| Western blot (WB): | 1:2000 |
| Immunohistochemistry (IHC): | 1:150 |
| Immunocytochemistry/Immunofluorescence (ICC/IF): | 1:100 |

Western blot analysis of anti-MUC1 antibody (M00187-2). The sample well of each lane was loaded with 30 ug of sample under reducing conditions.
Lane 1: human MCF-7 whole cell lysates,
Lane 2: human A431 whole cell lysates,
Lane 3: rat lung tissue lysates,
Lane 4: rat small intestine tissue lysates,
Lane 5: mouse lung tissue lysates,
Lane 6: mouse small intestine tissue lysates.
After electrophoresis, proteins were transferred to a membrane. Then the membrane was incubated with mouse anti-MUC1 antigen affinity purified monoclonal antibody (M00187-2) at a dilution of 1:1000 and probed with a goat anti-mouse IgG-HRP secondary antibody (Catalog # BA1050). The signal is developed using ECL Plus Western Blotting Substrate (Catalog # AR1197). A specific band was detected for MUC1 at approximately 25 kDa. The expected band size for MUC1 is at 122 kDa.

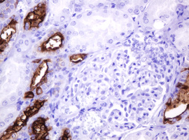
Immunohistochemical staining of paraffin-embedded Human Kidney tissue within the normal limits using anti-MUC1 mouse monoclonal antibody. (Heat-induced epitope retrieval by 10mM citric buffer, pH6.0, 120°C for 3min, M00187-2)

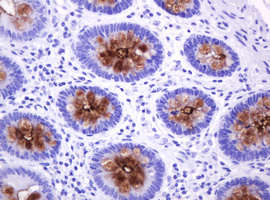
Immunohistochemical staining of paraffin-embedded Human colon tissue within the normal limits using anti-MUC1 mouse monoclonal antibody. (Heat-induced epitope retrieval by 10mM citric buffer, pH6.0, 120°C for 3min, M00187-2)

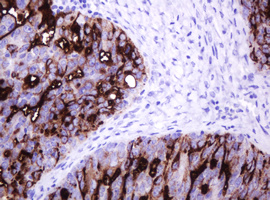
Immunohistochemical staining of paraffin-embedded Adenocarcinoma of Human breast tissue using anti-MUC1 mouse monoclonal antibody. (Heat-induced epitope retrieval by 10mM citric buffer, pH6.0, 120°C for 3min, M00187-2)

Immunohistochemical staining of paraffin-embedded Human breast tissue within the normal limits using anti-MUC1 mouse monoclonal antibody. (Heat-induced epitope retrieval by 10mM citric buffer, pH6.0, 120°C for 3min, M00187-2)

Immunohistochemical staining of paraffin-embedded Adenocarcinoma of Human ovary tissue using anti-MUC1 mouse monoclonal antibody. (Heat-induced epitope retrieval by 10mM citric buffer, pH6.0, 120°C for 3min, M00187-2)

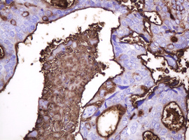
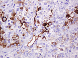
Immunohistochemical staining of paraffin-embedded Carcinoma of Human bladder tissue using anti-MUC1 mouse monoclonal antibody. (Heat-induced epitope retrieval by 10mM citric buffer, pH6.0, 120°C for 3min, M00187-2)

Immunofluorescent staining of MCF-7 cells using anti-MUC1 mouse monoclonal antibody.

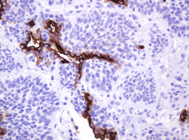
Immunohistochemical staining of paraffin-embedded Carcinoma of Human lung tissue using anti-MUC1 mouse monoclonal antibody. (Heat-induced epitope retrieval by 10mM citric buffer, pH6.0, 120°C for 3min, M00187-2)

Western blot analysis of anti-MUC1 antibody (M00187-2). The sample well of each lane was loaded with 30 ug of sample under reducing conditions.
Lane 1: human MCF-7 whole cell lysates,
Lane 2: human A431 whole cell lysates,
Lane 3: rat lung tissue lysates,
Lane 4: rat small intestine tissue lysates,
Lane 5: mouse lung tissue lysates,
Lane 6: mouse small intestine tissue lysates.
After electrophoresis, proteins were transferred to a membrane. Then the membrane was incubated with mouse anti-MUC1 antigen affinity purified monoclonal antibody (M00187-2) at a dilution of 1:1000 and probed with a goat anti-mouse IgG-HRP secondary antibody (Catalog # BA1050). The signal is developed using ECL Plus Western Blotting Substrate (Catalog # AR1197). A specific band was detected for MUC1 at approximately 25 kDa. The expected band size for MUC1 is at 122 kDa.

Immunohistochemical staining of paraffin-embedded Human Kidney tissue within the normal limits using anti-MUC1 mouse monoclonal antibody. (Heat-induced epitope retrieval by 10mM citric buffer, pH6.0, 120°C for 3min, M00187-2)

Immunohistochemical staining of paraffin-embedded Human colon tissue within the normal limits using anti-MUC1 mouse monoclonal antibody. (Heat-induced epitope retrieval by 10mM citric buffer, pH6.0, 120°C for 3min, M00187-2)

Immunohistochemical staining of paraffin-embedded Adenocarcinoma of Human breast tissue using anti-MUC1 mouse monoclonal antibody. (Heat-induced epitope retrieval by 10mM citric buffer, pH6.0, 120°C for 3min, M00187-2)

Immunohistochemical staining of paraffin-embedded Human breast tissue within the normal limits using anti-MUC1 mouse monoclonal antibody. (Heat-induced epitope retrieval by 10mM citric buffer, pH6.0, 120°C for 3min, M00187-2)

Immunohistochemical staining of paraffin-embedded Adenocarcinoma of Human ovary tissue using anti-MUC1 mouse monoclonal antibody. (Heat-induced epitope retrieval by 10mM citric buffer, pH6.0, 120°C for 3min, M00187-2)

Immunohistochemical staining of paraffin-embedded Carcinoma of Human bladder tissue using anti-MUC1 mouse monoclonal antibody. (Heat-induced epitope retrieval by 10mM citric buffer, pH6.0, 120°C for 3min, M00187-2)

Immunofluorescent staining of MCF-7 cells using anti-MUC1 mouse monoclonal antibody.

Immunohistochemical staining of paraffin-embedded Carcinoma of Human lung tissue using anti-MUC1 mouse monoclonal antibody. (Heat-induced epitope retrieval by 10mM citric buffer, pH6.0, 120°C for 3min, M00187-2)








