| Western blot (WB): | 1:500-2000 |
| Immunohistochemistry (IHC): | 1:50-200 |

Western blot analysis of anti-Integrin Beta 4/ITGB4 antibody (BM5045). The sample well of each lane was loaded with 30 ug of sample under reducing conditions.
Lane 1: human PC-3 whole cell lysates,
Lane 2: human Caco-2 whole cell lysates,
Lane 3: human Hela whole cell lysates,
Lane 4: human MCF-7 whole cell lysates.
After electrophoresis, proteins were transferred to a membrane. Then the membrane was incubated with rabbit anti-Integrin Beta 4/ITGB4 antigen affinity purified monoclonal antibody (BM5045) at a dilution of 1:1000 and probed with a goat anti-rabbit IgG-HRP secondary antibody (Catalog # BA1054). The signal is developed using ECL Plus Western Blotting Substrate (Catalog # AR1197). A specific band was detected for Integrin Beta 4/ITGB4 at approximately 210 kDa. The expected band size for Integrin Beta 4/ITGB4 is at 202 kDa.

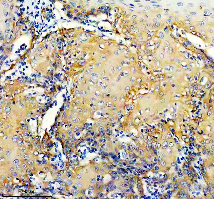
IHC analysis of Integrin Beta 4/ITGB4 using anti-Integrin Beta 4/ITGB4 antibody (BM5045).
Integrin Beta 4/ITGB4 was detected in a paraffin-embedded section of human skin cancer tissue. The tissue section was incubated with rabbit anti-Integrin Beta 4/ITGB4 Antibody (BM5045) at a dilution of 1:200 and developed using HRP Conjugated Rabbit IgG Super Vision Assay Kit (Catalog # SV0002) with DAB (Catalog # AR1027) as the chromogen.

Western blot analysis of anti-Integrin Beta 4/ITGB4 antibody (BM5045). The sample well of each lane was loaded with 30 ug of sample under reducing conditions.
Lane 1: human PC-3 whole cell lysates,
Lane 2: human Caco-2 whole cell lysates,
Lane 3: human Hela whole cell lysates,
Lane 4: human MCF-7 whole cell lysates.
After electrophoresis, proteins were transferred to a membrane. Then the membrane was incubated with rabbit anti-Integrin Beta 4/ITGB4 antigen affinity purified monoclonal antibody (BM5045) at a dilution of 1:1000 and probed with a goat anti-rabbit IgG-HRP secondary antibody (Catalog # BA1054). The signal is developed using ECL Plus Western Blotting Substrate (Catalog # AR1197). A specific band was detected for Integrin Beta 4/ITGB4 at approximately 210 kDa. The expected band size for Integrin Beta 4/ITGB4 is at 202 kDa.

IHC analysis of Integrin Beta 4/ITGB4 using anti-Integrin Beta 4/ITGB4 antibody (BM5045).
Integrin Beta 4/ITGB4 was detected in a paraffin-embedded section of human skin cancer tissue. The tissue section was incubated with rabbit anti-Integrin Beta 4/ITGB4 Antibody (BM5045) at a dilution of 1:200 and developed using HRP Conjugated Rabbit IgG Super Vision Assay Kit (Catalog # SV0002) with DAB (Catalog # AR1027) as the chromogen.

