| Western blot (WB): | 1:500-2000 |
| Immunohistochemistry (IHC): | 1:50-400 |
| Immunofluorescence (IF): | 1:50-400 |
| Enzyme linked immunosorbent assay (ELISA): | 1:100-1000 |
| (Boiling the paraffin sections in 10mM citrate buffer,pH6.0,or PH8.0 EDTA repair liquid for 20 mins is required for the staining of formalin/paraffin sections.) Optimal working dilutions must be determined by end user. | |

Western blot analysis of CA15-3/MUC1 using anti-CA15-3/MUC1 antibody (A00187-2). The sample well of each lane was loaded with 30 ug of sample under reducing conditions.
Lane 1: human T-47D whole cell lysates,
Lane 2: human Hela whole cell lysates.
After electrophoresis, proteins were transferred to a membrane. Then the membrane was incubated with rabbit anti-CA15-3/MUC1 antigA03957-Aen affinity purified polyclonal antibody (A00187-2) at a dilution of 1:1000 and probed with a goat anti-rabbit IgG-HRP secondary antibody (Catalog # BA1054). The signal is developed using ECL Plus Western Blotting Substrate (Catalog # AR1197). A specific band was detected for CA15-3/MUC1 at approximately 25-30 kDa. The expected band size for CA15-3/MUC1 is at 122 kDa.

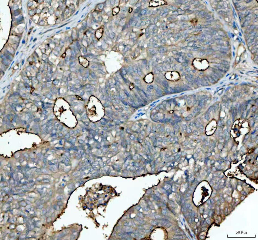
IHC analysis of CA15-3/MUC1 using anti-CA15-3/MUC1 antibody (A00187-2).
CA15-3/MUC1 was detected in a paraffin-embedded section of human invasive adenocarcinoma of the lung tissue. The tissue section was incubated with rabbit anti-CA15-3/MUC1 Antibody (A00187-2) at a dilution of 1:200 and developed using HRP Conjugated Rabbit IgG Super Vision Assay Kit (Catalog # SV0002) with DAB (Catalog # AR1027) as the chromogen.

IHC analysis of CA15-3/MUC1 using anti-CA15-3/MUC1 antibody (A00187-2).
CA15-3/MUC1 was detected in a paraffin-embedded section of human endometrioid adenocarcinoma tissue. The tissue section was incubated with rabbit anti-CA15-3/MUC1 Antibody (A00187-2) at a dilution of 1:200 and developed using HRP Conjugated Rabbit IgG Super Vision Assay Kit (Catalog # SV0002) with DAB (Catalog # AR1027) as the chromogen.

IF analysis of CA15-3/MUC1 using anti-CA15-3/MUC1 antibody (A00187-2).
CA15-3/MUC1 was detected in a paraffin-embedded section of human lung adenocarcinoma tissue. The tissue section was incubated with rabbit anti-CA15-3/MUC1 Antibody (A00187-2) at a dilution of 1:100. Cy3-conjugated Anti-rabbit IgG Secondary Antibody (red) (Catalog # BA1032) was used as secondary antibody. The section was counterstained with DAPI (Catalog # AR1176) (Blue).

Western blot analysis of CA15-3/MUC1 using anti-CA15-3/MUC1 antibody (A00187-2). The sample well of each lane was loaded with 30 ug of sample under reducing conditions.
Lane 1: human T-47D whole cell lysates,
Lane 2: human Hela whole cell lysates.
After electrophoresis, proteins were transferred to a membrane. Then the membrane was incubated with rabbit anti-CA15-3/MUC1 antigA03957-Aen affinity purified polyclonal antibody (A00187-2) at a dilution of 1:1000 and probed with a goat anti-rabbit IgG-HRP secondary antibody (Catalog # BA1054). The signal is developed using ECL Plus Western Blotting Substrate (Catalog # AR1197). A specific band was detected for CA15-3/MUC1 at approximately 25-30 kDa. The expected band size for CA15-3/MUC1 is at 122 kDa.

IHC analysis of CA15-3/MUC1 using anti-CA15-3/MUC1 antibody (A00187-2).
CA15-3/MUC1 was detected in a paraffin-embedded section of human invasive adenocarcinoma of the lung tissue. The tissue section was incubated with rabbit anti-CA15-3/MUC1 Antibody (A00187-2) at a dilution of 1:200 and developed using HRP Conjugated Rabbit IgG Super Vision Assay Kit (Catalog # SV0002) with DAB (Catalog # AR1027) as the chromogen.

IHC analysis of CA15-3/MUC1 using anti-CA15-3/MUC1 antibody (A00187-2).
CA15-3/MUC1 was detected in a paraffin-embedded section of human endometrioid adenocarcinoma tissue. The tissue section was incubated with rabbit anti-CA15-3/MUC1 Antibody (A00187-2) at a dilution of 1:200 and developed using HRP Conjugated Rabbit IgG Super Vision Assay Kit (Catalog # SV0002) with DAB (Catalog # AR1027) as the chromogen.

IF analysis of CA15-3/MUC1 using anti-CA15-3/MUC1 antibody (A00187-2).
CA15-3/MUC1 was detected in a paraffin-embedded section of human lung adenocarcinoma tissue. The tissue section was incubated with rabbit anti-CA15-3/MUC1 Antibody (A00187-2) at a dilution of 1:100. Cy3-conjugated Anti-rabbit IgG Secondary Antibody (red) (Catalog # BA1032) was used as secondary antibody. The section was counterstained with DAPI (Catalog # AR1176) (Blue).





