| Western blot (WB): | 1:500-2000 |
| Immunohistochemistry (IHC): | 1:50-200 |
| ImmunoPrecipitation (IP): | 1:50 |

Western blot analysis of anti-HNF4A antibody (M00389-3). The sample well of each lane was loaded with 30 ug of sample under reducing conditions.
Lane 1: human HepG2 whole cell lysates,
Lane 2: human Caco-2 whole cell lysates,
Lane 3: human A549 whole cell lysates,
Lane 4: human Hela whole cell lysates,
Lane 5: rat liver tissue lysates,
Lane 6: mouse liver tissue lysates.
After electrophoresis, proteins were transferred to a membrane. Then the membrane was incubated with rabbit anti-HNF4A antigen affinity purified monoclonal antibody (M00389-3) at a dilution of 1:1000 and probed with a goat anti-rabbit IgG-HRP secondary antibody (Catalog # BA1054). The signal is developed using ECL Plus Western Blotting Substrate (Catalog # AR1197). A specific band was detected for HNF4A at approximately 53 kDa. The expected band size for HNF4A is at 53 kDa.

IHC analysis of HNF4A using anti-HNF4A antibody (M00389-3).
HNF4A was detected in a paraffin-embedded section of human colon cancer tissue. The tissue section was incubated with rabbit anti-HNF4A Antibody (M00389-3) at a dilution of 1:200 and developed using HRP Conjugated Rabbit IgG Super Vision Assay Kit (Catalog # SV0002) with DAB (Catalog # AR1027) as the chromogen.

IHC analysis of HNF4A using anti-HNF4A antibody (M00389-3).
HNF4A was detected in a paraffin-embedded section of human stomach cancer tissue. The tissue section was incubated with rabbit anti-HNF4A Antibody (M00389-3) at a dilution of 1:200 and developed using HRP Conjugated Rabbit IgG Super Vision Assay Kit (Catalog # SV0002) with DAB (Catalog # AR1027) as the chromogen.

IHC analysis of HNF4A using anti-HNF4A antibody (M00389-3).
HNF4A was detected in a paraffin-embedded section of mouse liver tissue. The tissue section was incubated with rabbit anti-HNF4A Antibody (M00389-3) at a dilution of 1:200 and developed using HRP Conjugated Rabbit IgG Super Vision Assay Kit (Catalog # SV0002) with DAB (Catalog # AR1027) as the chromogen.

IHC analysis of HNF4A using anti-HNF4A antibody (M00389-3).
HNF4A was detected in a paraffin-embedded section of rat liver tissue. The tissue section was incubated with rabbit anti-HNF4A Antibody (M00389-3) at a dilution of 1:200 and developed using HRP Conjugated Rabbit IgG Super Vision Assay Kit (Catalog # SV0002) with DAB (Catalog # AR1027) as the chromogen.

Western blot analysis of anti-HNF4A antibody (M00389-3). The sample well of each lane was loaded with 30 ug of sample under reducing conditions.
Lane 1: human HepG2 whole cell lysates,
Lane 2: human Caco-2 whole cell lysates,
Lane 3: human A549 whole cell lysates,
Lane 4: human Hela whole cell lysates,
Lane 5: rat liver tissue lysates,
Lane 6: mouse liver tissue lysates.
After electrophoresis, proteins were transferred to a membrane. Then the membrane was incubated with rabbit anti-HNF4A antigen affinity purified monoclonal antibody (M00389-3) at a dilution of 1:1000 and probed with a goat anti-rabbit IgG-HRP secondary antibody (Catalog # BA1054). The signal is developed using ECL Plus Western Blotting Substrate (Catalog # AR1197). A specific band was detected for HNF4A at approximately 53 kDa. The expected band size for HNF4A is at 53 kDa.

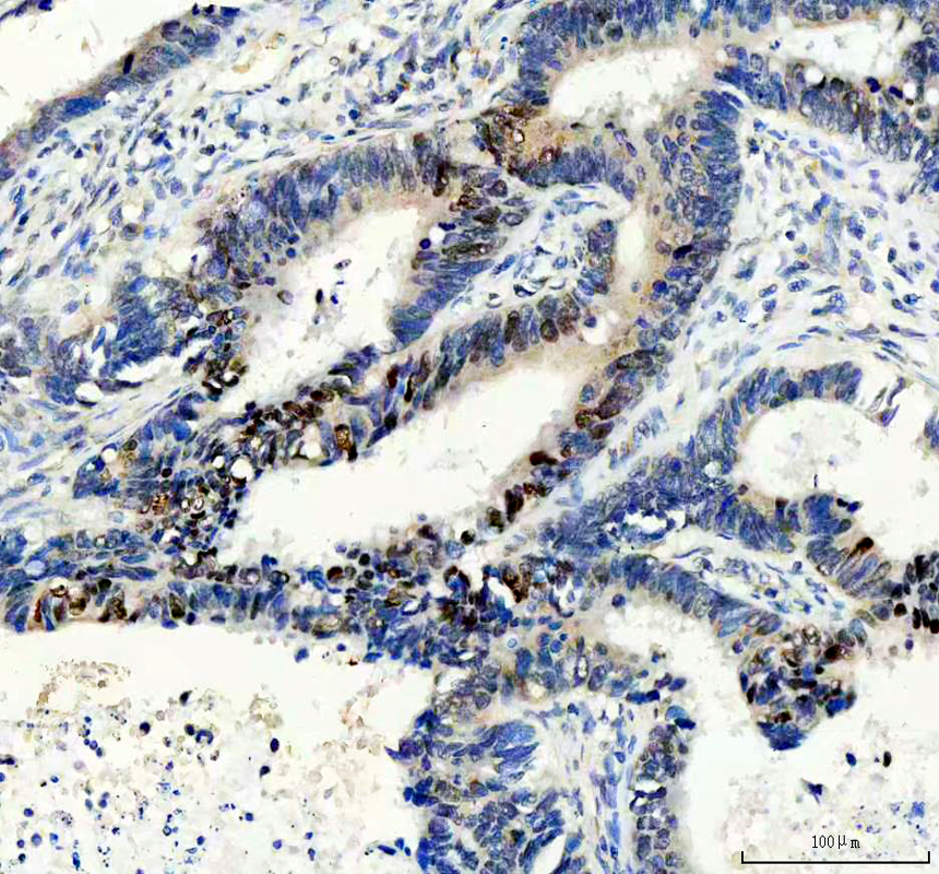
IHC analysis of HNF4A using anti-HNF4A antibody (M00389-3).
HNF4A was detected in a paraffin-embedded section of human colon cancer tissue. The tissue section was incubated with rabbit anti-HNF4A Antibody (M00389-3) at a dilution of 1:200 and developed using HRP Conjugated Rabbit IgG Super Vision Assay Kit (Catalog # SV0002) with DAB (Catalog # AR1027) as the chromogen.

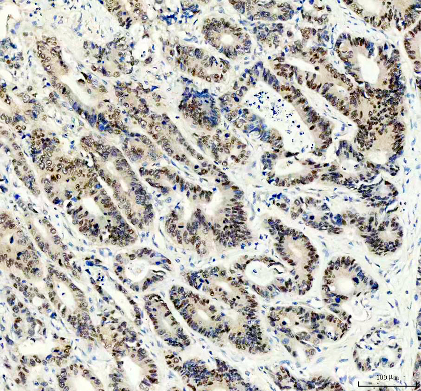
IHC analysis of HNF4A using anti-HNF4A antibody (M00389-3).
HNF4A was detected in a paraffin-embedded section of human stomach cancer tissue. The tissue section was incubated with rabbit anti-HNF4A Antibody (M00389-3) at a dilution of 1:200 and developed using HRP Conjugated Rabbit IgG Super Vision Assay Kit (Catalog # SV0002) with DAB (Catalog # AR1027) as the chromogen.

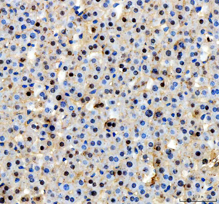
IHC analysis of HNF4A using anti-HNF4A antibody (M00389-3).
HNF4A was detected in a paraffin-embedded section of mouse liver tissue. The tissue section was incubated with rabbit anti-HNF4A Antibody (M00389-3) at a dilution of 1:200 and developed using HRP Conjugated Rabbit IgG Super Vision Assay Kit (Catalog # SV0002) with DAB (Catalog # AR1027) as the chromogen.

IHC analysis of HNF4A using anti-HNF4A antibody (M00389-3).
HNF4A was detected in a paraffin-embedded section of rat liver tissue. The tissue section was incubated with rabbit anti-HNF4A Antibody (M00389-3) at a dilution of 1:200 and developed using HRP Conjugated Rabbit IgG Super Vision Assay Kit (Catalog # SV0002) with DAB (Catalog # AR1027) as the chromogen.






