| Western blot (WB): | 1:500-2000 |
| Immunohistochemistry (IHC): | 1:50-200 |
| Immunocytochemistry/Immunofluorescence (ICC/IF): | 1:50-200 |

Western blot analysis of anti-XRCC1 antibody (BM5088). The sample well of each lane was loaded with 30 ug of sample under reducing conditions.
Lane 1: human Hela whole cell lysates,
Lane 2: human RT4 whole cell lysates,
Lane 3: human A431 whole cell lysates,
Lane 4: human Jurkat whole cell lysates,
Lane 5: rat brain tissue lysates,
Lane 6: rat lung tissue lysates,
Lane 7: mouse brain tissue lysates,
Lane 8: mouse lung tissue lysates.
After electrophoresis, proteins were transferred to a membrane. Then the membrane was incubated with rabbit anti-XRCC1 antigen affinity purified monoclonal antibody (BM5088) at a dilution of 1:1000 and probed with a goat anti-rabbit IgG-HRP secondary antibody (Catalog # BA1054). The signal is developed using ECL Plus Western Blotting Substrate (Catalog # AR1197). A specific band was detected for XRCC1 at approximately 90 kDa. The expected band size for XRCC1 is at 69 kDa.

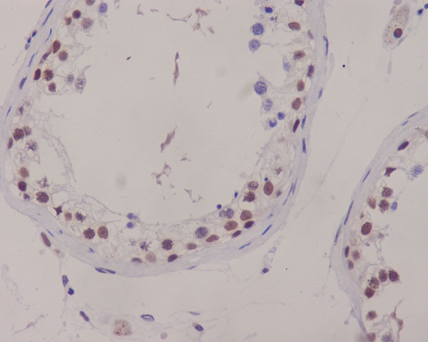
Immunohistochemical analysis of paraffin-embedded human testis, using XRCC1 Antibody.

Immunofluorescent analysis of Hela cells, using XRCC1 Antibody .

Western blot analysis of anti-XRCC1 antibody (BM5088). The sample well of each lane was loaded with 30 ug of sample under reducing conditions.
Lane 1: human Hela whole cell lysates,
Lane 2: human RT4 whole cell lysates,
Lane 3: human A431 whole cell lysates,
Lane 4: human Jurkat whole cell lysates,
Lane 5: rat brain tissue lysates,
Lane 6: rat lung tissue lysates,
Lane 7: mouse brain tissue lysates,
Lane 8: mouse lung tissue lysates.
After electrophoresis, proteins were transferred to a membrane. Then the membrane was incubated with rabbit anti-XRCC1 antigen affinity purified monoclonal antibody (BM5088) at a dilution of 1:1000 and probed with a goat anti-rabbit IgG-HRP secondary antibody (Catalog # BA1054). The signal is developed using ECL Plus Western Blotting Substrate (Catalog # AR1197). A specific band was detected for XRCC1 at approximately 90 kDa. The expected band size for XRCC1 is at 69 kDa.

Immunohistochemical analysis of paraffin-embedded human testis, using XRCC1 Antibody.

Immunofluorescent analysis of Hela cells, using XRCC1 Antibody .


