| Western blot (WB): | 1:1000-5000 |
| Immunohistochemistry (IHC): | 1:50-400 |
| (Boiling the paraffin sections in 10mM citrate buffer,pH6.0,or PH8.0 EDTA repair liquid for 20 mins is required for the staining of formalin/paraffin sections.) Optimal working dilutions must be determined by end user. | |

Western blot analysis of Actin using anti-Actin antibody (BA0410). The sample well of each lane was loaded with 30 ug of sample under reducing conditions.
Lane 1: human placenta tissue lysates,
Lane 2: human Hela whole cell lysates,
Lane 3: human HepG2 whole cell lysates,
Lane 4: human 293T whole cell lysates,
Lane 5: human A431 whole cell lysates,
Lane 6: human U87 whole cell lysates,
Lane 7: human U937 whole cell lysates,
Lane 8: human K562 whole cell lysates.
After electrophoresis, proteins were transferred to a membrane. Then the membrane was incubated with rabbit anti-Actin antigen affinity purified polyclonal antibody (BA0410) at a dilution of 1:1000 and probed with a goat anti-rabbit IgG-HRP secondary antibody (Catalog # BA1054). The signal is developed using ECL Plus Western Blotting Substrate (Catalog # AR1197). A specific band was detected for Actin at approximately 42 kDa. The expected band size for Actin is at 42 kDa.

Western blot analysis of Actin using anti-Actin antibody (BA0410). The sample well of each lane was loaded with 30 ug of sample under reducing conditions.
Lane 1: rat heart tissue lysates,
Lane 2: rat brain tissue lysates,
Lane 3: rat kidney tissue lysates,
Lane 4: mouse heart tissue lysates,
Lane 5: mouse brain tissue lysates,
Lane 6: mouse spleen tissue lysates,
Lane 7: mouse kidney tissue lysates.
After electrophoresis, proteins were transferred to a membrane. Then the membrane was incubated with rabbit anti-Actin antigen affinity purified polyclonal antibody (BA0410) at a dilution of 1:1000 and probed with a goat anti-rabbit IgG-HRP secondary antibody (Catalog # BA1054). The signal is developed using ECL Plus Western Blotting Substrate (Catalog # AR1197). A specific band was detected for Actin at approximately 42 kDa. The expected band size for Actin is at 42 kDa.

IHC analysis of Actin using anti-Actin antibody (BA0410) .
Actin was detected in a paraffin-embedded section of human breast cancer tissue. The tissue section was incubated with rabbit anti-Actin Antibody (BA0410) at a dilution of 1:200 and developed using HRP Conjugated Rabbit IgG Super Vision Assay Kit (Catalog # SV0002) with DAB (Catalog # AR1027) as the chromogen.

IHC analysis of Actin using anti-Actin antibody (BA0410) .
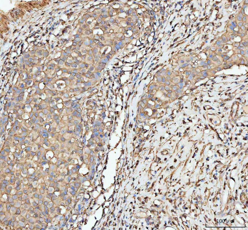
Actin was detected in a paraffin-embedded section of human colorectal adenocarcinoma tissue. The tissue section was incubated with rabbit anti-Actin Antibody (BA0410) at a dilution of 1:200 and developed using HRP Conjugated Rabbit IgG Super Vision Assay Kit (Catalog # SV0002) with DAB (Catalog # AR1027) as the chromogen.

IHC analysis of Actin using anti-Actin antibody (BA0410) .
Actin was detected in a paraffin-embedded section of human placenta tissue. The tissue section was incubated with rabbit anti-Actin Antibody (BA0410) at a dilution of 1:200 and developed using HRP Conjugated Rabbit IgG Super Vision Assay Kit (Catalog # SV0002) with DAB (Catalog # AR1027) as the chromogen.

IHC analysis of Actin using anti-Actin antibody (BA0410) .
Actin was detected in a paraffin-embedded section of human tonsil tissue. The tissue section was incubated with rabbit anti-Actin Antibody (BA0410) at a dilution of 1:200 and developed using HRP Conjugated Rabbit IgG Super Vision Assay Kit (Catalog # SV0002) with DAB (Catalog # AR1027) as the chromogen.

IHC analysis of Actin using anti-Actin antibody (BA0410) .
Actin was detected in a paraffin-embedded section of mouse heart tissue. The tissue section was incubated with rabbit anti-Actin Antibody (BA0410) at a dilution of 1:200 and developed using HRP Conjugated Rabbit IgG Super Vision Assay Kit (Catalog # SV0002) with DAB (Catalog # AR1027) as the chromogen.

IHC analysis of Actin using anti-Actin antibody (BA0410) .
Actin was detected in a paraffin-embedded section of rat heart tissue. The tissue section was incubated with rabbit anti-Actin Antibody (BA0410) at a dilution of 1:200 and developed using HRP Conjugated Rabbit IgG Super Vision Assay Kit (Catalog # SV0002) with DAB (Catalog # AR1027) as the chromogen.

Western blot analysis of Actin using anti-Actin antibody (BA0410). The sample well of each lane was loaded with 30 ug of sample under reducing conditions.
Lane 1: human placenta tissue lysates,
Lane 2: human Hela whole cell lysates,
Lane 3: human HepG2 whole cell lysates,
Lane 4: human 293T whole cell lysates,
Lane 5: human A431 whole cell lysates,
Lane 6: human U87 whole cell lysates,
Lane 7: human U937 whole cell lysates,
Lane 8: human K562 whole cell lysates.
After electrophoresis, proteins were transferred to a membrane. Then the membrane was incubated with rabbit anti-Actin antigen affinity purified polyclonal antibody (BA0410) at a dilution of 1:1000 and probed with a goat anti-rabbit IgG-HRP secondary antibody (Catalog # BA1054). The signal is developed using ECL Plus Western Blotting Substrate (Catalog # AR1197). A specific band was detected for Actin at approximately 42 kDa. The expected band size for Actin is at 42 kDa.

Western blot analysis of Actin using anti-Actin antibody (BA0410). The sample well of each lane was loaded with 30 ug of sample under reducing conditions.
Lane 1: rat heart tissue lysates,
Lane 2: rat brain tissue lysates,
Lane 3: rat kidney tissue lysates,
Lane 4: mouse heart tissue lysates,
Lane 5: mouse brain tissue lysates,
Lane 6: mouse spleen tissue lysates,
Lane 7: mouse kidney tissue lysates.
After electrophoresis, proteins were transferred to a membrane. Then the membrane was incubated with rabbit anti-Actin antigen affinity purified polyclonal antibody (BA0410) at a dilution of 1:1000 and probed with a goat anti-rabbit IgG-HRP secondary antibody (Catalog # BA1054). The signal is developed using ECL Plus Western Blotting Substrate (Catalog # AR1197). A specific band was detected for Actin at approximately 42 kDa. The expected band size for Actin is at 42 kDa.

IHC analysis of Actin using anti-Actin antibody (BA0410) .
Actin was detected in a paraffin-embedded section of human breast cancer tissue. The tissue section was incubated with rabbit anti-Actin Antibody (BA0410) at a dilution of 1:200 and developed using HRP Conjugated Rabbit IgG Super Vision Assay Kit (Catalog # SV0002) with DAB (Catalog # AR1027) as the chromogen.

IHC analysis of Actin using anti-Actin antibody (BA0410) .
Actin was detected in a paraffin-embedded section of human colorectal adenocarcinoma tissue. The tissue section was incubated with rabbit anti-Actin Antibody (BA0410) at a dilution of 1:200 and developed using HRP Conjugated Rabbit IgG Super Vision Assay Kit (Catalog # SV0002) with DAB (Catalog # AR1027) as the chromogen.

IHC analysis of Actin using anti-Actin antibody (BA0410) .
Actin was detected in a paraffin-embedded section of human placenta tissue. The tissue section was incubated with rabbit anti-Actin Antibody (BA0410) at a dilution of 1:200 and developed using HRP Conjugated Rabbit IgG Super Vision Assay Kit (Catalog # SV0002) with DAB (Catalog # AR1027) as the chromogen.

IHC analysis of Actin using anti-Actin antibody (BA0410) .
Actin was detected in a paraffin-embedded section of human tonsil tissue. The tissue section was incubated with rabbit anti-Actin Antibody (BA0410) at a dilution of 1:200 and developed using HRP Conjugated Rabbit IgG Super Vision Assay Kit (Catalog # SV0002) with DAB (Catalog # AR1027) as the chromogen.

IHC analysis of Actin using anti-Actin antibody (BA0410) .
Actin was detected in a paraffin-embedded section of mouse heart tissue. The tissue section was incubated with rabbit anti-Actin Antibody (BA0410) at a dilution of 1:200 and developed using HRP Conjugated Rabbit IgG Super Vision Assay Kit (Catalog # SV0002) with DAB (Catalog # AR1027) as the chromogen.

IHC analysis of Actin using anti-Actin antibody (BA0410) .
Actin was detected in a paraffin-embedded section of rat heart tissue. The tissue section was incubated with rabbit anti-Actin Antibody (BA0410) at a dilution of 1:200 and developed using HRP Conjugated Rabbit IgG Super Vision Assay Kit (Catalog # SV0002) with DAB (Catalog # AR1027) as the chromogen.







