| Western blot (WB): | 1:2000 |
| Immunohistochemistry (IHC): | 1:50 |
| Immunocytochemistry/Immunofluorescence (ICC/IF): | 1:100 |

Immunohistochemical staining of paraffin-embedded Kidney tissue within the normal limits using anti-XRCC1 mouse monoclonal antibody. (Heat-induced epitope retrieval by 10mM citric buffer, pH6.0, 100°C for 10min, M00571-3, Dilution 1:50)

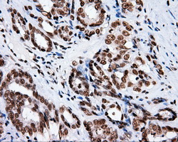
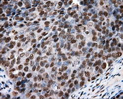
Immunohistochemical staining of paraffin-embedded Adenocarcinoma of colon tissue using anti-XRCC1 mouse monoclonal antibody. (Heat-induced epitope retrieval by 10mM citric buffer, pH6.0, 100°C for 10min, M00571-3, Dilution 1:50)

Immunohistochemical staining of paraffin-embedded colon tissue within the normal limits using anti-XRCC1 mouse monoclonal antibody. (Heat-induced epitope retrieval by 10mM citric buffer, pH6.0, 100°C for 10min, M00571-3, Dilution 1:50)

Immunohistochemical staining of paraffin-embedded bladder tissue within the normal limits using anti-XRCC1 mouse monoclonal antibody. (Heat-induced epitope retrieval by 10mM citric buffer, pH6.0, 100°C for 10min, M00571-3, Dilution 1:50)

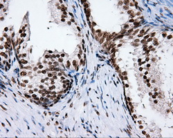
Immunohistochemical staining of paraffin-embedded Carcinoma of prostate tissue using anti-XRCC1 mouse monoclonal antibody. (Heat-induced epitope retrieval by 10mM citric buffer, pH6.0, 100°C for 10min, M00571-3, Dilution 1:50)

Immunohistochemical staining of paraffin-embedded lung tissue within the normal limits using anti-XRCC1 mouse monoclonal antibody. (Heat-induced epitope retrieval by 10mM citric buffer, pH6.0, 100°C for 10min, M00571-3, Dilution 1:50)

Immunohistochemical staining of paraffin-embedded prostate tissue within the normal limits using anti-XRCC1 mouse monoclonal antibody. (Heat-induced epitope retrieval by 10mM citric buffer, pH6.0, 100°C for 10min, M00571-3, Dilution 1:50)

Immunohistochemical staining of paraffin-embedded pancreas tissue within the normal limits using anti-XRCC1 mouse monoclonal antibody. (Heat-induced epitope retrieval by 10mM citric buffer, pH6.0, 100°C for 10min, M00571-3, Dilution 1:50)

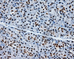
Immunohistochemical staining of paraffin-embedded Adenocarcinoma of ovary tissue using anti-XRCC1 mouse monoclonal antibody. (Heat-induced epitope retrieval by 10mM citric buffer, pH6.0, 100°C for 10min, M00571-3, Dilution 1:50)

Anti-XRCC1 mouse monoclonal antibody immunofluorescent staining of COS7 cells transiently transfected by pCMV6-ENTRY XRCC1 .

HEK293T cells were transfected with the pCMV6-ENTRY control (Left lane) or pCMV6-ENTRY XRCC1 (Right lane) cDNA for 48 hrs and lysed. Equivalent amounts of cell lysates (5 ug per lane) were separated by SDS-PAGE and immunoblotted with anti-XRCC1 (1:1000).

Immunohistochemical staining of paraffin-embedded Kidney tissue within the normal limits using anti-XRCC1 mouse monoclonal antibody. (Heat-induced epitope retrieval by 10mM citric buffer, pH6.0, 100°C for 10min, M00571-3, Dilution 1:50)

Immunohistochemical staining of paraffin-embedded Adenocarcinoma of colon tissue using anti-XRCC1 mouse monoclonal antibody. (Heat-induced epitope retrieval by 10mM citric buffer, pH6.0, 100°C for 10min, M00571-3, Dilution 1:50)

Immunohistochemical staining of paraffin-embedded colon tissue within the normal limits using anti-XRCC1 mouse monoclonal antibody. (Heat-induced epitope retrieval by 10mM citric buffer, pH6.0, 100°C for 10min, M00571-3, Dilution 1:50)

Immunohistochemical staining of paraffin-embedded bladder tissue within the normal limits using anti-XRCC1 mouse monoclonal antibody. (Heat-induced epitope retrieval by 10mM citric buffer, pH6.0, 100°C for 10min, M00571-3, Dilution 1:50)

Immunohistochemical staining of paraffin-embedded Carcinoma of prostate tissue using anti-XRCC1 mouse monoclonal antibody. (Heat-induced epitope retrieval by 10mM citric buffer, pH6.0, 100°C for 10min, M00571-3, Dilution 1:50)

Immunohistochemical staining of paraffin-embedded lung tissue within the normal limits using anti-XRCC1 mouse monoclonal antibody. (Heat-induced epitope retrieval by 10mM citric buffer, pH6.0, 100°C for 10min, M00571-3, Dilution 1:50)

Immunohistochemical staining of paraffin-embedded prostate tissue within the normal limits using anti-XRCC1 mouse monoclonal antibody. (Heat-induced epitope retrieval by 10mM citric buffer, pH6.0, 100°C for 10min, M00571-3, Dilution 1:50)

Immunohistochemical staining of paraffin-embedded pancreas tissue within the normal limits using anti-XRCC1 mouse monoclonal antibody. (Heat-induced epitope retrieval by 10mM citric buffer, pH6.0, 100°C for 10min, M00571-3, Dilution 1:50)

Immunohistochemical staining of paraffin-embedded Adenocarcinoma of ovary tissue using anti-XRCC1 mouse monoclonal antibody. (Heat-induced epitope retrieval by 10mM citric buffer, pH6.0, 100°C for 10min, M00571-3, Dilution 1:50)

Anti-XRCC1 mouse monoclonal antibody immunofluorescent staining of COS7 cells transiently transfected by pCMV6-ENTRY XRCC1 .

HEK293T cells were transfected with the pCMV6-ENTRY control (Left lane) or pCMV6-ENTRY XRCC1 (Right lane) cDNA for 48 hrs and lysed. Equivalent amounts of cell lysates (5 ug per lane) were separated by SDS-PAGE and immunoblotted with anti-XRCC1 (1:1000).










