| Western blot (WB): | 1:500-2000 |
| Immunohistochemistry (IHC): | 1:50-400 |
| Immunocytochemistry/Immunofluorescence (ICC/IF): | 1:50-400 |
| (Boiling the paraffin sections in 10mM citrate buffer,pH6.0,or PH8.0 EDTA repair liquid for 20 mins is required for the staining of formalin/paraffin sections.) Optimal working dilutions must be determined by end user. | |

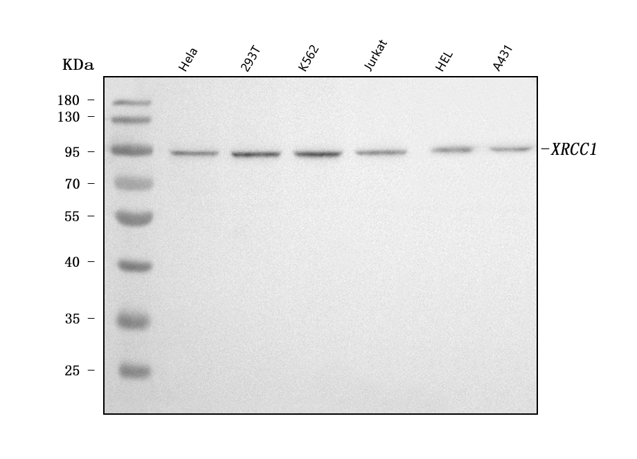
Western blot analysis of XRCC1 using anti-XRCC1 antibody (BA3670). The sample well of each lane was loaded with 30 ug of sample under reducing conditions.
Lane 1: Hela whole cell lysates,
Lane 2: 293T whole cell lysates,
Lane 3: K562 whole cell lysates,
Lane 4: Jurkat whole cell lysates.
After electrophoresis, proteins were transferred to a membrane. Then the membrane was incubated with rabbit anti-XRCC1 antigen affinity purified polyclonal antibody (BA3670) at a dilution of 1:1000 and probed with a goat anti-rabbit IgG-HRP secondary antibody (Catalog # BA1054). The signal is developed using ECL Plus Western Blotting Substrate (Catalog # AR1197). A specific band was detected for XRCC1 at approximately 90 kDa. The expected band size for XRCC1 is at 69 kDa.

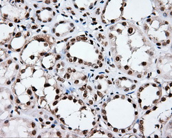
IHC analysis of XRCC1 using anti-XRCC1 antibody (BA3670).
XRCC1 was detected in a paraffin-embedded section of human mammary cancer tissue. Biotinylated goat anti-rabbit IgG was used as secondary antibody. The tissue section was incubated with rabbit anti-XRCC1 Antibody (BA3670) at a dilution of 1:200 and developed using Strepavidin-Biotin-Complex (SABC) (Catalog # SA1022) with DAB (Catalog # AR1027) as the chromogen.

ICC/IF analysis of XRCC1 using anti-XRCC1 antibody (BA3670) and anti-Beta Tubulin antibody (M01857-3).
XRCC1 was detected in an immunocytochemical section of Hela cells. The section was incubated with rabbit anti-XRCC1 Antibody (BA3670) at a dilution of 1:100. Cy3-Conjugated Anti-rabbit IgG Secondary Antibody (Red) (Catalog # BA1032) and Fluoro488-conjugated Anti-mouse IgG Secondary Antibody (Green) (Catalog # BA1126) were used as secondary antibody.

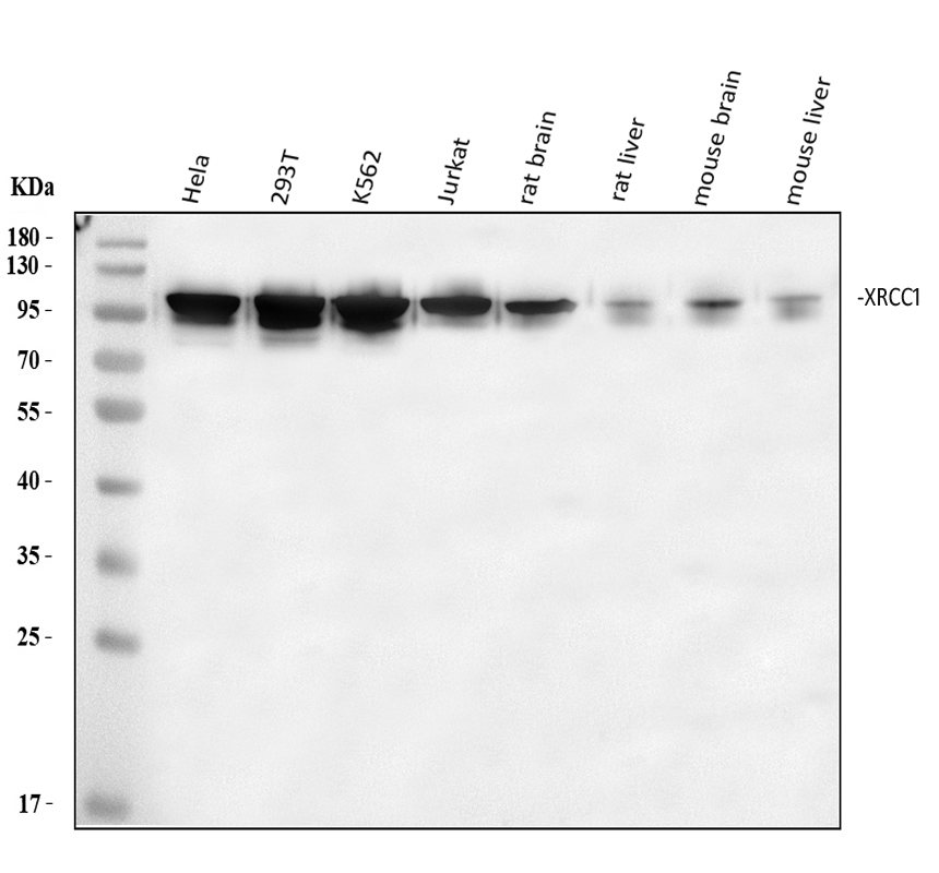
Western blot analysis of XRCC1 using anti-XRCC1 antibody (BA3670). The sample well of each lane was loaded with 30 ug of sample under reducing conditions.
Lane 1: Hela whole cell lysates,
Lane 2: 293T whole cell lysates,
Lane 3: K562 whole cell lysates,
Lane 4: Jurkat whole cell lysates.
After electrophoresis, proteins were transferred to a membrane. Then the membrane was incubated with rabbit anti-XRCC1 antigen affinity purified polyclonal antibody (BA3670) at a dilution of 1:1000 and probed with a goat anti-rabbit IgG-HRP secondary antibody (Catalog # BA1054). The signal is developed using ECL Plus Western Blotting Substrate (Catalog # AR1197). A specific band was detected for XRCC1 at approximately 90 kDa. The expected band size for XRCC1 is at 69 kDa.

IHC analysis of XRCC1 using anti-XRCC1 antibody (BA3670).
XRCC1 was detected in a paraffin-embedded section of human mammary cancer tissue. Biotinylated goat anti-rabbit IgG was used as secondary antibody. The tissue section was incubated with rabbit anti-XRCC1 Antibody (BA3670) at a dilution of 1:200 and developed using Strepavidin-Biotin-Complex (SABC) (Catalog # SA1022) with DAB (Catalog # AR1027) as the chromogen.

ICC/IF analysis of XRCC1 using anti-XRCC1 antibody (BA3670) and anti-Beta Tubulin antibody (M01857-3).
XRCC1 was detected in an immunocytochemical section of Hela cells. The section was incubated with rabbit anti-XRCC1 Antibody (BA3670) at a dilution of 1:100. Cy3-Conjugated Anti-rabbit IgG Secondary Antibody (Red) (Catalog # BA1032) and Fluoro488-conjugated Anti-mouse IgG Secondary Antibody (Green) (Catalog # BA1126) were used as secondary antibody.


