| Immunohistochemistry (IHC): | 1:50-400 |
| ELISA(Cap): | 1:50-1:200 |
| (Boiling the paraffin sections in 10mM citrate buffer,pH6.0,or PH8.0 EDTA repair liquid for 20 mins is required for the staining of formalin/paraffin sections.) Optimal working dilutions must be determined by end user. | |

IHC analysis of VCAM1 using anti-VCAM1 antibody (A01199-1).
VCAM1 was detected in a paraffin-embedded section of human appendix tissue. The tissue section was incubated with rabbit anti-VCAM1 Antibody (A01199-1) at a dilution of 1:200 and developed using HRP Conjugated Rabbit IgG Super Vision Assay Kit (Catalog # SV0002) with DAB (Catalog # AR1027) as the chromogen.

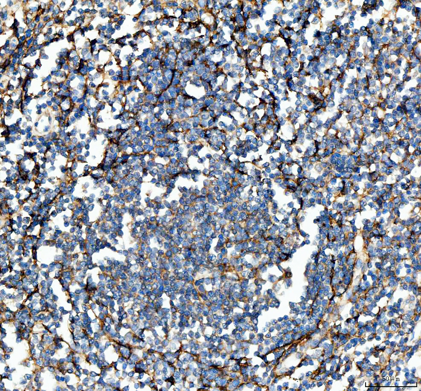
IHC analysis of VCAM1 using anti-VCAM1 antibody (A01199-1).
VCAM1 was detected in a paraffin-embedded section of human tonsil tissue. The tissue section was incubated with rabbit anti-VCAM1 Antibody (A01199-1) at a dilution of 1:200 and developed using HRP Conjugated Rabbit IgG Super Vision Assay Kit (Catalog # SV0002) with DAB (Catalog # AR1027) as the chromogen.

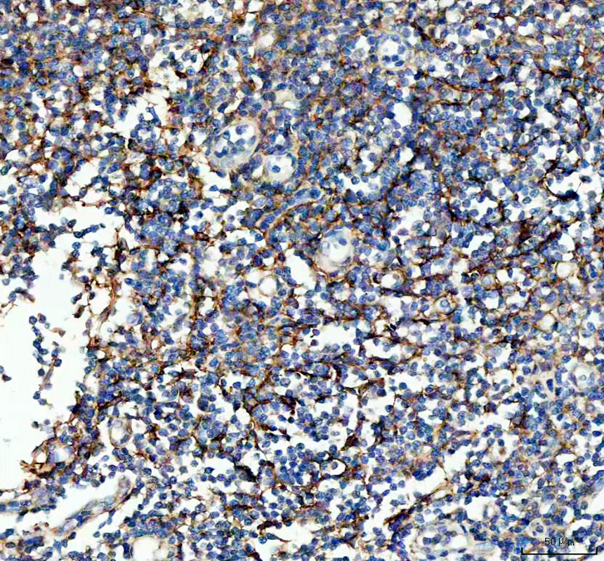
IHC analysis of VCAM1 using anti-VCAM1 antibody (A01199-1).
VCAM1 was detected in a paraffin-embedded section of human tonsil tissue. The tissue section was incubated with rabbit anti-VCAM1 Antibody (A01199-1) at a dilution of 1:200 and developed using HRP Conjugated Rabbit IgG Super Vision Assay Kit (Catalog # SV0002) with DAB (Catalog # AR1027) as the chromogen.

IHC analysis of VCAM1 using anti-VCAM1 antibody (A01199-1).
VCAM1 was detected in a paraffin-embedded section of human appendix tissue. The tissue section was incubated with rabbit anti-VCAM1 Antibody (A01199-1) at a dilution of 1:200 and developed using HRP Conjugated Rabbit IgG Super Vision Assay Kit (Catalog # SV0002) with DAB (Catalog # AR1027) as the chromogen.

IHC analysis of VCAM1 using anti-VCAM1 antibody (A01199-1).
VCAM1 was detected in a paraffin-embedded section of human tonsil tissue. The tissue section was incubated with rabbit anti-VCAM1 Antibody (A01199-1) at a dilution of 1:200 and developed using HRP Conjugated Rabbit IgG Super Vision Assay Kit (Catalog # SV0002) with DAB (Catalog # AR1027) as the chromogen.

IHC analysis of VCAM1 using anti-VCAM1 antibody (A01199-1).
VCAM1 was detected in a paraffin-embedded section of human tonsil tissue. The tissue section was incubated with rabbit anti-VCAM1 Antibody (A01199-1) at a dilution of 1:200 and developed using HRP Conjugated Rabbit IgG Super Vision Assay Kit (Catalog # SV0002) with DAB (Catalog # AR1027) as the chromogen.




