欢迎访问博士德生物官网! 服务热线:027-67845390 |
您当前的位置: 首页 > 产品中心 > 一抗 > 单克隆抗体

Anti-CA15-3/MUC1 Antibody (Clone#GP1.4)

Mouse monoclonal antibody

说明书 一键复制产品信息

筛选器: All IHC

BM0042

  • 50μl ¥1280 100μl ¥2180 150μl ¥2800
  • 货期: 现货
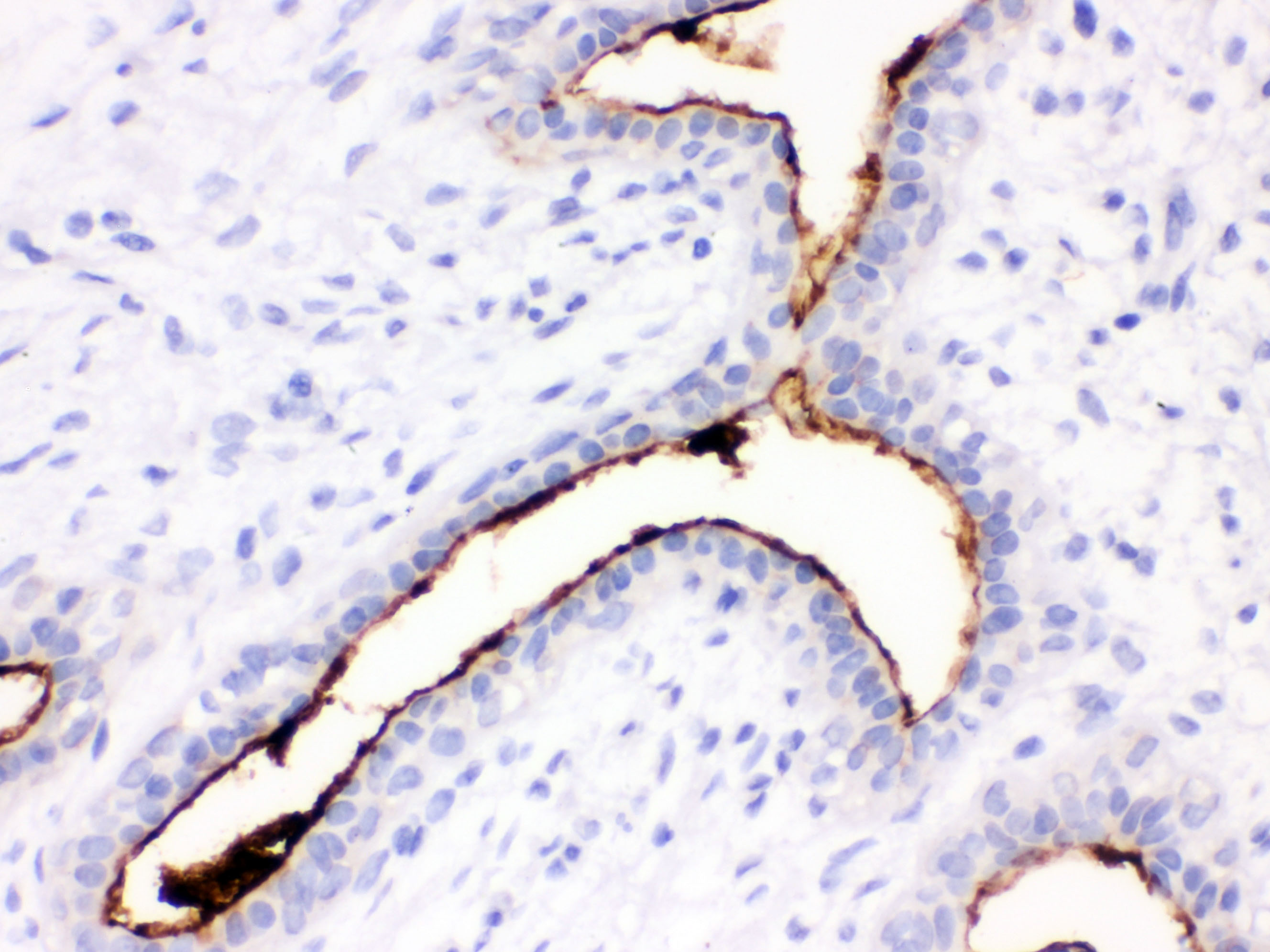
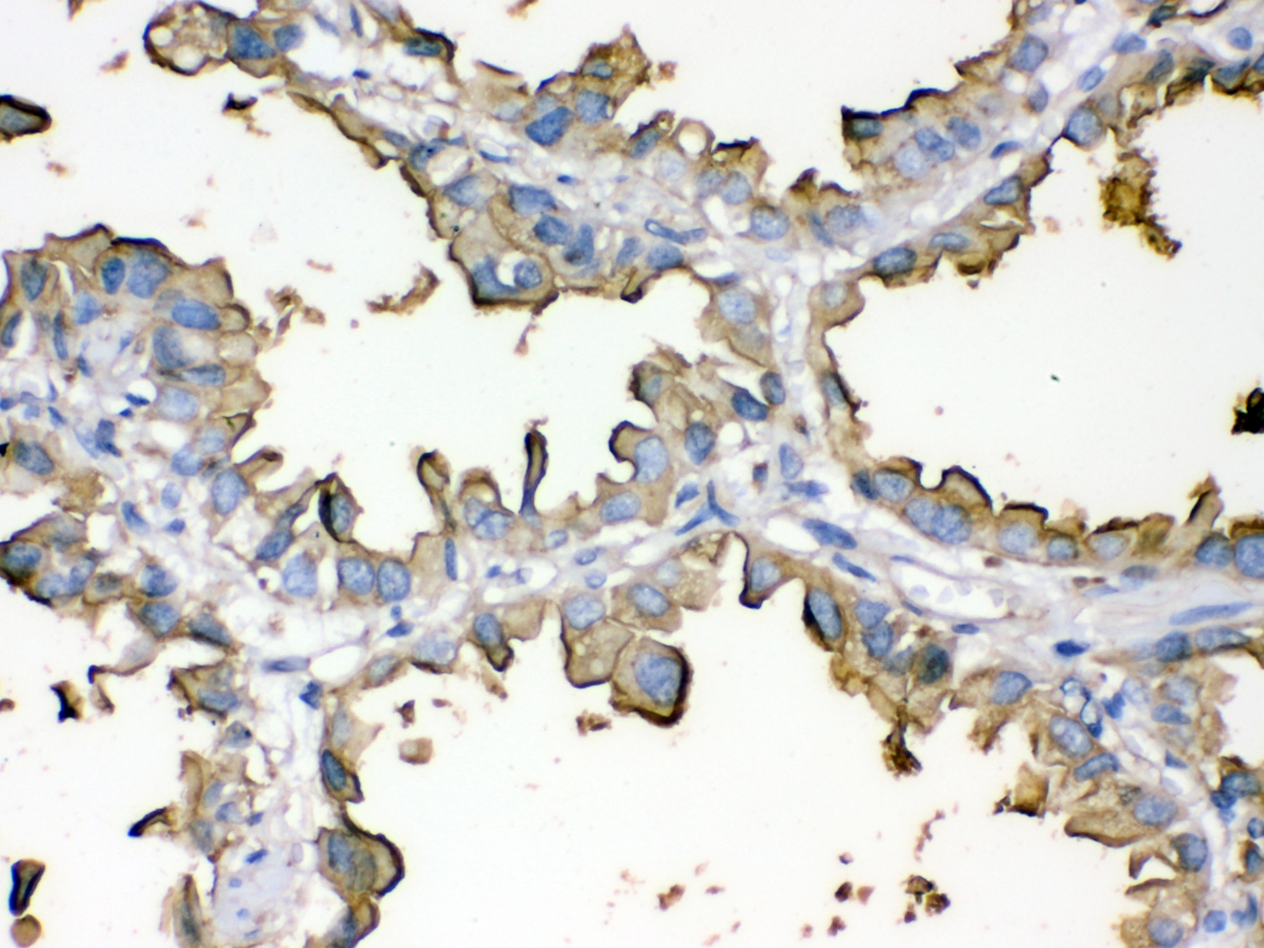
  • IHC(P): Human Intestinal Cancer Tissue

    all(3)
  • IHC(P): Human Lung Cancer Tissue

    all(3)
  • IHC(P): Human Mammary Cancer Tissue

    all(3)

产品简介 实验方案 引用文献 相关产品

产品简介>

产品名称
Anti-CA15-3/MUC1 Antibody (Clone#GP1.4)
规格/价格
50μl|1280 100μl|2180 150μl|2800
指标别称
CA15 3; CA153; CA15-3; Carcinoma associated mucin; CD227; EMA; Episialin; H23AG; KL-6; MAM6; MUC 1; MUC1; MUC1 beta; MUC1 CT; MUC1 NT; MUC1/CA15-3 C-terminal; Mucin 1; Peanut reactive urinary mucin; PEM; PEMT; Polymorphic epithelial mucin; PUM; Tumor associated mucin
产品类型
Monoclonal
检验物种
human
应用范围
IHC
基因名称
MUC1
克隆号
GP1.4
宿主
Mouse
抗体亚型
IgG1
免疫原
Human milk fat globule membranes.
成分
200ug/ml antibody with PBS ,0.02% NaN3 , 1mg BSA and 50% glycerol.
纯化方式
Ascites
浓度
200ug/ml
产品形态
Liquid
保存条件
12 months from date of receipt,-20℃ as supplied.
背景资料
MUC1 is a large cell surface mucin glycoprotein expressed by most glandular and ductal epithelial cells and some hematopoietic cell lineages. It is expressed on most secretory epithelium, including mammary gland and some hematopoietic cells. It is expressed abundantly in lactating mammary glands and overexpressed abundantly in >90% breast carcinomas and metastases. Transgenic MUC1 has been shown to associate with all four cebB receptors and localize with erbB1(EGFR) in lactating glands. The MUC1 gene contains seven exons and produces several different alternatively spliced variants. The major expressed form of MUC1 uses all seven exons and is a type I transmembrane protein with a large extracellular tandem repeat domain. The tandem repeat domain is highly O glycosylated and alterations in glycosylation have been shown in epithelial cancer cells.
Uniprot ID
P15941  
文献引用格式
CA15-3/MUC1 Antibody (Clone#GP1.4) (Boster Biological Technology, Wuhan, China. Catalog#BM0042)
应用释义
WB-蛋白质免疫印迹法; IHC- 免疫组织化学法; ICC/IF-免疫细胞荧光和免疫细胞化学; FCM-流式细胞术; ELISA-酶联免疫吸附测定; IP-免疫沉淀法; IF-免疫组织荧光法; ChIP-染色质免疫沉淀法;
推荐配套的二抗和检测试剂
Boster recommends Enhanced Chemiluminescent Kit with anti-Mouse IgG (EK1001) for Western blot, and HRP Conjugated anti-Mouse IgG Super Vision Assay Kit (SV0001-1) for IHC(P) and ICC.
基因名全称
mucin 1, cell surface associated
蛋白名全称
Mucin-1
推荐稀释比
Immunohistochemistry (IHC):1:50-400
(Boiling the paraffin sections in 10mM citrate buffer,pH6.0,or PH8.0 EDTA repair liquid for 20 mins is required for the staining of formalin/paraffin sections.) Optimal working dilutions must be determined by end user.

实验方案>

实验步骤

引用文献(0)>

    相关产品>

    成功添加到购物车

    查看购物车 继续购物

    Anti-CA15-3/MUC1 Antibody (Clone#GP1.4)

    筛选器: All IHC

    亮暗模式切换
    X
    亮暗模式切换
    X

    在线
    客服

    在线客服
    服务时间:08:30 - 17:30

    点击下列客服在线咨询:

    服务热线

    服务
    热线

    客服服务热线

    027-67845390
    客服服务热线

    扫码

    扫码
    咨询

    微信二维码 微信扫一扫立即咨询
    返回顶部 顶部