| Western blot (WB): | 1:500-2000 |
| Immunohistochemistry (IHC): | 1:50-400 |
| (Boiling the paraffin sections in 10mM citrate buffer,pH6.0,or PH8.0 EDTA repair liquid for 20 mins is required for the staining of formalin/paraffin sections.) Optimal working dilutions must be determined by end user. | |

Western blot analysis of anti- HSP70 antibody (BM0368). The sample well of each lane was loaded with 50ug of sample under reducing conditions.
Lane 1: MCF-7 whole cell lysates,
Lane 2: 293T whole cell lysates,
Lane 3: A549 whole cell lysates,
Lane 4: U20S whole cell lysates,
Lane 5: rat lung tissue lysates,
Lane 6: rat liver tissue lysates,
Lane 7: mouse lung tissue lysates,
Lane 8: mouse liver tissue lysates.
Use mouse anti- HSP70 1:1000, probed with a goat anti-mouse IgG-HRP secondary antibody. The signal is developed using an Enhanced Chemiluminescent detection (ECL) kit (Catalog # EK1001). A specific band was detected for HSP70 at approximately 70KD. The expected band size for HSP70 is at 70KD.

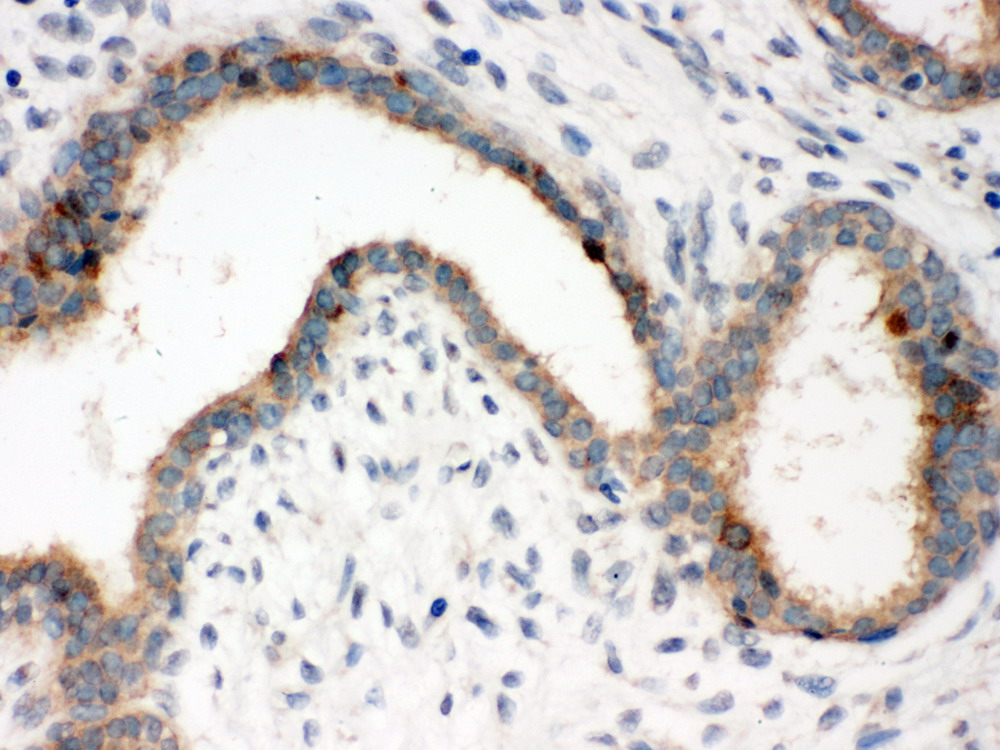
IHC analysis using anti- HSP70 antibody (BM0368). detected in paraffin-embedded section of human breast cancer tissue. Biotinylated goat anti-mouse IgG was used as secondary antibody. The tissue section was developed using Strepavidin-Biotin-Complex (SABC) (Catalog # SA1021) with DAB as the chromogen.

Western blot analysis of anti- HSP70 antibody (BM0368). The sample well of each lane was loaded with 50ug of sample under reducing conditions.
Lane 1: MCF-7 whole cell lysates,
Lane 2: 293T whole cell lysates,
Lane 3: A549 whole cell lysates,
Lane 4: U20S whole cell lysates,
Lane 5: rat lung tissue lysates,
Lane 6: rat liver tissue lysates,
Lane 7: mouse lung tissue lysates,
Lane 8: mouse liver tissue lysates.
Use mouse anti- HSP70 1:1000, probed with a goat anti-mouse IgG-HRP secondary antibody. The signal is developed using an Enhanced Chemiluminescent detection (ECL) kit (Catalog # EK1001). A specific band was detected for HSP70 at approximately 70KD. The expected band size for HSP70 is at 70KD.

IHC analysis using anti- HSP70 antibody (BM0368). detected in paraffin-embedded section of human breast cancer tissue. Biotinylated goat anti-mouse IgG was used as secondary antibody. The tissue section was developed using Strepavidin-Biotin-Complex (SABC) (Catalog # SA1021) with DAB as the chromogen.

