| Western blot (WB): | 1:500-2000 |
| Immunohistochemistry (IHC): | 1:50-400 |
| Immunocytochemistry/Immunofluorescence (ICC/IF): | 1:50-400 |
| (Boiling the paraffin sections in 10mM citrate buffer,pH6.0,or PH8.0 EDTA repair liquid for 20 mins is required for the staining of formalin/paraffin sections.) Optimal working dilutions must be determined by end user. | |

Western blot analysis of HSP70 using anti-HSP70 antibody (BA3769). The sample well of each lane was loaded with 30 ug of sample under reducing conditions.
Lane 1: human Hela whole cell lysates,
Lane 2: human HepG2 whole cell lysates,
Lane 3: human A431 whole cell lysates,
Lane 4: human MCF-7 whole cell lysates,
Lane 5: human A549 whole cell lysates,
Lane 6: human PC-3 whole cell lysates,
Lane 7: human 293T whole cell lysates,
Lane 8: human K562 whole cell lysates.
After electrophoresis, proteins were transferred to a membrane. Then the membrane was incubated with rabbit anti-HSP70 antigen affinity purified polyclonal antibody (BA3769) at a dilution of 1:1000 and probed with a goat anti-rabbit IgG-HRP secondary antibody (Catalog # BA1054). The signal is developed using ECL Plus Western Blotting Substrate (Catalog # AR1197). A specific band was detected for HSP70 at approximately 70 kDa. The expected band size for HSP70 is at 70 kDa.

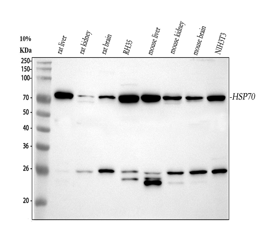
Western blot analysis of HSP70 using anti-HSP70 antibody (BA3769). The sample well of each lane was loaded with 30 ug of sample under reducing conditions.
Lane 1: rat liver tissue lysates,
Lane 2: rat kidney tissue lysates,
Lane 3: rat brain tissue lysates,
Lane 4: rat RH-35 whole cell lysates,
Lane 5: mouse liver tissue lysates,
Lane 6: mouse kidney tissue lysates,
Lane 7: mouse brain tissue lysates,
Lane 8: mouse NIH/3T3 whole cell lysates.
After electrophoresis, proteins were transferred to a membrane. Then the membrane was incubated with rabbit anti-HSP70 antigen affinity purified polyclonal antibody (BA3769) at a dilution of 1:1000 and probed with a goat anti-rabbit IgG-HRP secondary antibody (Catalog # BA1054). The signal is developed using ECL Plus Western Blotting Substrate (Catalog # AR1197). A specific band was detected for HSP70 at approximately 70 kDa. The expected band size for HSP70 is at 70 kDa.

IHC analysis of HSP70 using anti-HSP70 antibody (BA3769).
HSP70 was detected in a paraffin-embedded section of human intestinal cancer tissue. Biotinylated goat anti-rabbit IgG was used as secondary antibody. The tissue section was incubated with rabbit anti-HSP70 Antibody (BA3769) at a dilution of 1:200 and developed using Strepavidin-Biotin-Complex (SABC) (Catalog # SA1022) with DAB (Catalog # AR1027) as the chromogen.

IHC analysis of HSP70 using anti-HSP70 antibody (BA3769).
HSP70 was detected in frozen section of rat intestine tissue. Biotinylated goat anti-rabbit IgG was used as secondary antibody. The tissue section was incubated with rabbit anti-HSP70 Antibody (BA3769) at a dilution of 1:200 and developed using Strepavidin-Biotin-Complex (SABC) (Catalog # SA1022) with DAB (Catalog # AR1027) as the chromogen.

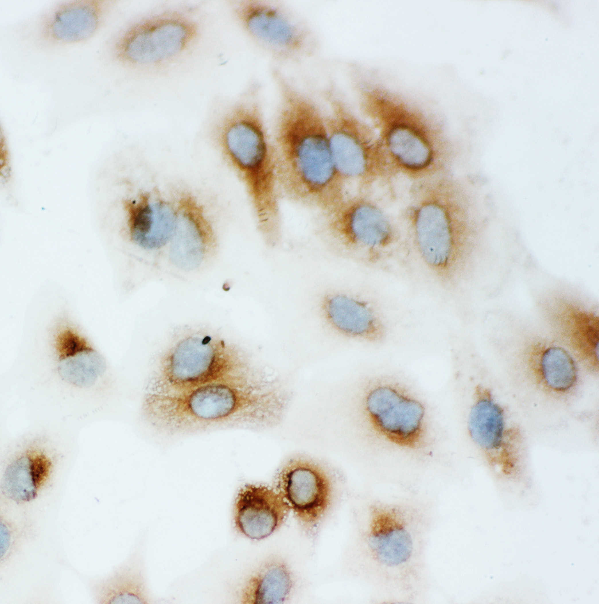
ICC analysis of HSP70 using anti- HSP70 antibody (BA3769).
HSP70 was detected in an immunocytochemical section of A549 cells. The section was incubated with rabbit anti-HSP70 Antibody (BA3769) at a dilution of 1:100. Biotinylated goat anti-rabbit IgG was used as secondary antibody. The section was developed using Strepavidin-Biotin-Complex (SABC)(Catalog # SA1022) with DAB (Catalog # AR1027) as the chromogen.

Western blot analysis of HSP70 using anti-HSP70 antibody (BA3769). The sample well of each lane was loaded with 30 ug of sample under reducing conditions.
Lane 1: human Hela whole cell lysates,
Lane 2: human HepG2 whole cell lysates,
Lane 3: human A431 whole cell lysates,
Lane 4: human MCF-7 whole cell lysates,
Lane 5: human A549 whole cell lysates,
Lane 6: human PC-3 whole cell lysates,
Lane 7: human 293T whole cell lysates,
Lane 8: human K562 whole cell lysates.
After electrophoresis, proteins were transferred to a membrane. Then the membrane was incubated with rabbit anti-HSP70 antigen affinity purified polyclonal antibody (BA3769) at a dilution of 1:1000 and probed with a goat anti-rabbit IgG-HRP secondary antibody (Catalog # BA1054). The signal is developed using ECL Plus Western Blotting Substrate (Catalog # AR1197). A specific band was detected for HSP70 at approximately 70 kDa. The expected band size for HSP70 is at 70 kDa.

Western blot analysis of HSP70 using anti-HSP70 antibody (BA3769). The sample well of each lane was loaded with 30 ug of sample under reducing conditions.
Lane 1: rat liver tissue lysates,
Lane 2: rat kidney tissue lysates,
Lane 3: rat brain tissue lysates,
Lane 4: rat RH-35 whole cell lysates,
Lane 5: mouse liver tissue lysates,
Lane 6: mouse kidney tissue lysates,
Lane 7: mouse brain tissue lysates,
Lane 8: mouse NIH/3T3 whole cell lysates.
After electrophoresis, proteins were transferred to a membrane. Then the membrane was incubated with rabbit anti-HSP70 antigen affinity purified polyclonal antibody (BA3769) at a dilution of 1:1000 and probed with a goat anti-rabbit IgG-HRP secondary antibody (Catalog # BA1054). The signal is developed using ECL Plus Western Blotting Substrate (Catalog # AR1197). A specific band was detected for HSP70 at approximately 70 kDa. The expected band size for HSP70 is at 70 kDa.

IHC analysis of HSP70 using anti-HSP70 antibody (BA3769).
HSP70 was detected in a paraffin-embedded section of human intestinal cancer tissue. Biotinylated goat anti-rabbit IgG was used as secondary antibody. The tissue section was incubated with rabbit anti-HSP70 Antibody (BA3769) at a dilution of 1:200 and developed using Strepavidin-Biotin-Complex (SABC) (Catalog # SA1022) with DAB (Catalog # AR1027) as the chromogen.

IHC analysis of HSP70 using anti-HSP70 antibody (BA3769).
HSP70 was detected in frozen section of rat intestine tissue. Biotinylated goat anti-rabbit IgG was used as secondary antibody. The tissue section was incubated with rabbit anti-HSP70 Antibody (BA3769) at a dilution of 1:200 and developed using Strepavidin-Biotin-Complex (SABC) (Catalog # SA1022) with DAB (Catalog # AR1027) as the chromogen.

ICC analysis of HSP70 using anti- HSP70 antibody (BA3769).
HSP70 was detected in an immunocytochemical section of A549 cells. The section was incubated with rabbit anti-HSP70 Antibody (BA3769) at a dilution of 1:100. Biotinylated goat anti-rabbit IgG was used as secondary antibody. The section was developed using Strepavidin-Biotin-Complex (SABC)(Catalog # SA1022) with DAB (Catalog # AR1027) as the chromogen.




