| Western blot (WB): | 1:500-2000 |
| Immunohistochemistry (IHC): | 1:50-400 |
| Enzyme linked immunosorbent assay (ELISA): | 1:100-1000 |
| (Boiling the paraffin sections in 10mM citrate buffer,pH6.0,or PH8.0 EDTA repair liquid for 20 mins is required for the staining of formalin/paraffin sections.) Optimal working dilutions must be determined by end user. | |

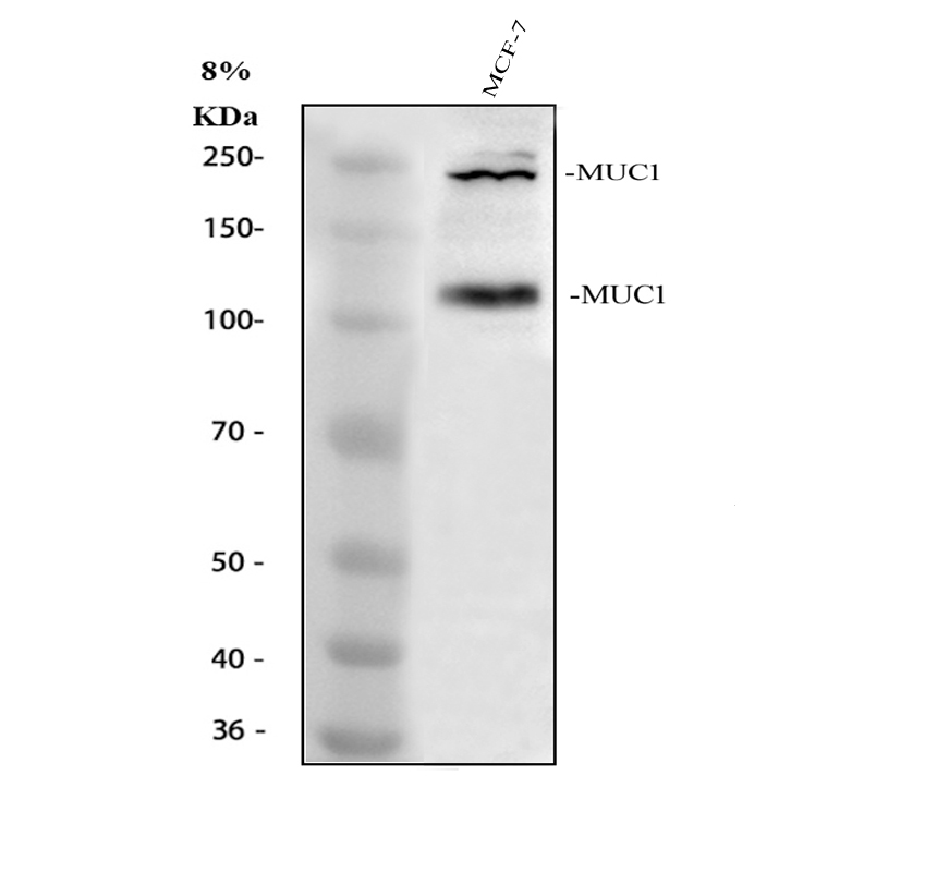
Western blot analysis of CA15-3/MUC1 using anti-CA15-3/MUC1 antibody (A00187). The sample well of each lane was loaded with 30 ug of sample under reducing conditions.
Lane 1: human MCF-7 whole cell lysates.
After electrophoresis, proteins were transferred to a membrane. Then the membrane was incubated with rabbit anti-CA15-3/MUC1 antigA03957-Aen affinity purified polyclonal antibody (A00187) at a dilution of 1:1000 and probed with a goat anti-rabbit IgG-HRP secondary antibody (Catalog # BA1054). The signal is developed using ECL Plus Western Blotting Substrate (Catalog # AR1197). A specific band was detected for CA15-3/MUC1 at approximately 120, 200 kDa. The expected band size for CA15-3/MUC1 is at 122 kDa.

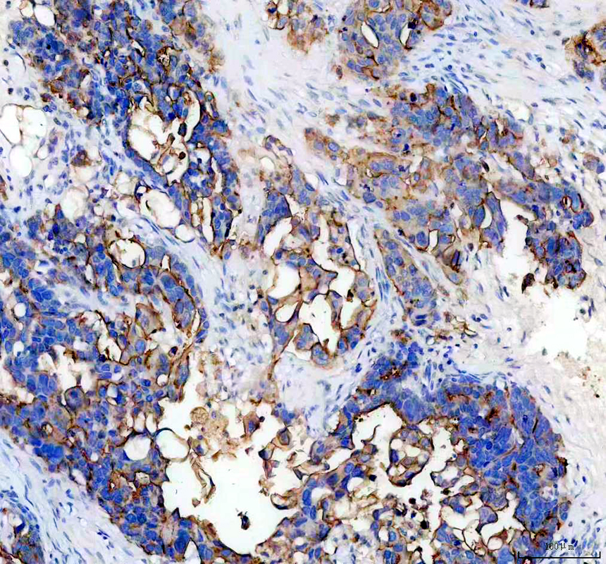
IHC analysis of CA15-3/MUC1 using anti-CA15-3/MUC1 antibody (A00187).
CA15-3/MUC1 was detected in a paraffin-embedded section of human breast cancer tissue. The tissue section was incubated with rabbit anti-CA15-3/MUC1 Antibody (A00187) at a dilution of 1:200 and developed using HRP Conjugated Rabbit IgG Super Vision Assay Kit (Catalog # SV0002) with DAB (Catalog # AR1027) as the chromogen.

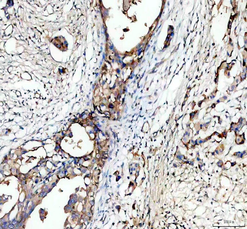
IHC analysis of CA15-3/MUC1 using anti-CA15-3/MUC1 antibody (A00187).
CA15-3/MUC1 was detected in a paraffin-embedded section of human ovarican cancer tissue. The tissue section was incubated with rabbit anti-CA15-3/MUC1 Antibody (A00187) at a dilution of 1:200 and developed using HRP Conjugated Rabbit IgG Super Vision Assay Kit (Catalog # SV0002) with DAB (Catalog # AR1027) as the chromogen.

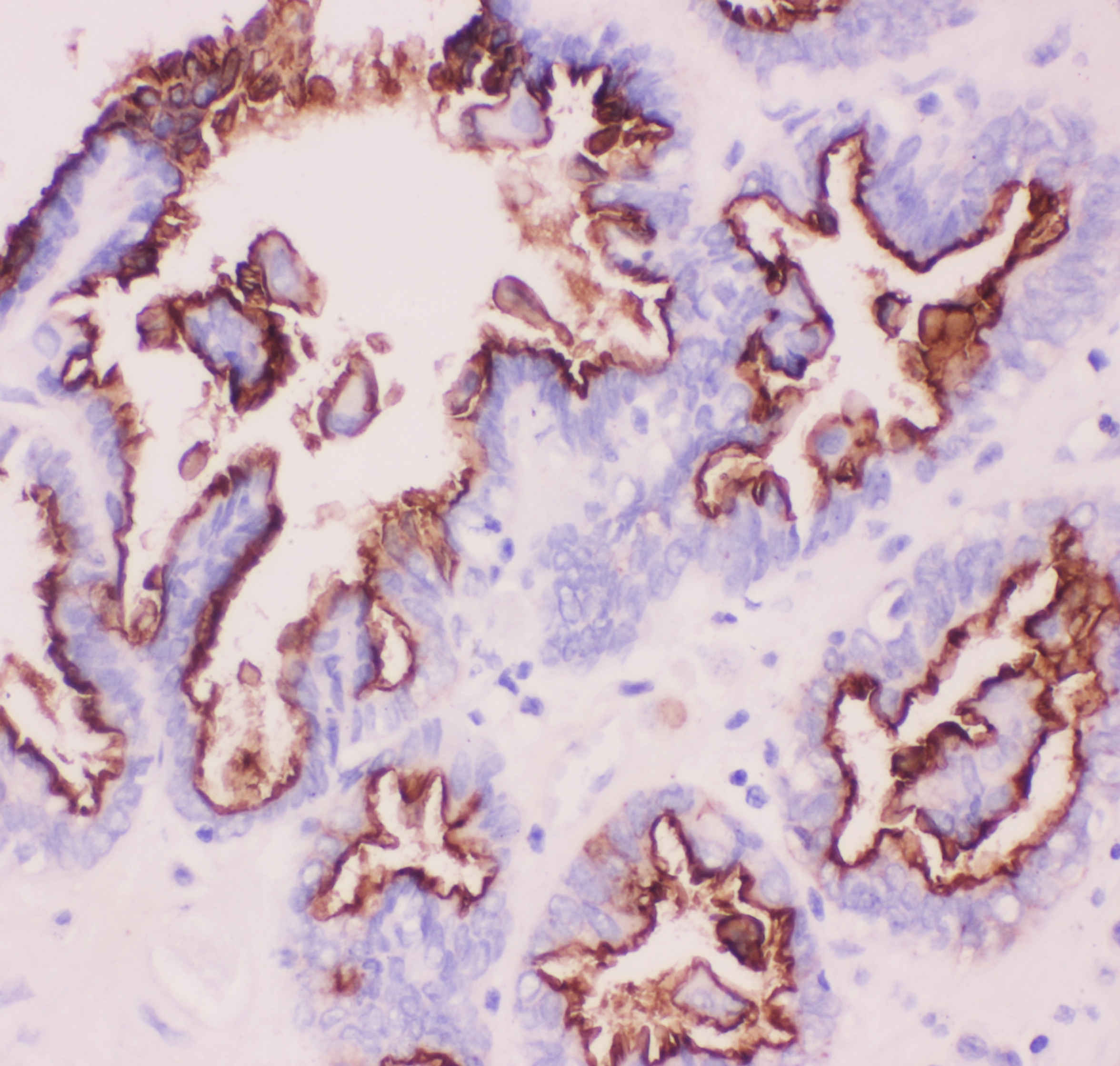
IHC analysis of CA15-3/MUC1 using anti-CA15-3/MUC1 antibody (A00187).
CA15-3/MUC1 was detected in a paraffin-embedded section of mouse lung tissue. The tissue section was incubated with rabbit anti-CA15-3/MUC1 Antibody (A00187) at a dilution of 1:200 and developed using HRP Conjugated Rabbit IgG Super Vision Assay Kit (Catalog # SV0002) with DAB (Catalog # AR1027) as the chromogen.

IHC analysis of CA15-3/MUC1 using anti-CA15-3/MUC1 antibody (A00187).
CA15-3/MUC1 was detected in a paraffin-embedded section of rat lung tissue. The tissue section was incubated with rabbit anti-CA15-3/MUC1 Antibody (A00187) at a dilution of 1:200 and developed using HRP Conjugated Rabbit IgG Super Vision Assay Kit (Catalog # SV0002) with DAB (Catalog # AR1027) as the chromogen.

Western blot analysis of CA15-3/MUC1 using anti-CA15-3/MUC1 antibody (A00187). The sample well of each lane was loaded with 30 ug of sample under reducing conditions.
Lane 1: human MCF-7 whole cell lysates.
After electrophoresis, proteins were transferred to a membrane. Then the membrane was incubated with rabbit anti-CA15-3/MUC1 antigA03957-Aen affinity purified polyclonal antibody (A00187) at a dilution of 1:1000 and probed with a goat anti-rabbit IgG-HRP secondary antibody (Catalog # BA1054). The signal is developed using ECL Plus Western Blotting Substrate (Catalog # AR1197). A specific band was detected for CA15-3/MUC1 at approximately 120, 200 kDa. The expected band size for CA15-3/MUC1 is at 122 kDa.

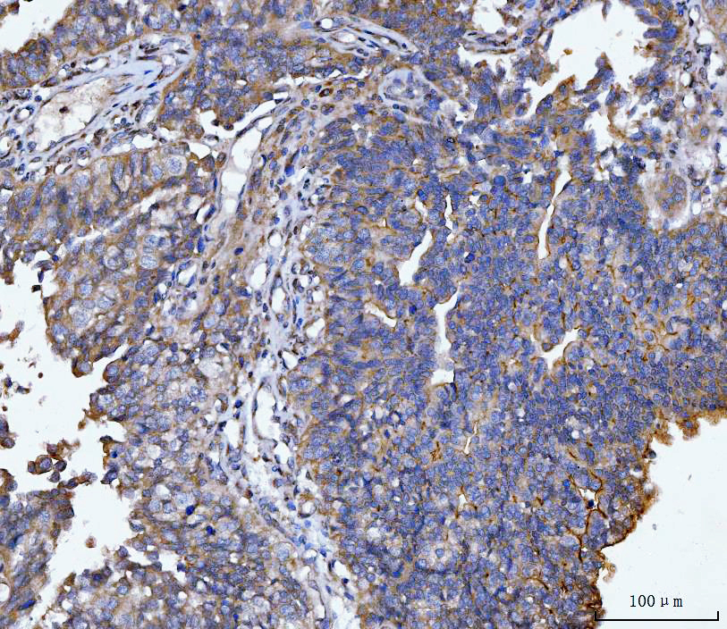
IHC analysis of CA15-3/MUC1 using anti-CA15-3/MUC1 antibody (A00187).
CA15-3/MUC1 was detected in a paraffin-embedded section of human breast cancer tissue. The tissue section was incubated with rabbit anti-CA15-3/MUC1 Antibody (A00187) at a dilution of 1:200 and developed using HRP Conjugated Rabbit IgG Super Vision Assay Kit (Catalog # SV0002) with DAB (Catalog # AR1027) as the chromogen.

IHC analysis of CA15-3/MUC1 using anti-CA15-3/MUC1 antibody (A00187).
CA15-3/MUC1 was detected in a paraffin-embedded section of human ovarican cancer tissue. The tissue section was incubated with rabbit anti-CA15-3/MUC1 Antibody (A00187) at a dilution of 1:200 and developed using HRP Conjugated Rabbit IgG Super Vision Assay Kit (Catalog # SV0002) with DAB (Catalog # AR1027) as the chromogen.

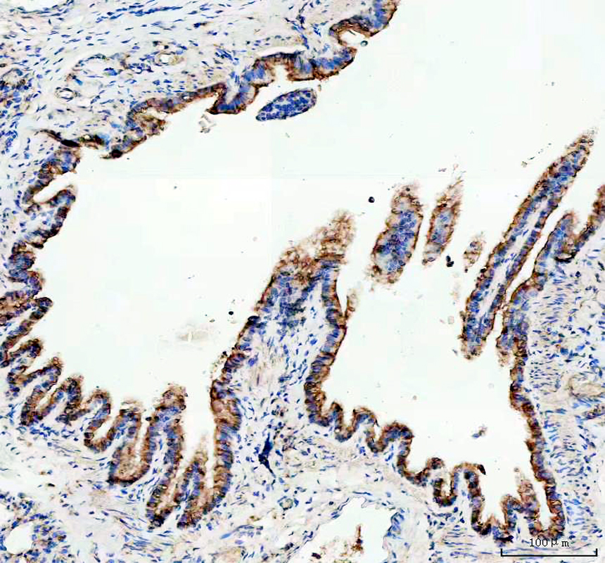
IHC analysis of CA15-3/MUC1 using anti-CA15-3/MUC1 antibody (A00187).
CA15-3/MUC1 was detected in a paraffin-embedded section of mouse lung tissue. The tissue section was incubated with rabbit anti-CA15-3/MUC1 Antibody (A00187) at a dilution of 1:200 and developed using HRP Conjugated Rabbit IgG Super Vision Assay Kit (Catalog # SV0002) with DAB (Catalog # AR1027) as the chromogen.

IHC analysis of CA15-3/MUC1 using anti-CA15-3/MUC1 antibody (A00187).
CA15-3/MUC1 was detected in a paraffin-embedded section of rat lung tissue. The tissue section was incubated with rabbit anti-CA15-3/MUC1 Antibody (A00187) at a dilution of 1:200 and developed using HRP Conjugated Rabbit IgG Super Vision Assay Kit (Catalog # SV0002) with DAB (Catalog # AR1027) as the chromogen.






