| Western blot (WB): | 1:500-2000 |
| Immunohistochemistry (IHC): | 1:50-200 |

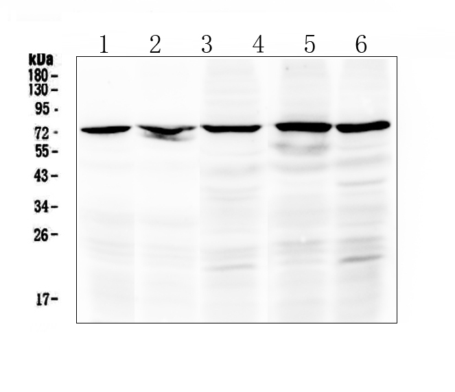
Western blot analysis of RAF1 (Phospho-S259) using anti-RAF1 (Phospho-S259) antibody (BM4780). The sample well of each lane was loaded with 30 ug of sample under reducing conditions.
Lane 1: human MCF-7 whole cell lysates,
Lane 2: human U251 whole cell lysates,
Lane 3: human U2OS whole cell lysates,
Lane 4: rat brain tissue lysates,
Lane 5: rat C6 whole cell lysates,
Lane 6: mouse brain tissue lysates,
Lane 7: mouse Neuro-2a whole cell lysates.
After electrophoresis, proteins were transferred to a membrane. Then the membrane was incubated with rabbit anti-RAF1 (Phospho-S259) antigen affinity purified monoclonal antibody (BM4780) at a dilution of 1:1000 and probed with a goat anti-rabbit IgG-HRP secondary antibody (Catalog # BA1054). The signal is developed using ECL Plus Western Blotting Substrate (Catalog # AR1197). A specific band was detected for RAF1 (Phospho-S259) at approximately 73 kDa. The expected band size for RAF1 (Phospho-S259) is at 73 kDa.

Western blot analysis of RAF1 (Phospho-S259) using anti-RAF1 (Phospho-S259) antibody (BM4780). The sample well of each lane was loaded with 30 ug of sample under reducing conditions.
Lane 1: human MCF-7 whole cell lysates,
Lane 2: human U251 whole cell lysates,
Lane 3: human U2OS whole cell lysates,
Lane 4: rat brain tissue lysates,
Lane 5: rat C6 whole cell lysates,
Lane 6: mouse brain tissue lysates,
Lane 7: mouse Neuro-2a whole cell lysates.
After electrophoresis, proteins were transferred to a membrane. Then the membrane was incubated with rabbit anti-RAF1 (Phospho-S259) antigen affinity purified monoclonal antibody (BM4780) at a dilution of 1:1000 and probed with a goat anti-rabbit IgG-HRP secondary antibody (Catalog # BA1054). The signal is developed using ECL Plus Western Blotting Substrate (Catalog # AR1197). A specific band was detected for RAF1 (Phospho-S259) at approximately 73 kDa. The expected band size for RAF1 (Phospho-S259) is at 73 kDa.


