| Western blot (WB): | 1:500-2000 |
| Immunohistochemistry (IHC): | 1:50-200 |
| Immunocytochemistry/Immunofluorescence (ICC/IF): | 1:50-200 |
| ImmunoPrecipitation (IP): | 1:20 |
| Flow Cytometry (FCM): | 1:20 |

Western blot analysis of anti-HLA-A antibody (BM4084). The sample well of each lane was loaded with 30 ug of sample under reducing conditions.
Lane 1: human A549 whole cell lysates,
Lane 2: human THP-1 whole cell lysates,
Lane 3: human Jurkat whole cell lysates,
Lane 4: human Raji whole cell lysates,
Lane 5: human Daudi whole cell lysates,
Lane 6: human A431 whole cell lysates,
Lane 7: human HEL whole cell lysates,
Lane 8: human RT4 whole cell lysates.
After electrophoresis, proteins were transferred to a membrane. Then the membrane was incubated with rabbit anti-HLA-A antigen affinity purified monoclonal antibody (BM4084) at a dilution of 1:1000 and probed with a goat anti-rabbit IgG-HRP secondary antibody (Catalog # BA1054). The signal is developed using ECL Plus Western Blotting Substrate (Catalog # AR1197). A specific band was detected for HLA-A at approximately 41 kDa. The expected band size for HLA-A is at 41 kDa.

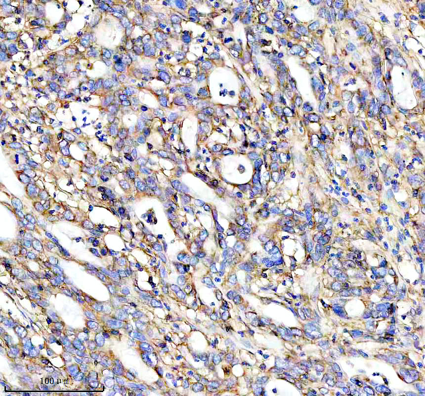
IHC analysis of HLA-A using anti-HLA-A antibody (BM4084) .
HLA-A was detected in a paraffin-embedded section of human pancreas cancer tissue. The tissue section was incubated with rabbit anti-HLA-A Antibody (BM4084) at a dilution of 1:200 and developed using HRP Conjugated Rabbit IgG Super Vision Assay Kit (Catalog # SV0002) with DAB (Catalog # AR1027) as the chromogen.

Western blot analysis of anti-HLA-A antibody (BM4084). The sample well of each lane was loaded with 30 ug of sample under reducing conditions.
Lane 1: human A549 whole cell lysates,
Lane 2: human THP-1 whole cell lysates,
Lane 3: human Jurkat whole cell lysates,
Lane 4: human Raji whole cell lysates,
Lane 5: human Daudi whole cell lysates,
Lane 6: human A431 whole cell lysates,
Lane 7: human HEL whole cell lysates,
Lane 8: human RT4 whole cell lysates.
After electrophoresis, proteins were transferred to a membrane. Then the membrane was incubated with rabbit anti-HLA-A antigen affinity purified monoclonal antibody (BM4084) at a dilution of 1:1000 and probed with a goat anti-rabbit IgG-HRP secondary antibody (Catalog # BA1054). The signal is developed using ECL Plus Western Blotting Substrate (Catalog # AR1197). A specific band was detected for HLA-A at approximately 41 kDa. The expected band size for HLA-A is at 41 kDa.

IHC analysis of HLA-A using anti-HLA-A antibody (BM4084) .
HLA-A was detected in a paraffin-embedded section of human pancreas cancer tissue. The tissue section was incubated with rabbit anti-HLA-A Antibody (BM4084) at a dilution of 1:200 and developed using HRP Conjugated Rabbit IgG Super Vision Assay Kit (Catalog # SV0002) with DAB (Catalog # AR1027) as the chromogen.







