| Western blot (WB): | 1:500-2000 |
| Immunohistochemistry (IHC): | 1:50-400 |
| Immunofluorescence (IF): | 1:50-400 |
| Flow Cytometry (Fixed): | 1:50-200 |
| (Boiling the paraffin sections in 10mM citrate buffer,pH6.0,or PH8.0 EDTA repair liquid for 29 mins is required for the staining of formalin/paraffin sections.) Optimal working dilutions must be determined by end user. | |

Western blot analysis of anti- ITGB4 antibody (PB9007). The sample well of each lane was loaded with 30ug of sample under reducing conditions.
Lane 1: human A549 whole cell lysates,
Lane 2: human PC-3 whole cell lysates,
Lane 3: human T-47D whole cell lysates,
Lane 4: human Hela whole cell lysates,
Lane 5: human Caco-2 whole cell lysates.
Use rabbit anti- ITGB4 1:1000, probed with a goat anti-rabbit IgG-HRP secondary antibody. The signal is developed using an Enhanced Chemiluminescent detection (ECL) kit (Catalog#EK1002). A specific band was detected for ITGB4 at approximately 210KD. The expected band size for ITGB4 is at 202KD.

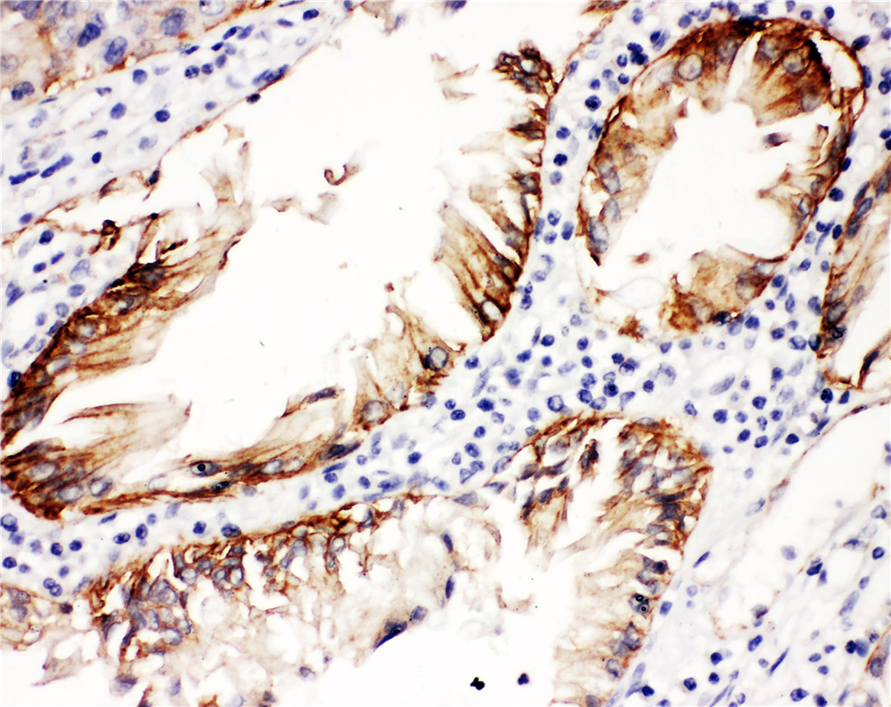
IHC analysis of Integrin Beta 4/ITGB4 using anti-Integrin Beta 4/ITGB4 antibody (PB9007).
Integrin Beta 4/ITGB4 was detected in a paraffin-embedded section of human intestinal cancer tissue. Biotinylated goat anti-rabbit IgG was used as secondary antibody. The tissue section was incubated with rabbit anti-Integrin Beta 4/ITGB4 Antibody (PB9007) at a dilution of 1:200 and developed using Strepavidin-Biotin-Complex (SABC) (Catalog # SA1022) with DAB (Catalog # AR1027) as the chromogen.

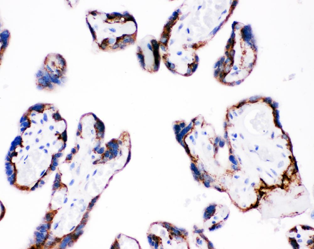
IHC analysis of Integrin Beta 4/ITGB4 using anti-Integrin Beta 4/ITGB4 antibody (PB9007).
Integrin Beta 4/ITGB4 was detected in a paraffin-embedded section of human placenta tissue. Biotinylated goat anti-rabbit IgG was used as secondary antibody. The tissue section was incubated with rabbit anti-Integrin Beta 4/ITGB4 Antibody (PB9007) at a dilution of 1:200 and developed using Strepavidin-Biotin-Complex (SABC) (Catalog # SA1022) with DAB (Catalog # AR1027) as the chromogen.

IF analysis of ITGB4 using anti-ITGB4 antibody (PB9007)
ITGB4 was detected in paraffin-embedded section of human placenta tissues. Heat mediated antigen retrieval was performed in citrate buffer (pH6, epitope retrieval solution ) for 20 mins. The tissue section was blocked with 10% goat serum. The tissue section was then incubated with 1μg/mL rabbit anti- ITGB4 Antibody (PB9007) overnight at 4°C. Fluoro488 Conjugated Goat Anti-Rabbit IgG (BA1127) was used as secondary antibody at 1:100 dilution and incubated for 30 minutes at 37°C. The section was counterstained with DAPI. Visualize using a fluorescence microscope and filter sets appropriate for the label used.

Flow Cytometry analysis of A431 cells using anti-Integrin Beta 4/ITGB4 antibody (PB9007).
Overlay histogram showing A431 cells stained with PB9007 (Blue line). To facilitate intracellular staining, cells were fixed with 4% paraformaldehyde and permeabilized with permeabilization buffer. The cells were blocked with 10% normal goat serum. And then incubated with rabbit anti-Integrin Beta 4/ITGB4 Antibody (PB9007) at 1:100 dilution for 30 min at 20°C. Fluoro488 conjugated goat anti-rabbit IgG (BA1127) was used as secondary antibody at 1:100 dilution for 30 minutes at 20°C. Isotype control antibody (Green line) was rabbit IgG at 1:100 dilution used under the same conditions. Unlabelled sample without incubation with primary antibody and secondary antibody (Red line) was used as a blank control.

Western blot analysis of anti- ITGB4 antibody (PB9007). The sample well of each lane was loaded with 30ug of sample under reducing conditions.
Lane 1: human A549 whole cell lysates,
Lane 2: human PC-3 whole cell lysates,
Lane 3: human T-47D whole cell lysates,
Lane 4: human Hela whole cell lysates,
Lane 5: human Caco-2 whole cell lysates.
Use rabbit anti- ITGB4 1:1000, probed with a goat anti-rabbit IgG-HRP secondary antibody. The signal is developed using an Enhanced Chemiluminescent detection (ECL) kit (Catalog#EK1002). A specific band was detected for ITGB4 at approximately 210KD. The expected band size for ITGB4 is at 202KD.

IHC analysis of Integrin Beta 4/ITGB4 using anti-Integrin Beta 4/ITGB4 antibody (PB9007).
Integrin Beta 4/ITGB4 was detected in a paraffin-embedded section of human intestinal cancer tissue. Biotinylated goat anti-rabbit IgG was used as secondary antibody. The tissue section was incubated with rabbit anti-Integrin Beta 4/ITGB4 Antibody (PB9007) at a dilution of 1:200 and developed using Strepavidin-Biotin-Complex (SABC) (Catalog # SA1022) with DAB (Catalog # AR1027) as the chromogen.

IHC analysis of Integrin Beta 4/ITGB4 using anti-Integrin Beta 4/ITGB4 antibody (PB9007).
Integrin Beta 4/ITGB4 was detected in a paraffin-embedded section of human placenta tissue. Biotinylated goat anti-rabbit IgG was used as secondary antibody. The tissue section was incubated with rabbit anti-Integrin Beta 4/ITGB4 Antibody (PB9007) at a dilution of 1:200 and developed using Strepavidin-Biotin-Complex (SABC) (Catalog # SA1022) with DAB (Catalog # AR1027) as the chromogen.

IF analysis of ITGB4 using anti-ITGB4 antibody (PB9007)
ITGB4 was detected in paraffin-embedded section of human placenta tissues. Heat mediated antigen retrieval was performed in citrate buffer (pH6, epitope retrieval solution ) for 20 mins. The tissue section was blocked with 10% goat serum. The tissue section was then incubated with 1μg/mL rabbit anti- ITGB4 Antibody (PB9007) overnight at 4°C. Fluoro488 Conjugated Goat Anti-Rabbit IgG (BA1127) was used as secondary antibody at 1:100 dilution and incubated for 30 minutes at 37°C. The section was counterstained with DAPI. Visualize using a fluorescence microscope and filter sets appropriate for the label used.

Flow Cytometry analysis of A431 cells using anti-Integrin Beta 4/ITGB4 antibody (PB9007).
Overlay histogram showing A431 cells stained with PB9007 (Blue line). To facilitate intracellular staining, cells were fixed with 4% paraformaldehyde and permeabilized with permeabilization buffer. The cells were blocked with 10% normal goat serum. And then incubated with rabbit anti-Integrin Beta 4/ITGB4 Antibody (PB9007) at 1:100 dilution for 30 min at 20°C. Fluoro488 conjugated goat anti-rabbit IgG (BA1127) was used as secondary antibody at 1:100 dilution for 30 minutes at 20°C. Isotype control antibody (Green line) was rabbit IgG at 1:100 dilution used under the same conditions. Unlabelled sample without incubation with primary antibody and secondary antibody (Red line) was used as a blank control.




