| Western blot (WB): | 1:500-2000 |
| Immunohistochemistry (IHC): | 1:50-400 |
| Enzyme linked immunosorbent assay (ELISA): | 1:100-1000 |
| (Boiling the paraffin sections in 10mM citrate buffer,pH6.0,or PH8.0 EDTA repair liquid for 20 mins is required for the staining of formalin/paraffin sections.) Optimal working dilutions must be determined by end user. | |

Western blot analysis of CEA/CEACAM5 using anti-CEA/CEACAM5 antibody (BA10024). The sample well of each lane was loaded with 30 ug of sample under reducing conditions.
Lane 1: human SW620 whole cell lysates,
Lane 2: human Caco-2 whole cell lysates,
Lane 3: mouse small intestine tissue lysates,
Lane 4: mouse stomach tissue lysates,
Lane 5: mouse lung tissue lysates,
Lane 6: mouse liver tissue lysates,
Lane 7: mouse NIH/3T3 whole cell lysates,
Lane 8: mouse HEPA1-6 whole cell lysates,
Lane 9: mouse SP20 whole cell lysates,
Lane 10: rat RH35 whole cell lysates.
After electrophoresis, proteins were transferred to a membrane. Then the membrane was incubated with rabbit anti-CEA/CEACAM5 antigen affinity purified polyclonal antibody (BA10024) at a dilution of 1:1000 and probed with a goat anti-rabbit IgG-HRP secondary antibody (Catalog # BA1054). The signal is developed using ECL Plus Western Blotting Substrate (Catalog # AR1197). A specific band was detected for CEA/CEACAM5 at approximately 130-200 kDa. The expected band size for CEA/CEACAM5 is at 77 kDa.

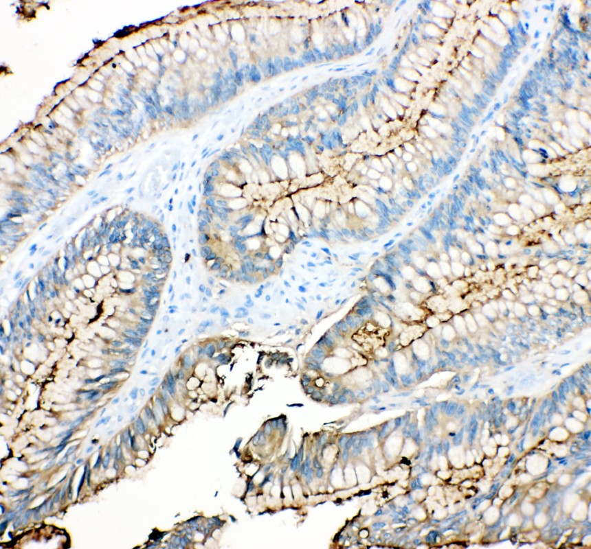
IHC analysis of CEA/CEACAM5 using anti-CEA/CEACAM5 antibody (BA10024) .
CEA/CEACAM5 was detected in a paraffin-embedded section of human colon cancer tissue. The tissue section was incubated with rabbit anti-CEA/CEACAM5 Antibody (BA10024) at a dilution of 1:200 and developed using HRP Conjugated Rabbit IgG Super Vision Assay Kit (Catalog # SV0002) with DAB (Catalog # AR1027) as the chromogen.

Western blot analysis of CEA/CEACAM5 using anti-CEA/CEACAM5 antibody (BA10024). The sample well of each lane was loaded with 30 ug of sample under reducing conditions.
Lane 1: human SW620 whole cell lysates,
Lane 2: human Caco-2 whole cell lysates,
Lane 3: mouse small intestine tissue lysates,
Lane 4: mouse stomach tissue lysates,
Lane 5: mouse lung tissue lysates,
Lane 6: mouse liver tissue lysates,
Lane 7: mouse NIH/3T3 whole cell lysates,
Lane 8: mouse HEPA1-6 whole cell lysates,
Lane 9: mouse SP20 whole cell lysates,
Lane 10: rat RH35 whole cell lysates.
After electrophoresis, proteins were transferred to a membrane. Then the membrane was incubated with rabbit anti-CEA/CEACAM5 antigen affinity purified polyclonal antibody (BA10024) at a dilution of 1:1000 and probed with a goat anti-rabbit IgG-HRP secondary antibody (Catalog # BA1054). The signal is developed using ECL Plus Western Blotting Substrate (Catalog # AR1197). A specific band was detected for CEA/CEACAM5 at approximately 130-200 kDa. The expected band size for CEA/CEACAM5 is at 77 kDa.

IHC analysis of CEA/CEACAM5 using anti-CEA/CEACAM5 antibody (BA10024) .
CEA/CEACAM5 was detected in a paraffin-embedded section of human colon cancer tissue. The tissue section was incubated with rabbit anti-CEA/CEACAM5 Antibody (BA10024) at a dilution of 1:200 and developed using HRP Conjugated Rabbit IgG Super Vision Assay Kit (Catalog # SV0002) with DAB (Catalog # AR1027) as the chromogen.



