| Western blot (WB): | 1:500-2000 |
| Immunohistochemistry (IHC): | 1:50-200 |
| Immunocytochemistry/Immunofluorescence (ICC/IF): | 1:50-200 |
| ImmunoPrecipitation (IP): | 1:20 |
| Flow Cytometry (FCM): | 1:20 |

Western blot analysis of anti-CA15-3/MUC1 antibody (BM4548). The sample well of each lane was loaded with 30 ug of sample under reducing conditions.
Lane 1: human MCF-7 whole cell lysates,
Lane 2: human Hela whole cell lysates,
Lane 3: rat lung tissue lysates,
Lane 4: rat stomach tissue lysates,
Lane 5: mouse lung tissue lysates,
Lane 6: mouse stomach tissue lysates.
After electrophoresis, proteins were transferred to a membrane. Then the membrane was incubated with rabbit anti-CA15-3/MUC1 antigen affinity purified monoclonal antibody (BM4548) at a dilution of 1:1000 and probed with a goat anti-rabbit IgG-HRP secondary antibody (Catalog # BA1054). The signal is developed using ECL Plus Western Blotting Substrate (Catalog # AR1197). A specific band was detected for CA15-3/MUC1 at approximately 17-30 kDa. The expected band size for CA15-3/MUC1 is at 122 kDa.

IHC analysis of MUC1 using anti-MUC1 antibody (BM4548).
MUC1 was detected in a paraffin-embedded section of human breast cnacer tissue. The tissue section was incubated with rabbit anti-MUC1 Antibody (BM4548) at a dilution of 1:200 and developed using HRP Conjugated Rabbit IgG Super Vision Assay Kit (Catalog # SV0002) with DAB (Catalog # AR1027) as the chromogen.

IHC analysis of MUC1 using anti-MUC1 antibody (BM4548).
MUC1 was detected in a paraffin-embedded section of human breast cnacer tissue. The tissue section was incubated with rabbit anti-MUC1 Antibody (BM4548) at a dilution of 1:200 and developed using HRP Conjugated Rabbit IgG Super Vision Assay Kit (Catalog # SV0002) with DAB (Catalog # AR1027) as the chromogen.

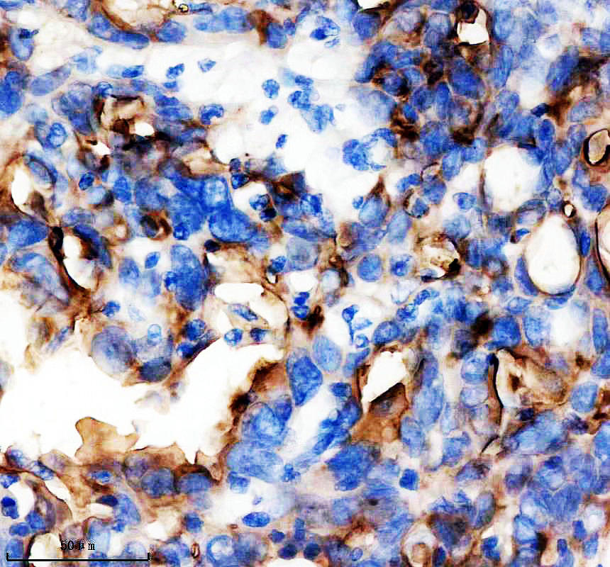
IHC analysis of MUC1 using anti-MUC1 antibody (BM4548).
MUC1 was detected in a paraffin-embedded section of human ovarian cnacer tissue. The tissue section was incubated with rabbit anti-MUC1 Antibody (BM4548) at a dilution of 1:200 and developed using HRP Conjugated Rabbit IgG Super Vision Assay Kit (Catalog # SV0002) with DAB (Catalog # AR1027) as the chromogen.

IHC analysis of MUC1 using anti-MUC1 antibody (BM4548).
MUC1 was detected in a paraffin-embedded section of mouse lung tissue. The tissue section was incubated with rabbit anti-MUC1 Antibody (BM4548) at a dilution of 1:200 and developed using HRP Conjugated Rabbit IgG Super Vision Assay Kit (Catalog # SV0002) with DAB (Catalog # AR1027) as the chromogen.

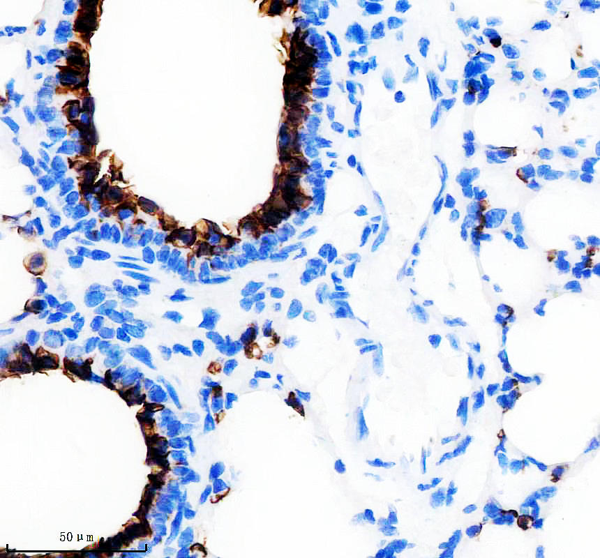
IHC analysis of MUC1 using anti-MUC1 antibody (BM4548).
MUC1 was detected in a paraffin-embedded section of rat lung tissue. The tissue section was incubated with rabbit anti-MUC1 Antibody (BM4548) at a dilution of 1:200 and developed using HRP Conjugated Rabbit IgG Super Vision Assay Kit (Catalog # SV0002) with DAB (Catalog # AR1027) as the chromogen.

Western blot analysis of anti-CA15-3/MUC1 antibody (BM4548). The sample well of each lane was loaded with 30 ug of sample under reducing conditions.
Lane 1: human MCF-7 whole cell lysates,
Lane 2: human Hela whole cell lysates,
Lane 3: rat lung tissue lysates,
Lane 4: rat stomach tissue lysates,
Lane 5: mouse lung tissue lysates,
Lane 6: mouse stomach tissue lysates.
After electrophoresis, proteins were transferred to a membrane. Then the membrane was incubated with rabbit anti-CA15-3/MUC1 antigen affinity purified monoclonal antibody (BM4548) at a dilution of 1:1000 and probed with a goat anti-rabbit IgG-HRP secondary antibody (Catalog # BA1054). The signal is developed using ECL Plus Western Blotting Substrate (Catalog # AR1197). A specific band was detected for CA15-3/MUC1 at approximately 17-30 kDa. The expected band size for CA15-3/MUC1 is at 122 kDa.

IHC analysis of MUC1 using anti-MUC1 antibody (BM4548).
MUC1 was detected in a paraffin-embedded section of human breast cnacer tissue. The tissue section was incubated with rabbit anti-MUC1 Antibody (BM4548) at a dilution of 1:200 and developed using HRP Conjugated Rabbit IgG Super Vision Assay Kit (Catalog # SV0002) with DAB (Catalog # AR1027) as the chromogen.

IHC analysis of MUC1 using anti-MUC1 antibody (BM4548).
MUC1 was detected in a paraffin-embedded section of human breast cnacer tissue. The tissue section was incubated with rabbit anti-MUC1 Antibody (BM4548) at a dilution of 1:200 and developed using HRP Conjugated Rabbit IgG Super Vision Assay Kit (Catalog # SV0002) with DAB (Catalog # AR1027) as the chromogen.

IHC analysis of MUC1 using anti-MUC1 antibody (BM4548).
MUC1 was detected in a paraffin-embedded section of human ovarian cnacer tissue. The tissue section was incubated with rabbit anti-MUC1 Antibody (BM4548) at a dilution of 1:200 and developed using HRP Conjugated Rabbit IgG Super Vision Assay Kit (Catalog # SV0002) with DAB (Catalog # AR1027) as the chromogen.

IHC analysis of MUC1 using anti-MUC1 antibody (BM4548).
MUC1 was detected in a paraffin-embedded section of mouse lung tissue. The tissue section was incubated with rabbit anti-MUC1 Antibody (BM4548) at a dilution of 1:200 and developed using HRP Conjugated Rabbit IgG Super Vision Assay Kit (Catalog # SV0002) with DAB (Catalog # AR1027) as the chromogen.

IHC analysis of MUC1 using anti-MUC1 antibody (BM4548).
MUC1 was detected in a paraffin-embedded section of rat lung tissue. The tissue section was incubated with rabbit anti-MUC1 Antibody (BM4548) at a dilution of 1:200 and developed using HRP Conjugated Rabbit IgG Super Vision Assay Kit (Catalog # SV0002) with DAB (Catalog # AR1027) as the chromogen.











