| Western blot (WB): | 1:500-2000 |
| Immunohistochemistry (IHC): | 1:50-400 |
| (Boiling the paraffin sections in 10mM citrate buffer,pH6.0,or PH8.0 EDTA repair liquid for 20 mins is required for the staining of formalin/paraffin sections.) Optimal working dilutions must be determined by end user. | |

Western blot analysis of F2 using anti-F2 antibody (M00044-2). The sample well of each lane was loaded with 30 ug of sample under reducing conditions.
Lane 1: HepG2 whole cell lysates.
After electrophoresis, proteins were transferred to a membrane. Then the membrane was incubated with mouse anti-F2 antigen affinity purified monoclonal antibody (M00044-2) at a dilution of 1:1000 and probed with a goat anti-mouse IgG-HRP secondary antibody (Catalog # BA1050). The signal is developed using ECL Plus Western Blotting Substrate (Catalog # AR1197). A specific band was detected for F2 at approximately 70-100 kDa. The expected band size for F2 is at 70 kDa.

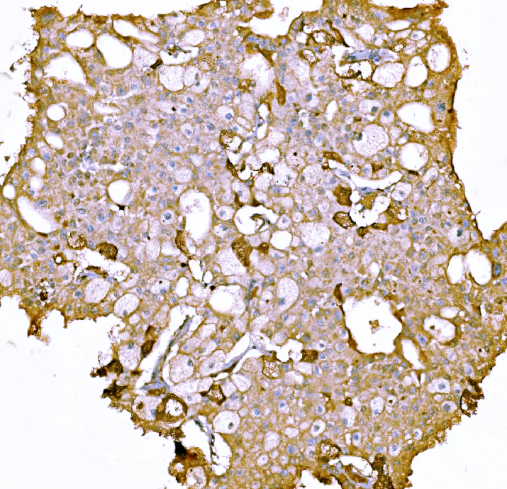
IHC analysis of F2 using anti-F2 antibody (M00044-2).
F2 was detected in a paraffin-embedded section of human liver cancer tissue. Biotinylated goat anti-mouse IgG was used as secondary antibody. The tissue section was incubated with mouse anti-F2 Antibody (M00044-2) at a dilution of 1:200 and developed using Strepavidin-Biotin-Complex (SABC) (Catalog # SA1021) with DAB (Catalog # AR1027) as the chromogen.

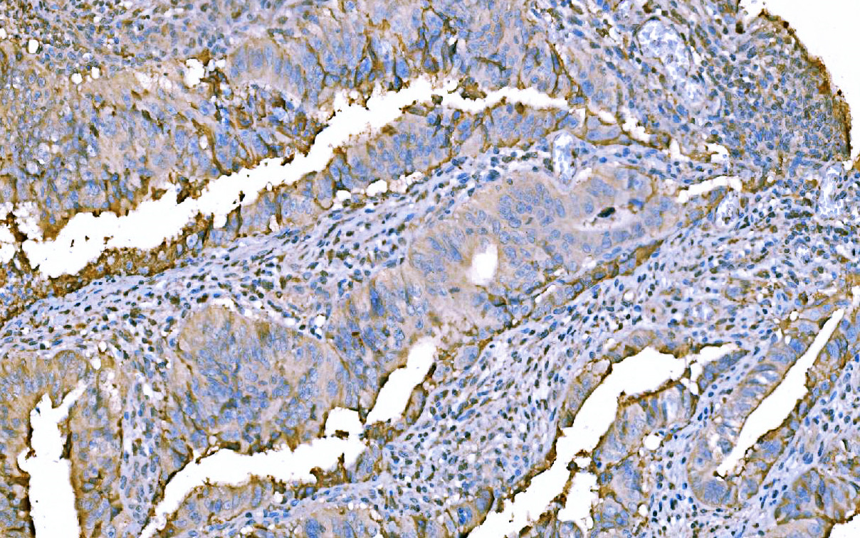
IHC analysis of F2 using anti-F2 antibody (M00044-2).
F2 was detected in a paraffin-embedded section of human Colorectal cancer tissue. Biotinylated goat anti-mouse IgG was used as secondary antibody. The tissue section was incubated with mouse anti-F2 Antibody (M00044-2) at a dilution of 1:200 and developed using Strepavidin-Biotin-Complex (SABC) (Catalog # SA1021) with DAB (Catalog # AR1027) as the chromogen.

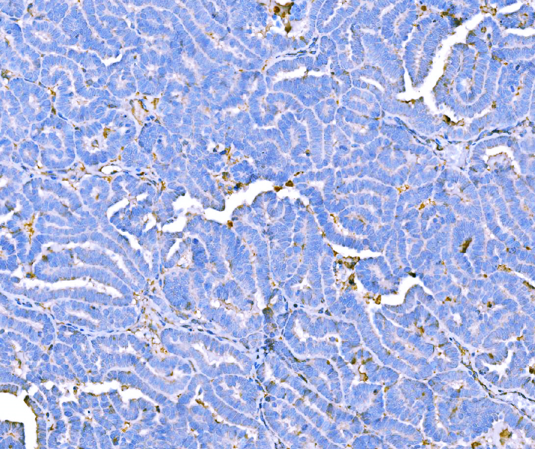
IHC analysis of F2 using anti-F2 antibody (M00044-2).
F2 was detected in a paraffin-embedded section of human Ovarian cancer tissue. Biotinylated goat anti-mouse IgG was used as secondary antibody. The tissue section was incubated with mouse anti-F2 Antibody (M00044-2) at a dilution of 1:200 and developed using Strepavidin-Biotin-Complex (SABC) (Catalog # SA1021) with DAB (Catalog # AR1027) as the chromogen.

Western blot analysis of F2 using anti-F2 antibody (M00044-2). The sample well of each lane was loaded with 30 ug of sample under reducing conditions.
Lane 1: HepG2 whole cell lysates.
After electrophoresis, proteins were transferred to a membrane. Then the membrane was incubated with mouse anti-F2 antigen affinity purified monoclonal antibody (M00044-2) at a dilution of 1:1000 and probed with a goat anti-mouse IgG-HRP secondary antibody (Catalog # BA1050). The signal is developed using ECL Plus Western Blotting Substrate (Catalog # AR1197). A specific band was detected for F2 at approximately 70-100 kDa. The expected band size for F2 is at 70 kDa.

IHC analysis of F2 using anti-F2 antibody (M00044-2).
F2 was detected in a paraffin-embedded section of human liver cancer tissue. Biotinylated goat anti-mouse IgG was used as secondary antibody. The tissue section was incubated with mouse anti-F2 Antibody (M00044-2) at a dilution of 1:200 and developed using Strepavidin-Biotin-Complex (SABC) (Catalog # SA1021) with DAB (Catalog # AR1027) as the chromogen.

IHC analysis of F2 using anti-F2 antibody (M00044-2).
F2 was detected in a paraffin-embedded section of human Colorectal cancer tissue. Biotinylated goat anti-mouse IgG was used as secondary antibody. The tissue section was incubated with mouse anti-F2 Antibody (M00044-2) at a dilution of 1:200 and developed using Strepavidin-Biotin-Complex (SABC) (Catalog # SA1021) with DAB (Catalog # AR1027) as the chromogen.

IHC analysis of F2 using anti-F2 antibody (M00044-2).
F2 was detected in a paraffin-embedded section of human Ovarian cancer tissue. Biotinylated goat anti-mouse IgG was used as secondary antibody. The tissue section was incubated with mouse anti-F2 Antibody (M00044-2) at a dilution of 1:200 and developed using Strepavidin-Biotin-Complex (SABC) (Catalog # SA1021) with DAB (Catalog # AR1027) as the chromogen.



