| Western blot (WB): | 1:500-2000 |
| Immunohistochemistry (IHC): | 1:50-400 |
| ELISA: | 1:100-1000 |
| (Boiling the paraffin sections in 10mM citrate buffer,pH6.0,or PH8.0 EDTA repair liquid for 20 mins is required for the staining of formalin/paraffin sections.) Optimal working dilutions must be determined by end user. | |

Western blot analysis of CEA/CEACAM5 using anti-CEA/CEACAM5 antibody (A00356). The sample well of each lane was loaded with 30 ug of sample under reducing conditions.
Lane 1: human SW620 whole cell lysates,
Lane 2: human Caco-2 whole cell lysates.
After electrophoresis, proteins were transferred to a membrane. Then the membrane was incubated with rabbit anti-CEA/CEACAM5 antigen affinity purified polyclonal antibody (A00356) at a dilution of 1:1000 and probed with a goat anti-rabbit IgG-HRP secondary antibody (Catalog # BA1054). The signal is developed using ECL Plus Western Blotting Substrate (Catalog # AR1197). A specific band was detected for CEA/CEACAM5 at approximately 130-200 kDa. The expected band size for CEA/CEACAM5 is at 77 kDa.

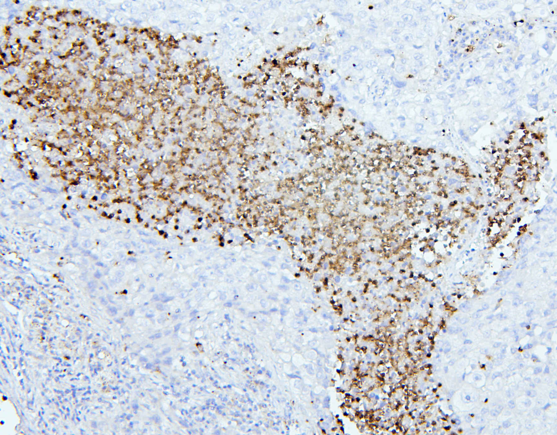
IHC analysis of CEA/CEACAM5 using anti-CEA/CEACAM5 antibody (A00356).
CEA/CEACAM5 was detected in a paraffin-embedded section of human colon cancer tissue. Biotinylated goat anti-rabbit IgG was used as secondary antibody. The tissue section was incubated with rabbit anti-CEA/CEACAM5 Antibody (A00356) at a dilution of 1:200 and developed using Strepavidin-Biotin-Complex (SABC) (Catalog # SA1022) with DAB (Catalog # AR1027) as the chromogen.

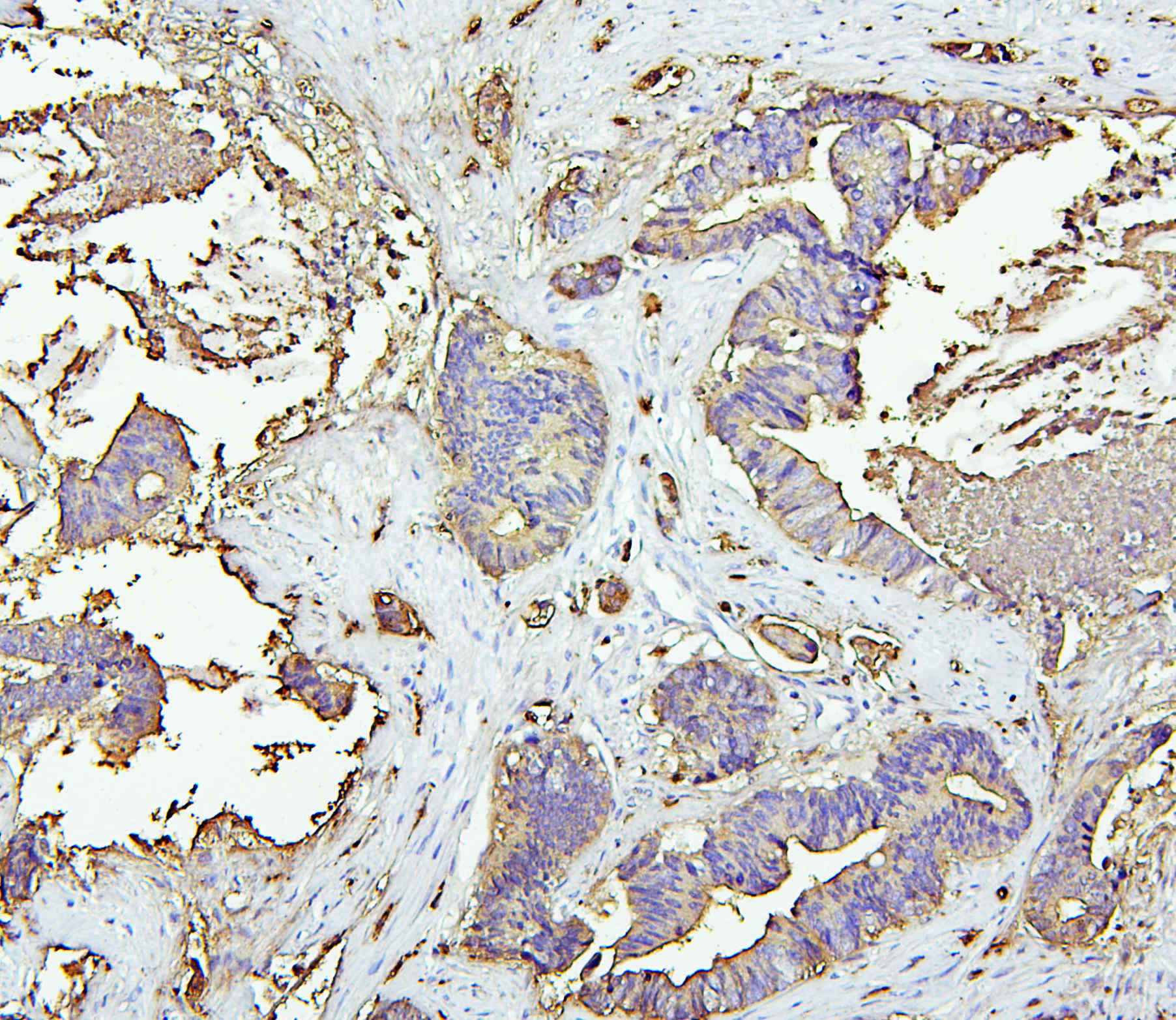
IHC analysis of CEA/CEACAM5 using anti-CEA/CEACAM5 antibody (A00356).
CEA/CEACAM5 was detected in a paraffin-embedded section of human colon cancer tissue. Biotinylated goat anti-rabbit IgG was used as secondary antibody. The tissue section was incubated with rabbit anti-CEA/CEACAM5 Antibody (A00356) at a dilution of 1:200 and developed using Strepavidin-Biotin-Complex (SABC) (Catalog # SA1022) with DAB (Catalog # AR1027) as the chromogen.

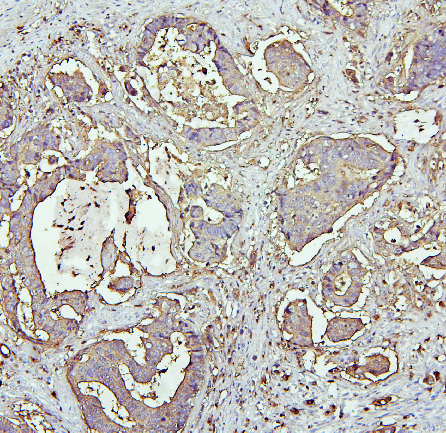
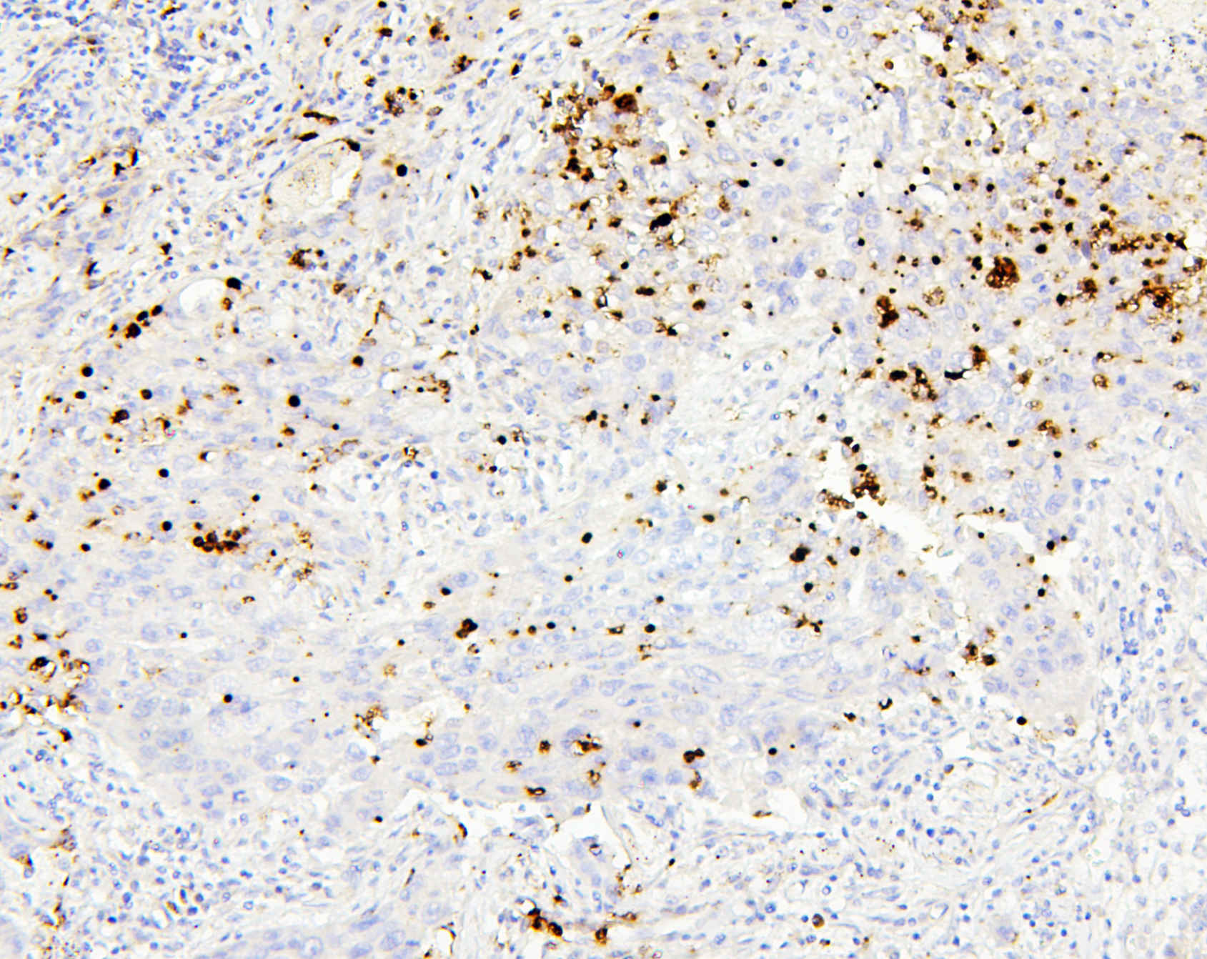
IHC analysis of CEA/CEACAM5 using anti-CEA/CEACAM5 antibody (A00356).
CEA/CEACAM5 was detected in a paraffin-embedded section of human intestinal cancer tissue. Biotinylated goat anti-rabbit IgG was used as secondary antibody. The tissue section was incubated with rabbit anti-CEA/CEACAM5 Antibody (A00356) at a dilution of 1:200 and developed using Strepavidin-Biotin-Complex (SABC) (Catalog # SA1022) with DAB (Catalog # AR1027) as the chromogen.

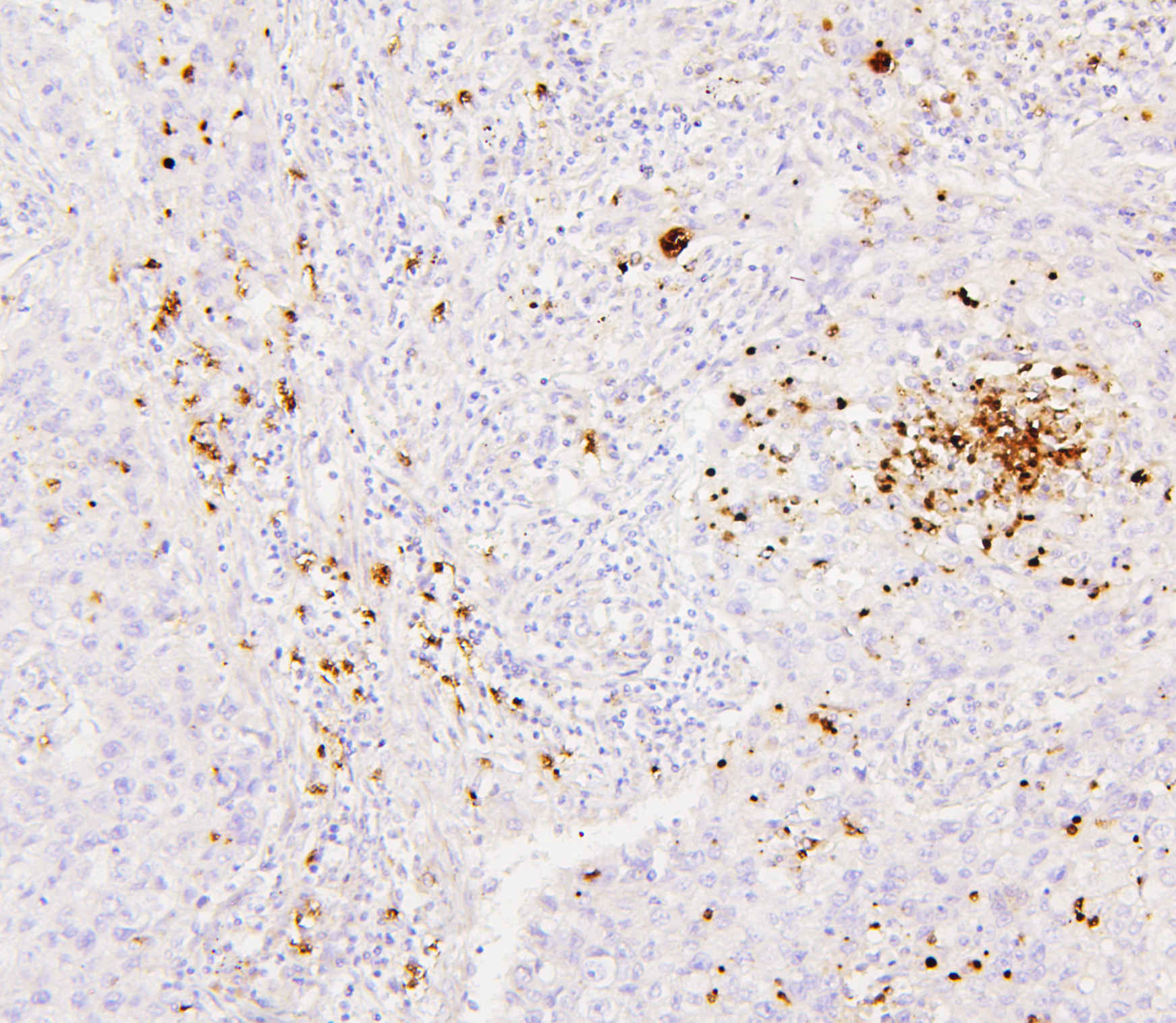
IHC analysis of CEA/CEACAM5 using anti-CEA/CEACAM5 antibody (A00356).
CEA/CEACAM5 was detected in a paraffin-embedded section of human lung cancer tissue. Biotinylated goat anti-rabbit IgG was used as secondary antibody. The tissue section was incubated with rabbit anti-CEA/CEACAM5 Antibody (A00356) at a dilution of 1:200 and developed using Strepavidin-Biotin-Complex (SABC) (Catalog # SA1022) with DAB (Catalog # AR1027) as the chromogen.

IHC analysis of CEA/CEACAM5 using anti-CEA/CEACAM5 antibody (A00356).
CEA/CEACAM5 was detected in a paraffin-embedded section of human lung cancer tissue. Biotinylated goat anti-rabbit IgG was used as secondary antibody. The tissue section was incubated with rabbit anti-CEA/CEACAM5 Antibody (A00356) at a dilution of 1:200 and developed using Strepavidin-Biotin-Complex (SABC) (Catalog # SA1022) with DAB (Catalog # AR1027) as the chromogen.

IHC analysis of CEA/CEACAM5 using anti-CEA/CEACAM5 antibody (A00356).
CEA/CEACAM5 was detected in a paraffin-embedded section of human lung cancer tissue. Biotinylated goat anti-rabbit IgG was used as secondary antibody. The tissue section was incubated with rabbit anti-CEA/CEACAM5 Antibody (A00356) at a dilution of 1:200 and developed using Strepavidin-Biotin-Complex (SABC) (Catalog # SA1022) with DAB (Catalog # AR1027) as the chromogen.

IHC analysis of CEA/CEACAM5 using anti-CEA/CEACAM5 antibody (A00356).
CEA/CEACAM5 was detected in a paraffin-embedded section of mouse intestine tissue. Biotinylated goat anti-rabbit IgG was used as secondary antibody. The tissue section was incubated with rabbit anti-CEA/CEACAM5 Antibody (A00356) at a dilution of 1:200 and developed using Strepavidin-Biotin-Complex (SABC) (Catalog # SA1022) with DAB (Catalog # AR1027) as the chromogen.

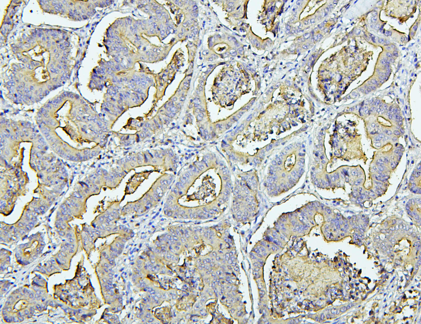
IHC analysis of CEA/CEACAM5 using anti-CEA/CEACAM5 antibody (A00356).
CEA/CEACAM5 was detected in a paraffin-embedded section of rat intestine tissue. Biotinylated goat anti-rabbit IgG was used as secondary antibody. The tissue section was incubated with rabbit anti-CEA/CEACAM5 Antibody (A00356) at a dilution of 1:200 and developed using Strepavidin-Biotin-Complex (SABC) (Catalog # SA1022) with DAB (Catalog # AR1027) as the chromogen.

Western blot analysis of CEA/CEACAM5 using anti-CEA/CEACAM5 antibody (A00356). The sample well of each lane was loaded with 30 ug of sample under reducing conditions.
Lane 1: human SW620 whole cell lysates,
Lane 2: human Caco-2 whole cell lysates.
After electrophoresis, proteins were transferred to a membrane. Then the membrane was incubated with rabbit anti-CEA/CEACAM5 antigen affinity purified polyclonal antibody (A00356) at a dilution of 1:1000 and probed with a goat anti-rabbit IgG-HRP secondary antibody (Catalog # BA1054). The signal is developed using ECL Plus Western Blotting Substrate (Catalog # AR1197). A specific band was detected for CEA/CEACAM5 at approximately 130-200 kDa. The expected band size for CEA/CEACAM5 is at 77 kDa.

IHC analysis of CEA/CEACAM5 using anti-CEA/CEACAM5 antibody (A00356).
CEA/CEACAM5 was detected in a paraffin-embedded section of human colon cancer tissue. Biotinylated goat anti-rabbit IgG was used as secondary antibody. The tissue section was incubated with rabbit anti-CEA/CEACAM5 Antibody (A00356) at a dilution of 1:200 and developed using Strepavidin-Biotin-Complex (SABC) (Catalog # SA1022) with DAB (Catalog # AR1027) as the chromogen.

IHC analysis of CEA/CEACAM5 using anti-CEA/CEACAM5 antibody (A00356).
CEA/CEACAM5 was detected in a paraffin-embedded section of human colon cancer tissue. Biotinylated goat anti-rabbit IgG was used as secondary antibody. The tissue section was incubated with rabbit anti-CEA/CEACAM5 Antibody (A00356) at a dilution of 1:200 and developed using Strepavidin-Biotin-Complex (SABC) (Catalog # SA1022) with DAB (Catalog # AR1027) as the chromogen.

IHC analysis of CEA/CEACAM5 using anti-CEA/CEACAM5 antibody (A00356).
CEA/CEACAM5 was detected in a paraffin-embedded section of human intestinal cancer tissue. Biotinylated goat anti-rabbit IgG was used as secondary antibody. The tissue section was incubated with rabbit anti-CEA/CEACAM5 Antibody (A00356) at a dilution of 1:200 and developed using Strepavidin-Biotin-Complex (SABC) (Catalog # SA1022) with DAB (Catalog # AR1027) as the chromogen.

IHC analysis of CEA/CEACAM5 using anti-CEA/CEACAM5 antibody (A00356).
CEA/CEACAM5 was detected in a paraffin-embedded section of human lung cancer tissue. Biotinylated goat anti-rabbit IgG was used as secondary antibody. The tissue section was incubated with rabbit anti-CEA/CEACAM5 Antibody (A00356) at a dilution of 1:200 and developed using Strepavidin-Biotin-Complex (SABC) (Catalog # SA1022) with DAB (Catalog # AR1027) as the chromogen.

IHC analysis of CEA/CEACAM5 using anti-CEA/CEACAM5 antibody (A00356).
CEA/CEACAM5 was detected in a paraffin-embedded section of human lung cancer tissue. Biotinylated goat anti-rabbit IgG was used as secondary antibody. The tissue section was incubated with rabbit anti-CEA/CEACAM5 Antibody (A00356) at a dilution of 1:200 and developed using Strepavidin-Biotin-Complex (SABC) (Catalog # SA1022) with DAB (Catalog # AR1027) as the chromogen.

IHC analysis of CEA/CEACAM5 using anti-CEA/CEACAM5 antibody (A00356).
CEA/CEACAM5 was detected in a paraffin-embedded section of human lung cancer tissue. Biotinylated goat anti-rabbit IgG was used as secondary antibody. The tissue section was incubated with rabbit anti-CEA/CEACAM5 Antibody (A00356) at a dilution of 1:200 and developed using Strepavidin-Biotin-Complex (SABC) (Catalog # SA1022) with DAB (Catalog # AR1027) as the chromogen.

IHC analysis of CEA/CEACAM5 using anti-CEA/CEACAM5 antibody (A00356).
CEA/CEACAM5 was detected in a paraffin-embedded section of mouse intestine tissue. Biotinylated goat anti-rabbit IgG was used as secondary antibody. The tissue section was incubated with rabbit anti-CEA/CEACAM5 Antibody (A00356) at a dilution of 1:200 and developed using Strepavidin-Biotin-Complex (SABC) (Catalog # SA1022) with DAB (Catalog # AR1027) as the chromogen.

IHC analysis of CEA/CEACAM5 using anti-CEA/CEACAM5 antibody (A00356).
CEA/CEACAM5 was detected in a paraffin-embedded section of rat intestine tissue. Biotinylated goat anti-rabbit IgG was used as secondary antibody. The tissue section was incubated with rabbit anti-CEA/CEACAM5 Antibody (A00356) at a dilution of 1:200 and developed using Strepavidin-Biotin-Complex (SABC) (Catalog # SA1022) with DAB (Catalog # AR1027) as the chromogen.










