| Western blot (WB): | 1:500-2000 |
| Immunohistochemistry (IHC): | 1:50-400 |
| Immunocytochemistry/Immunofluorescence (ICC/IF): | 1:50-400 |
| Flow Cytometry (Fixed): | 1:50-200 |
| (Boiling the paraffin sections in 10mM citrate buffer,pH6.0,or PH8.0 EDTA repair liquid for 20 mins is required for the staining of formalin/paraffin sections.) Optimal working dilutions must be determined by end user. | |

Western blot analysis of anti-HSP70 antibody (M00949-2). The sample well of each lane was loaded with 30 ug of sample under reducing conditions.
Lane 1: human Hela whole cell lysates,
Lane 2: human COLO-320 whole cell lysates,
Lane 3: human SW620 whole cell lysates,
Lane 4: human A431 whole cell lysates,
Lane 5: human A549 whole cell lysates,
Lane 6: human HepG2 whole cell lysates,
Lane 7: human PANC-1 whole cell lysates.
After electrophoresis, proteins were transferred to a membrane. Then the membrane was incubated with mouse anti-HSP70 antigen affinity purified monoclonal antibody (M00949-2) and probed with a goat anti-mouse IgG-HRP secondary antibody (Catalog # BA1050). The signal is developed using ECL Plus Western Blotting Substrate (Catalog # AR1197). A specific band was detected for HSP70 at approximately 70 kDa. The expected band size for HSP70 is at 70 kDa.

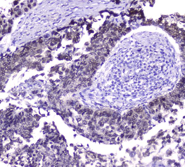
IHC analysis of HSP70 using anti-HSP70 antibody (M00949-2).
HSP70 was detected in a paraffin-embedded section of human lung cancer tissue. The tissue section was incubated with mouse anti-HSP70 Antibody (M00949-2) at a dilution of 1:200 and developed using HRP Conjugated mouse IgG Super Vision Assay Kit (Catalog # SV0001) with DAB (Catalog # AR1027) as the chromogen.

ICC/IF analysis of HSP70 using anti-HSP70 antibody (M00949-2).
HSP70 was detected in an immunocytochemical section of MCF-7 cells. Fluoro488-conjugated Anti-mouse IgG Secondary Antibody (green)(Catalog#BA1126) was used as secondary antibody. The section was counterstained with DAPI (Catalog # AR1176) (Blue).

Flow Cytometry analysis of U2OS cells using anti-HSP70 antibody (M00949-2).
Overlay histogram showing U2OS cells stained with A04887-1 (Blue line). The cells were blocked with 10% normal goat serum. And then incubated with mouse anti-HSP70 Antibody ((M00949-2, 1:100). Fluoro488 conjugated goat anti-mouse IgG (BA1126, 1:100) was used as secondary antibody. Isotype control antibody (Green line) was mouse IgG (Catalog # BA1046) (1:100) used under the same conditions. Unlabelled sample (Red line) was also used as a control.

Western blot analysis of anti-HSP70 antibody (M00949-2). The sample well of each lane was loaded with 30 ug of sample under reducing conditions.
Lane 1: human Hela whole cell lysates,
Lane 2: human COLO-320 whole cell lysates,
Lane 3: human SW620 whole cell lysates,
Lane 4: human A431 whole cell lysates,
Lane 5: human A549 whole cell lysates,
Lane 6: human HepG2 whole cell lysates,
Lane 7: human PANC-1 whole cell lysates.
After electrophoresis, proteins were transferred to a membrane. Then the membrane was incubated with mouse anti-HSP70 antigen affinity purified monoclonal antibody (M00949-2) and probed with a goat anti-mouse IgG-HRP secondary antibody (Catalog # BA1050). The signal is developed using ECL Plus Western Blotting Substrate (Catalog # AR1197). A specific band was detected for HSP70 at approximately 70 kDa. The expected band size for HSP70 is at 70 kDa.

IHC analysis of HSP70 using anti-HSP70 antibody (M00949-2).
HSP70 was detected in a paraffin-embedded section of human lung cancer tissue. The tissue section was incubated with mouse anti-HSP70 Antibody (M00949-2) at a dilution of 1:200 and developed using HRP Conjugated mouse IgG Super Vision Assay Kit (Catalog # SV0001) with DAB (Catalog # AR1027) as the chromogen.

ICC/IF analysis of HSP70 using anti-HSP70 antibody (M00949-2).
HSP70 was detected in an immunocytochemical section of MCF-7 cells. Fluoro488-conjugated Anti-mouse IgG Secondary Antibody (green)(Catalog#BA1126) was used as secondary antibody. The section was counterstained with DAPI (Catalog # AR1176) (Blue).

Flow Cytometry analysis of U2OS cells using anti-HSP70 antibody (M00949-2).
Overlay histogram showing U2OS cells stained with A04887-1 (Blue line). The cells were blocked with 10% normal goat serum. And then incubated with mouse anti-HSP70 Antibody ((M00949-2, 1:100). Fluoro488 conjugated goat anti-mouse IgG (BA1126, 1:100) was used as secondary antibody. Isotype control antibody (Green line) was mouse IgG (Catalog # BA1046) (1:100) used under the same conditions. Unlabelled sample (Red line) was also used as a control.



