| Western blot (WB): | 1:4000 |
| Immunohistochemistry (IHC): | 1:150 |

HEK293T cells were transfected with the pCMV6-ENTRY control (Left lane) or pCMV6-ENTRY LYZ (Right lane) cDNA for 48 hrs and lysed. Equivalent amounts of cell lysates (5 ug per lane) were separated by SDS-PAGE and immunoblotted with anti-LYZ(Cat# M01811-1).

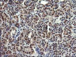
Immunohistochemical staining of paraffin-embedded Human pancreas tissue within the normal limits using anti-LYZ mouse monoclonal antibody. (Heat-induced epitope retrieval by 10mM citric buffer, pH6.0, 120°C for 3min, M01811-1)

HEK293T cells were transfected with the pCMV6-ENTRY control (Left lane) or pCMV6-ENTRY LYZ (Right lane) cDNA for 48 hrs and lysed. Equivalent amounts of cell lysates (5 ug per lane) were separated by SDS-PAGE and immunoblotted with anti-LYZ(Cat# M01811-1).

Immunohistochemical staining of paraffin-embedded Human pancreas tissue within the normal limits using anti-LYZ mouse monoclonal antibody. (Heat-induced epitope retrieval by 10mM citric buffer, pH6.0, 120°C for 3min, M01811-1)

