| Western blot (WB): | 1:500-2000 |
| Immunohistochemistry (IHC): | 1:50-400 |
| (Boiling the paraffin sections in 10mM citrate buffer,pH6.0,or PH8.0 EDTA repair liquid for 20 mins is required for the staining of formalin/paraffin sections.) Optimal working dilutions must be determined by end user. | |

Western blot analysis of anti-PTK2 antibody (PB0662). The sample well of each lane was loaded with 30 ug of sample under reducing conditions.
Lane 1: human Hela whole cell lysates,
Lane 2: human PC-3 whole cell lysates.
Lane 3: human K562 whole cell lysates,
Lane 4: human A431 whole cell lysates,
Lane 5: human A549 whole cell lysates,
Lane 6: human HepG2 whole cell lysates,
Lane 7: rat brain tissue lysates,
Lane 8: rat C6 whole cell lysates,
Lane 9: mouse lung tissue lysates,
Lane 10: mouse brain tissue lysates,
Lane 11: mouse RAW264.7 whole cell lysates,
Lane 12: mouse NIH/3T3 whole cell lysates.
After electrophoresis, proteins were transferred to a membrane. Then the membrane was incubated with rabbit anti-PTK2 antigen affinity purified polyclonal antibody (PB0662) and probed with a goat anti-rabbit IgG-HRP secondary antibody (Catalog # BA1054). The signal is developed using ECL Plus Western Blotting Substrate (Catalog # AR1197). A specific band was detected for PTK2 at approximately 125 kDa. The expected band size for PTK2 is at 119 kDa.

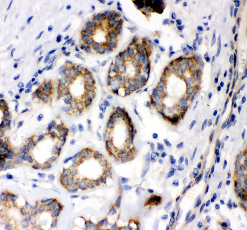
IHC analysis of FAK/PTK2 using anti-FAK/PTK2 antibody (PB0662).
FAK/PTK2 was detected in a paraffin-embedded section of human breast cancer tissue. The tissue section was incubated with rabbit anti-FAK/PTK2 Antibody (PB0662) at a dilution of 1:200 and developed using HRP Conjugated Rabbit IgG Super Vision Assay Kit (Catalog # SV0002) with DAB (Catalog # AR1027) as the chromogen.

Western blot analysis of anti-PTK2 antibody (PB0662). The sample well of each lane was loaded with 30 ug of sample under reducing conditions.
Lane 1: human Hela whole cell lysates,
Lane 2: human PC-3 whole cell lysates.
Lane 3: human K562 whole cell lysates,
Lane 4: human A431 whole cell lysates,
Lane 5: human A549 whole cell lysates,
Lane 6: human HepG2 whole cell lysates,
Lane 7: rat brain tissue lysates,
Lane 8: rat C6 whole cell lysates,
Lane 9: mouse lung tissue lysates,
Lane 10: mouse brain tissue lysates,
Lane 11: mouse RAW264.7 whole cell lysates,
Lane 12: mouse NIH/3T3 whole cell lysates.
After electrophoresis, proteins were transferred to a membrane. Then the membrane was incubated with rabbit anti-PTK2 antigen affinity purified polyclonal antibody (PB0662) and probed with a goat anti-rabbit IgG-HRP secondary antibody (Catalog # BA1054). The signal is developed using ECL Plus Western Blotting Substrate (Catalog # AR1197). A specific band was detected for PTK2 at approximately 125 kDa. The expected band size for PTK2 is at 119 kDa.

IHC analysis of FAK/PTK2 using anti-FAK/PTK2 antibody (PB0662).
FAK/PTK2 was detected in a paraffin-embedded section of human breast cancer tissue. The tissue section was incubated with rabbit anti-FAK/PTK2 Antibody (PB0662) at a dilution of 1:200 and developed using HRP Conjugated Rabbit IgG Super Vision Assay Kit (Catalog # SV0002) with DAB (Catalog # AR1027) as the chromogen.

