| Western blot (WB): | 1:1000-5000 |
| Immunohistochemistry (IHC): | 1:50-200 |
| Immunocytochemistry/Immunofluorescence (ICC/IF): | 1:50-200 |
| ImmunoPrecipitation (IP): | 1:20 |

Western blot analysis of anti-Lysozyme/LYZ antibody (BM4383). The sample well of each lane was loaded with 30 ug of sample under reducing conditions.
Lane 1: human HL-60 whole cell lysates,
Lane 2: human U937 whole cell lysates,
Lane 3: human RAW264.7 whole cell lysates.
After electrophoresis, proteins were transferred to a membrane. Then the membrane was incubated with rabbit anti-Lysozyme/LYZ antigen affinity purified monoclonal antibody (BM4383) and probed with a goat anti-rabbit IgG-HRP secondary antibody (Catalog # BA1054). The signal is developed using ECL Plus Western Blotting Substrate (Catalog # AR1197). A specific band was detected for Lysozyme/LYZ at approximately 15 kDa. The expected band size for Lysozyme/LYZ is at 17 kDa.

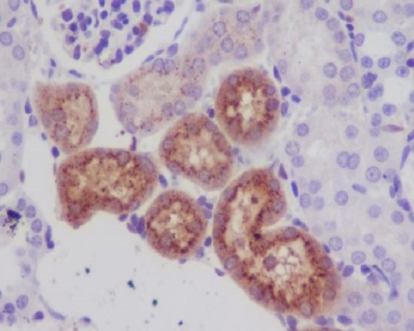
Immunohistochemical analysis of paraffin-embedded mouse kidney, using Lysozyme Antibody.

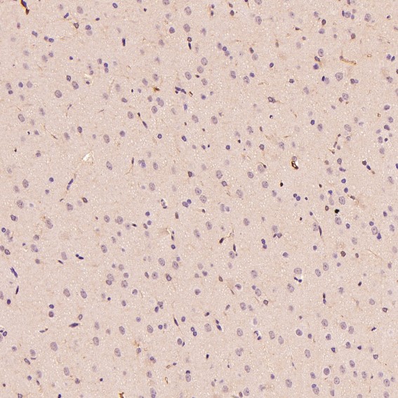
Immunohistochemical analysis of paraffin-embedded Rat cerebral cortex, using the Antibody at 1:2000 dilution.

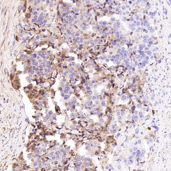
Immunohistochemical analysis of paraffin-embedded Human thyroid cancer, using the Antibody at 1:4000 dilution.

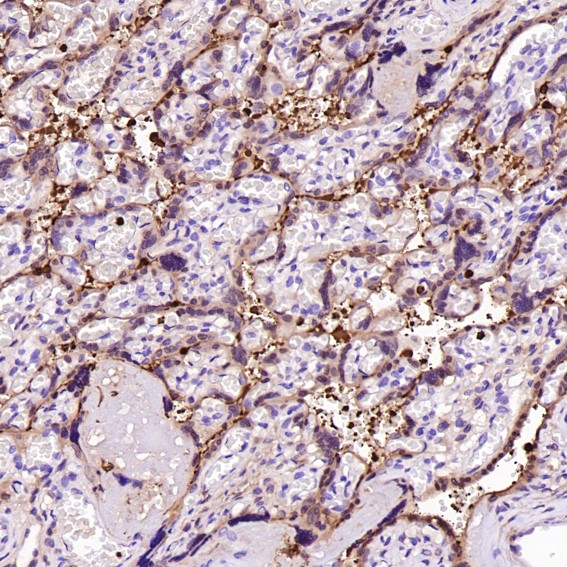
Immunohistochemical analysis of paraffin-embedded Human placenta, using the Antibody at 1:4000 dilution.

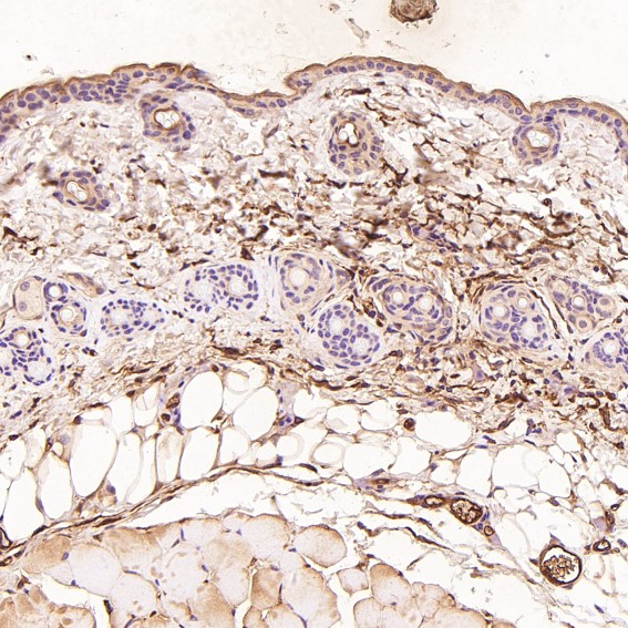
Immunohistochemical analysis of paraffin-embedded Mouse skin, using the Antibody at 1:2000 dilution.

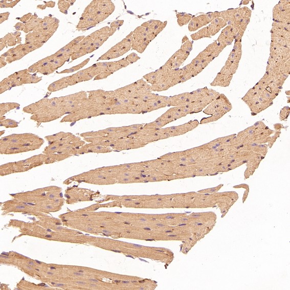
Immunohistochemical analysis of paraffin-embedded Mouse heart, using the Antibody at 1:2000 dilution.

Immunofluorescent analysis using the Antibody at 1:50 dilution.

Western blot analysis of anti-Lysozyme/LYZ antibody (BM4383). The sample well of each lane was loaded with 30 ug of sample under reducing conditions.
Lane 1: human HL-60 whole cell lysates,
Lane 2: human U937 whole cell lysates,
Lane 3: human RAW264.7 whole cell lysates.
After electrophoresis, proteins were transferred to a membrane. Then the membrane was incubated with rabbit anti-Lysozyme/LYZ antigen affinity purified monoclonal antibody (BM4383) and probed with a goat anti-rabbit IgG-HRP secondary antibody (Catalog # BA1054). The signal is developed using ECL Plus Western Blotting Substrate (Catalog # AR1197). A specific band was detected for Lysozyme/LYZ at approximately 15 kDa. The expected band size for Lysozyme/LYZ is at 17 kDa.

Immunohistochemical analysis of paraffin-embedded mouse kidney, using Lysozyme Antibody.

Immunohistochemical analysis of paraffin-embedded Rat cerebral cortex, using the Antibody at 1:2000 dilution.

Immunohistochemical analysis of paraffin-embedded Human thyroid cancer, using the Antibody at 1:4000 dilution.

Immunohistochemical analysis of paraffin-embedded Human placenta, using the Antibody at 1:4000 dilution.

Immunohistochemical analysis of paraffin-embedded Mouse skin, using the Antibody at 1:2000 dilution.

Immunohistochemical analysis of paraffin-embedded Mouse heart, using the Antibody at 1:2000 dilution.

Immunofluorescent analysis using the Antibody at 1:50 dilution.







