| Western blot (WB): | 1:500-2000 |
| Immunohistochemistry (IHC): | 1:50-400 |
| Immunofluorescence (IF): | 1:50-400 |
| Flow Cytometry (Fixed): | 1:50-200 |
| Enzyme linked immunosorbent assay (ELISA): | 1:100-1000 |
| (Boiling the paraffin sections in 10mM citrate buffer,pH6.0,or PH8.0 EDTA repair liquid for 20 mins is required for the staining of formalin/paraffin sections.) Optimal working dilutions must be determined by end user. | |

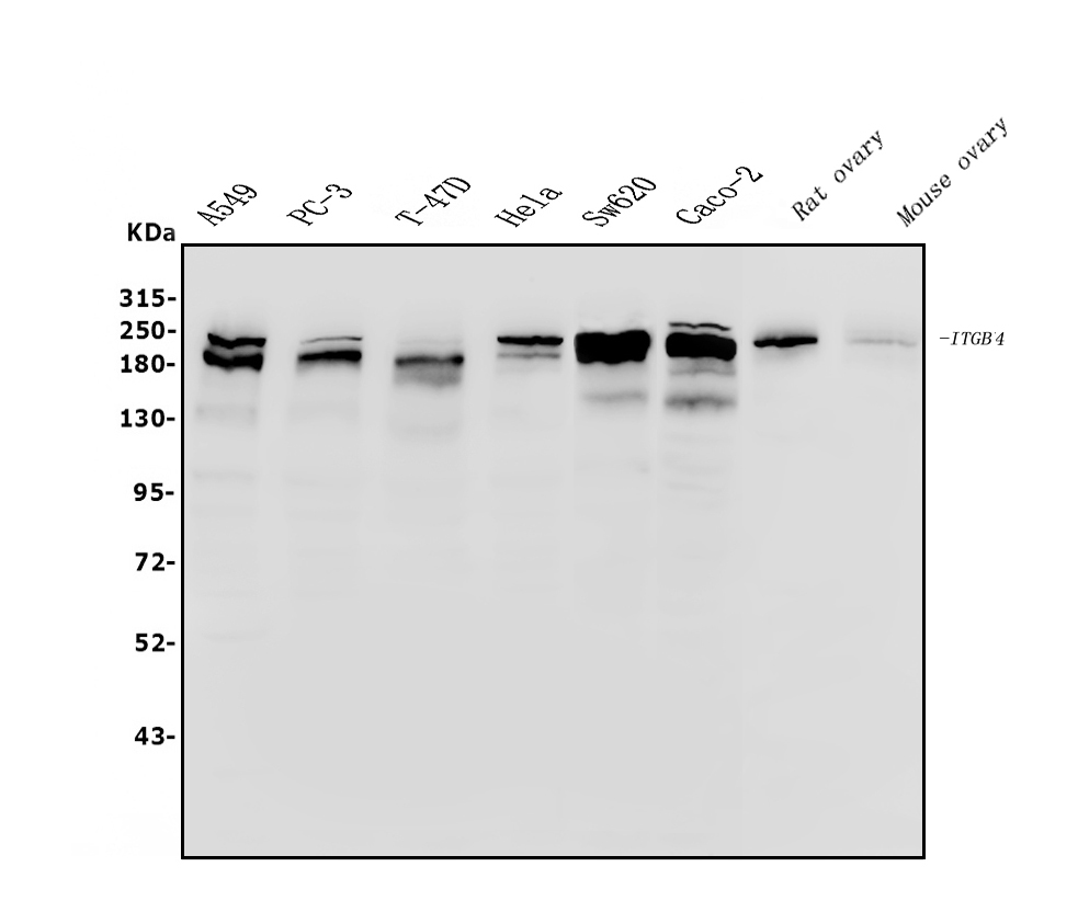
Western blot analysis of Integrin Beta 4/ITGB4 using anti-Integrin Beta 4/ITGB4 antibody (A01015-2). The sample well of each lane was loaded with 30 ug of sample under reducing conditions.
Lane 1: human A549 whole cell lysates,
Lane 2: human PC-3 whole cell lysates,
Lane 3: human T-47D whole cell lysates,
Lane 4: human HELA whole cell lysates,
Lane 5: human SW620 whole cell lysates,
Lane 6: human CACO-2 whole cell lysates,
Lane 7: Rat ovary tissue lysates,
Lane 8: Mouse ovary tissue lysates.
After electrophoresis, proteins were transferred to a membrane. Then the membrane was incubated with rabbit anti-Integrin Beta 4/ITGB4 antigen affinity purified polyclonal antibody (A01015-2) at a dilution of 1:1000 and probed with a goat anti-rabbit IgG-HRP secondary antibody (Catalog # BA1054). The signal is developed using ECL Plus Western Blotting Substrate (Catalog # AR1197). A specific band was detected for Integrin Beta 4/ITGB4 at approximately 210 kDa. The expected band size for Integrin Beta 4/ITGB4 is at 202 kDa.

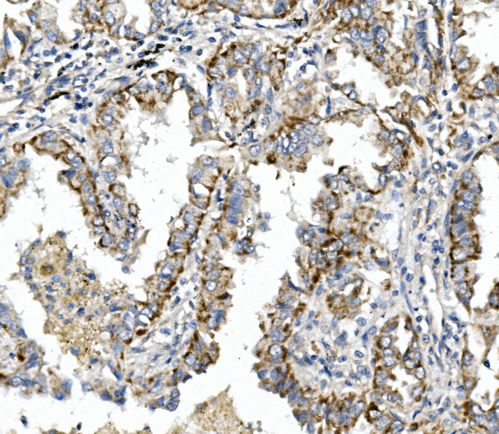
IHC analysis of Integrin Beta 4/ITGB4 using anti-Integrin Beta 4/ITGB4 antibody (A01015-2).
Integrin Beta 4/ITGB4 was detected in a paraffin-embedded section of human lung cancer tissue. Biotinylated goat anti-rabbit IgG was used as secondary antibody. The tissue section was incubated with rabbit anti-Integrin Beta 4/ITGB4 Antibody (A01015-2) at a dilution of 1:200 and developed using Strepavidin-Biotin-Complex (SABC) (Catalog # SA1022) with DAB (Catalog # AR1027) as the chromogen.

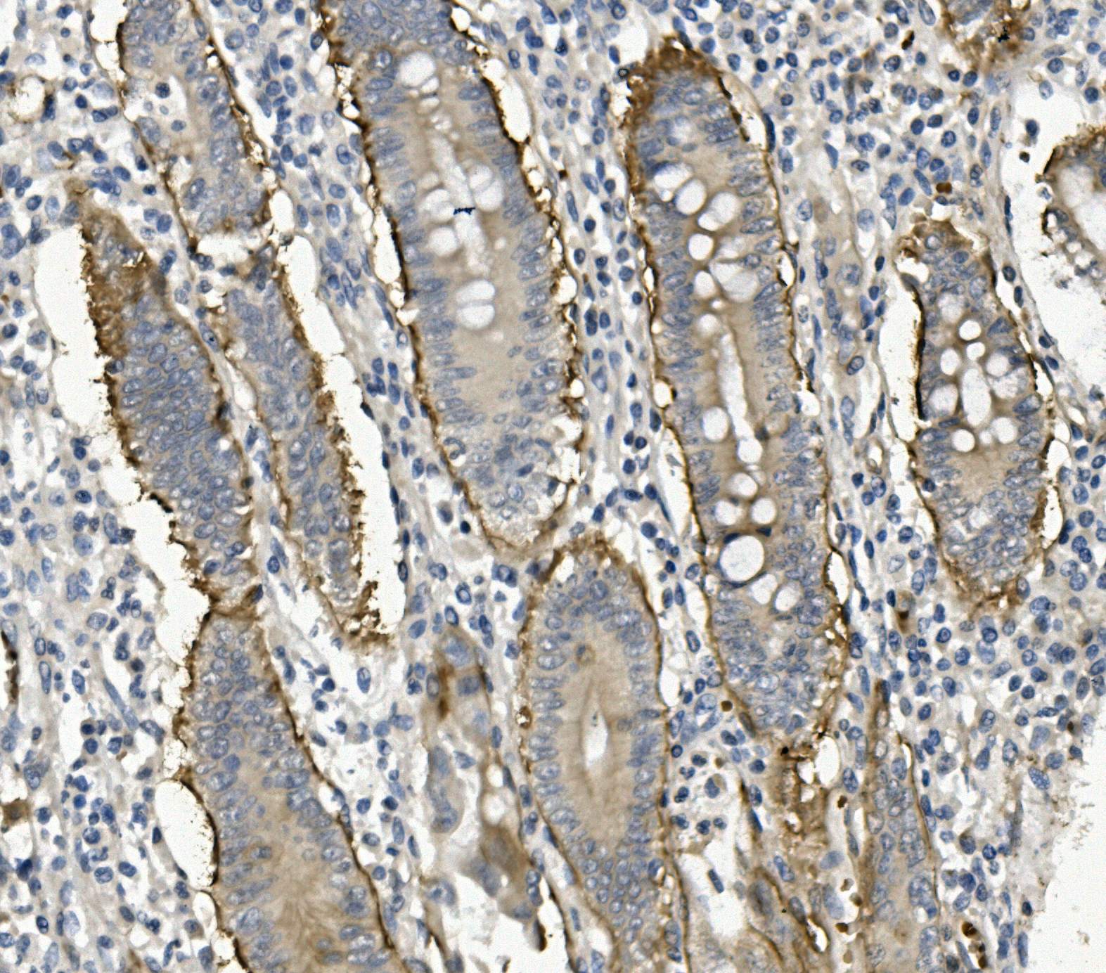
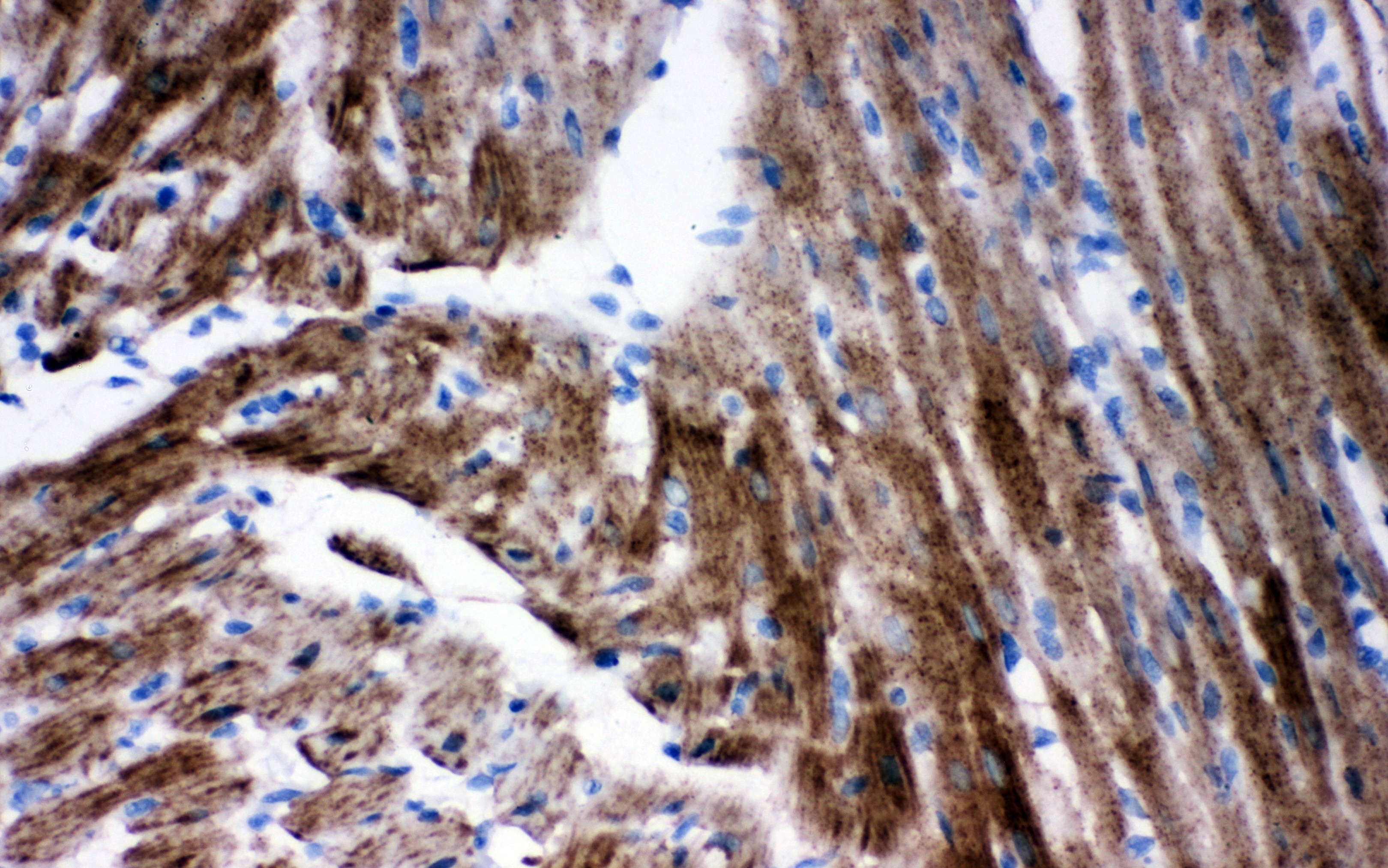
IHC analysis of Integrin Beta 4/ITGB4 using anti-Integrin Beta 4/ITGB4 antibody (A01015-2).
Integrin Beta 4/ITGB4 was detected in a paraffin-embedded section of human rectal cancer tissue. Biotinylated goat anti-rabbit IgG was used as secondary antibody. The tissue section was incubated with rabbit anti-Integrin Beta 4/ITGB4 Antibody (A01015-2) at a dilution of 1:200 and developed using Strepavidin-Biotin-Complex (SABC) (Catalog # SA1022) with DAB (Catalog # AR1027) as the chromogen.

IF analysis using anti-ITGB4 antibody (A01015-2) . detected in paraffin-embedded section of human intestinal cancer tissue. The tissue section were stained using the Fluoro488 conjugated Anti-rabbit IgG Secondary Antibody (green)(Catalog®#®BA1127) and counterstained with DAPI (blue).

Flow Cytometry analysis of Raji cells using anti-Integrin Beta 4/ITGB4 antibody (A01015-2).
Overlay histogram showing Raji cells stained with A01015-2 (Blue line). The cells were fixed with 4% paraformaldehyde and blocked with 10% normal goat serum. And then incubated with rabbit anti-Integrin Beta 4/ITGB4 Antibody (A01015-2) at 1:100 dilution for 30 min at 20°C. Fluoro488 conjugated goat anti-rabbit IgG (BA1127) was used as secondary antibody at 1:100 dilution for 30 minutes at 20°C. Isotype control antibody (Green line) was rabbit IgG at 1:100 dilution used under the same conditions. Unlabelled sample without incubation with primary antibody and secondary antibody (Red line) was used as a blank control.

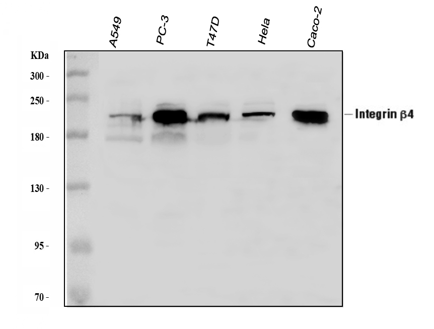
Western blot analysis of Integrin Beta 4/ITGB4 using anti-Integrin Beta 4/ITGB4 antibody (A01015-2). The sample well of each lane was loaded with 30 ug of sample under reducing conditions.
Lane 1: human A549 whole cell lysates,
Lane 2: human PC-3 whole cell lysates,
Lane 3: human T-47D whole cell lysates,
Lane 4: human HELA whole cell lysates,
Lane 5: human SW620 whole cell lysates,
Lane 6: human CACO-2 whole cell lysates,
Lane 7: Rat ovary tissue lysates,
Lane 8: Mouse ovary tissue lysates.
After electrophoresis, proteins were transferred to a membrane. Then the membrane was incubated with rabbit anti-Integrin Beta 4/ITGB4 antigen affinity purified polyclonal antibody (A01015-2) at a dilution of 1:1000 and probed with a goat anti-rabbit IgG-HRP secondary antibody (Catalog # BA1054). The signal is developed using ECL Plus Western Blotting Substrate (Catalog # AR1197). A specific band was detected for Integrin Beta 4/ITGB4 at approximately 210 kDa. The expected band size for Integrin Beta 4/ITGB4 is at 202 kDa.

IHC analysis of Integrin Beta 4/ITGB4 using anti-Integrin Beta 4/ITGB4 antibody (A01015-2).
Integrin Beta 4/ITGB4 was detected in a paraffin-embedded section of human lung cancer tissue. Biotinylated goat anti-rabbit IgG was used as secondary antibody. The tissue section was incubated with rabbit anti-Integrin Beta 4/ITGB4 Antibody (A01015-2) at a dilution of 1:200 and developed using Strepavidin-Biotin-Complex (SABC) (Catalog # SA1022) with DAB (Catalog # AR1027) as the chromogen.

IHC analysis of Integrin Beta 4/ITGB4 using anti-Integrin Beta 4/ITGB4 antibody (A01015-2).
Integrin Beta 4/ITGB4 was detected in a paraffin-embedded section of human rectal cancer tissue. Biotinylated goat anti-rabbit IgG was used as secondary antibody. The tissue section was incubated with rabbit anti-Integrin Beta 4/ITGB4 Antibody (A01015-2) at a dilution of 1:200 and developed using Strepavidin-Biotin-Complex (SABC) (Catalog # SA1022) with DAB (Catalog # AR1027) as the chromogen.

IF analysis using anti-ITGB4 antibody (A01015-2) . detected in paraffin-embedded section of human intestinal cancer tissue. The tissue section were stained using the Fluoro488 conjugated Anti-rabbit IgG Secondary Antibody (green)(Catalog®#®BA1127) and counterstained with DAPI (blue).

Flow Cytometry analysis of Raji cells using anti-Integrin Beta 4/ITGB4 antibody (A01015-2).
Overlay histogram showing Raji cells stained with A01015-2 (Blue line). The cells were fixed with 4% paraformaldehyde and blocked with 10% normal goat serum. And then incubated with rabbit anti-Integrin Beta 4/ITGB4 Antibody (A01015-2) at 1:100 dilution for 30 min at 20°C. Fluoro488 conjugated goat anti-rabbit IgG (BA1127) was used as secondary antibody at 1:100 dilution for 30 minutes at 20°C. Isotype control antibody (Green line) was rabbit IgG at 1:100 dilution used under the same conditions. Unlabelled sample without incubation with primary antibody and secondary antibody (Red line) was used as a blank control.






