane 1: human Hela whole cell lysates,
Lane 2: human RT4 whole cell lysates,
Lane 3: human HepG2 whole cell lysates,
Lane 4: human MCF-7 whole cell lysates,
Lane 5: rat heart tissue lysates,
Lane 6: rat brain tissue lysates,
Lane 7: mouse heart tissue lysates,
Lane 8: mouse brain tissue lysates.
After electrophoresis, proteins were transferred to a membrane. Then the membrane was incubated with mouse anti-SHP2/PTPN11 antigen affinity purified monoclonal antibody (M00150-2) at a dilution of 1:1000 and probed with a goat anti-mouse IgG-HRP secondary antibody (Catalog # BA1050). The signal is developed using ECL Plus Western Blotting Substrate (Catalog # AR1197). A specific band was detected for SHP2/PTPN11 at approximately 68 kDa. The expected band size for SHP2/PTPN11 is at 68 kDa.

IHC analysis of SHP2/PTPN11 using anti-SHP2/PTPN11 antibody (M00150-2).
SHP2/PTPN11 was detected in a paraffin-embedded section of human colon cancer tissue. Biotinylated goat anti-mouse IgG was used as secondary antibody. The tissue section was incubated with mouse anti-SHP2/PTPN11 Antibody (M00150-2) at a dilution of 1:200 and developed using Strepavidin-Biotin-Complex (SABC) (Catalog # SA1021) with DAB (Catalog # AR1027) as the chromogen.

IHC analysis of SHP2/PTPN11 using anti-SHP2/PTPN11 antibody (M00150-2).
SHP2/PTPN11 was detected in a paraffin-embedded section of human tonsil tissue. Biotinylated goat anti-mouse IgG was used as secondary antibody. The tissue section was incubated with mouse anti-SHP2/PTPN11 Antibody (M00150-2) at a dilution of 1:200 and developed using Strepavidin-Biotin-Complex (SABC) (Catalog # SA1021) with DAB (Catalog # AR1027) as the chromogen.

IHC analysis of SHP2/PTPN11 using anti-SHP2/PTPN11 antibody (M00150-2).
SHP2/PTPN11 was detected in a paraffin-embedded section of mouse brain tissue. Biotinylated goat anti-mouse IgG was used as secondary antibody. The tissue section was incubated with mouse anti-SHP2/PTPN11 Antibody (M00150-2) at a dilution of 1:200 and developed using Strepavidin-Biotin-Complex (SABC) (Catalog # SA1021) with DAB (Catalog # AR1027) as the chromogen.

IHC analysis of SHP2/PTPN11 using anti-SHP2/PTPN11 antibody (M00150-2).
SHP2/PTPN11 was detected in a paraffin-embedded section of rat brain tissue. Biotinylated goat anti-mouse IgG was used as secondary antibody. The tissue section was incubated with mouse anti-SHP2/PTPN11 Antibody (M00150-2) at a dilution of 1:200 and developed using Strepavidin-Biotin-Complex (SABC) (Catalog # SA1021) with DAB (Catalog # AR1027) as the chromogen.

ICC/IF analysis of SHP2/PTPN11 using anti- SHP2/PTPN11 antibody (M00150-2). SHP2/PTPN11 was detected in immunocytochemical section of U251 cells. Enzyme antigen retrieval was performed using IHC enzyme antigen retrieval reagent (AR0022) for 15 mins. The cells were blocked with 10% goat serum. And then incubated with 2μg/mL mouse anti- SHP2/PTPN11 Antibody (M00150-2) overnight at 4°C. Fluoro488 Conjugated Goat Anti-Mouse IgG (BA1126) was used as secondary antibody at 1:100 dilution and incubated for 30 minutes at 37°C. The section was counterstained with DAPI. Visualize using a fluorescence microscope and filter sets appropriate for the label used.

Flow cytometry analysis of A549 cell (1:100) Fluoro 488 conjugated goat anti-mouse IgG(blue) was used as secondary antibody. Isotype control antibody (Green line) was mouse IgG Fluoro 488. Unlabelled sample (Red line).






