| Western blot (WB): | 1:500-2000 |
| Immunohistochemistry (IHC): | 1:50-400 |
| (Boiling the paraffin sections in 10mM citrate buffer,pH6.0,or PH8.0 EDTA repair liquid for 20 mins is required for the staining of formalin/paraffin sections.) Optimal working dilutions must be determined by end user. | |

Western blot analysis of HNF4A using anti-HNF4A antibody (M00389-2). The sample well of each lane was loaded with 30 ug of sample under reducing conditions.
Lane 1: HEPG2 whole cell lysates,
Lane 2: rat liver ttissue lysates.
After electrophoresis, proteins were transferred to a membrane. Then the membrane was incubated with mouse anti-HNF4A antigen affinity purified monoclonal antibody (M00389-2) at a dilution of 1:1000 and probed with a goat anti-mouse IgG-HRP secondary antibody (Catalog # BA1050). The signal is developed using ECL Plus Western Blotting Substrate (Catalog # AR1197). A specific band was detected for HNF4A at approximately 53 kDa. The expected band size for HNF4A is at 53 kDa.

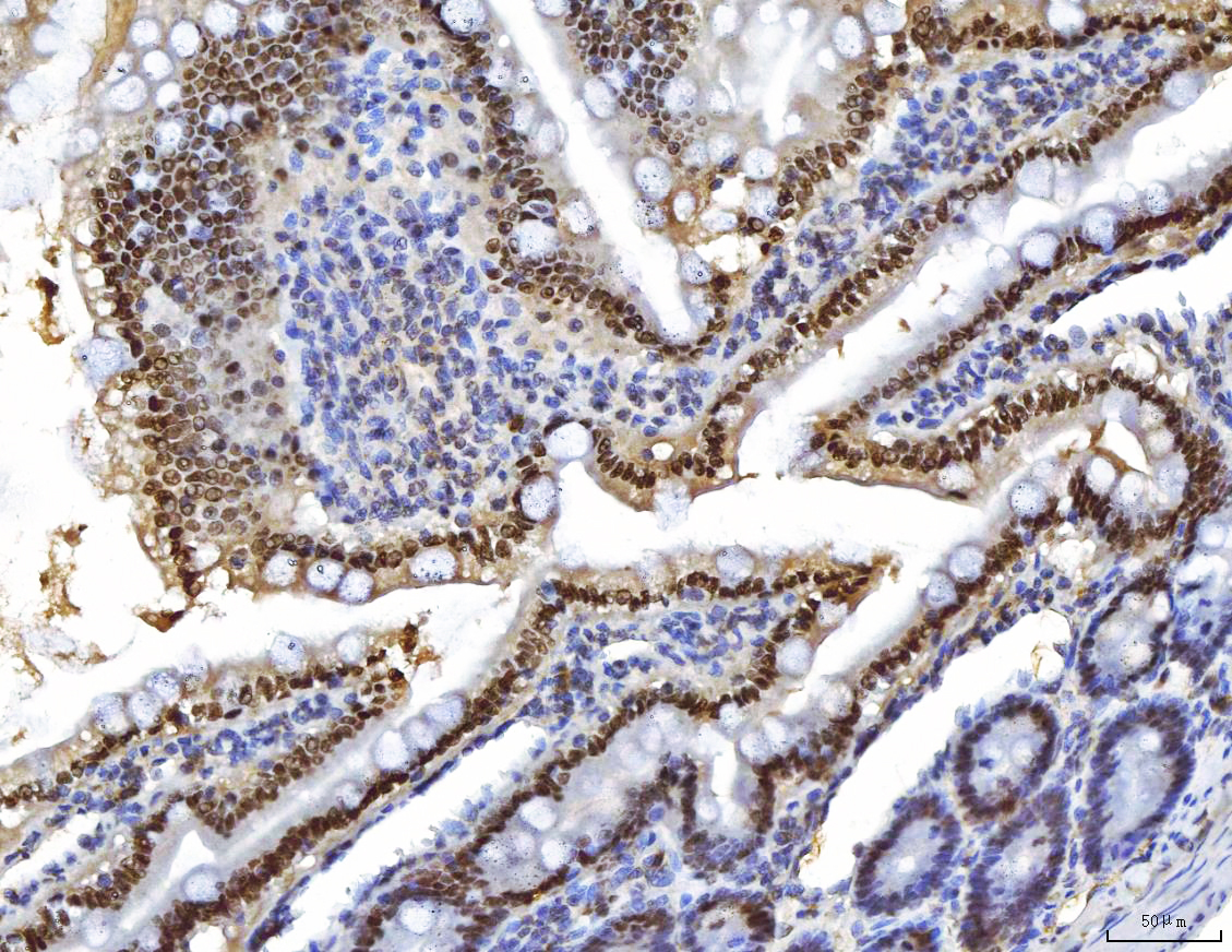
IHC analysis of HNF4A using anti-HNF4A antibody (M00389-2).
HNF4A was detected in a paraffin-embedded section of rat colon tissue. The tissue section was incubated with mouse anti-HNF4A Antibody (M00389-2) at a dilution of 1:200 and developed using HRP Conjugated mouse IgG Super Vision Assay Kit (Catalog # SV0001) with DAB (Catalog # AR1027) as the chromogen.

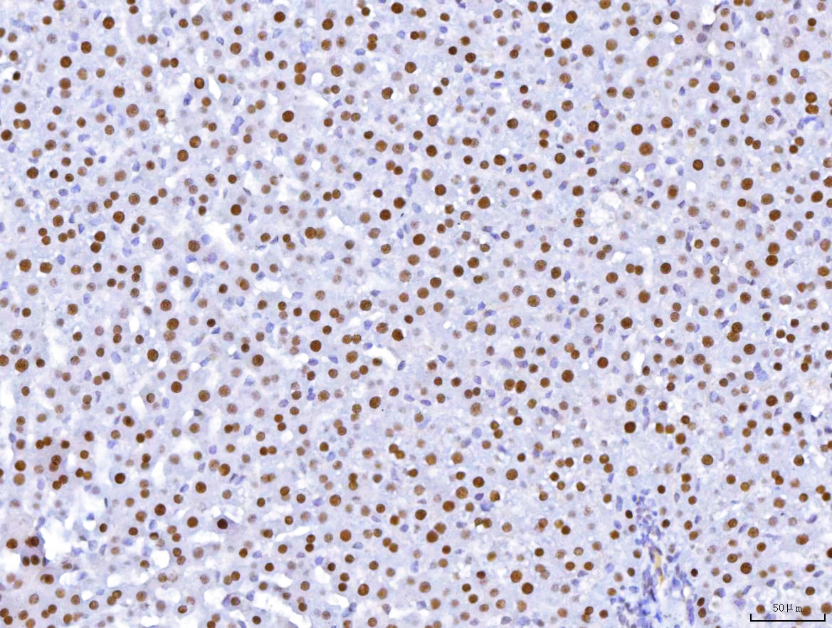
IHC analysis of HNF4A using anti-HNF4A antibody (M00389-2).
HNF4A was detected in a paraffin-embedded section of rat liver tissue. The tissue section was incubated with mouse anti-HNF4A Antibody (M00389-2) at a dilution of 1:200 and developed using HRP Conjugated mouse IgG Super Vision Assay Kit (Catalog # SV0001) with DAB (Catalog # AR1027) as the chromogen.

Western blot analysis of HNF4A using anti-HNF4A antibody (M00389-2). The sample well of each lane was loaded with 30 ug of sample under reducing conditions.
Lane 1: HEPG2 whole cell lysates,
Lane 2: rat liver ttissue lysates.
After electrophoresis, proteins were transferred to a membrane. Then the membrane was incubated with mouse anti-HNF4A antigen affinity purified monoclonal antibody (M00389-2) at a dilution of 1:1000 and probed with a goat anti-mouse IgG-HRP secondary antibody (Catalog # BA1050). The signal is developed using ECL Plus Western Blotting Substrate (Catalog # AR1197). A specific band was detected for HNF4A at approximately 53 kDa. The expected band size for HNF4A is at 53 kDa.

IHC analysis of HNF4A using anti-HNF4A antibody (M00389-2).
HNF4A was detected in a paraffin-embedded section of rat colon tissue. The tissue section was incubated with mouse anti-HNF4A Antibody (M00389-2) at a dilution of 1:200 and developed using HRP Conjugated mouse IgG Super Vision Assay Kit (Catalog # SV0001) with DAB (Catalog # AR1027) as the chromogen.

IHC analysis of HNF4A using anti-HNF4A antibody (M00389-2).
HNF4A was detected in a paraffin-embedded section of rat liver tissue. The tissue section was incubated with mouse anti-HNF4A Antibody (M00389-2) at a dilution of 1:200 and developed using HRP Conjugated mouse IgG Super Vision Assay Kit (Catalog # SV0001) with DAB (Catalog # AR1027) as the chromogen.


