| Western blot (WB): | 1:500-2000 |
| Immunohistochemistry (IHC): | 1:50-400 |
| Immunocytochemistry/Immunofluorescence (ICC/IF): | 1:50-400 |
| Flow Cytometry (Fixed): | 1:50-200 |
| (Boiling the paraffin sections in 10mM citrate buffer,pH6.0,or PH8.0 EDTA repair liquid for 20 mins is required for the staining of formalin/paraffin sections.) Optimal working dilutions must be determined by end user. | |

Western blot analysis of HNF4A using anti-HNF4A antibody (PB9215). The sample well of each lane was loaded with 30 ug of sample under reducing conditions.
Lane 1: HEPG2 whole cell lysates.
After electrophoresis, proteins were transferred to a membrane. Then the membrane was incubated with rabbit anti-HNF4A antigen affinity purified polyclonal antibody (PB9215) at a dilution of 1:1000 and probed with a goat anti-rabbit IgG-HRP secondary antibody (Catalog # BA1054). The signal is developed using ECL Plus Western Blotting Substrate (Catalog # AR1197). A specific band was detected for HNF4A at approximately 53 kDa. The expected band size for HNF4A is at 53 kDa.

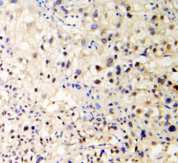
IHC analysis of HNF4A using anti-HNF4A antibody (PB9215).
HNF4A was detected in a paraffin-embedded section of human liver cancer tissue. The tissue section was incubated with rabbit anti-HNF4A Antibody (PB9215) at a dilution of 1:200 and developed using HRP Conjugated Rabbit IgG Super Vision Assay Kit (Catalog # SV0002) with DAB (Catalog # AR1027) as the chromogen.

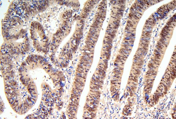
IHC analysis of HNF4A using anti-HNF4A antibody (PB9215).
HNF4A was detected in a paraffin-embedded section of human intestinal cancer tissue. The tissue section was incubated with rabbit anti-HNF4A Antibody (PB9215) at a dilution of 1:200 and developed using HRP Conjugated Rabbit IgG Super Vision Assay Kit (Catalog # SV0002) with DAB (Catalog # AR1027) as the chromogen.

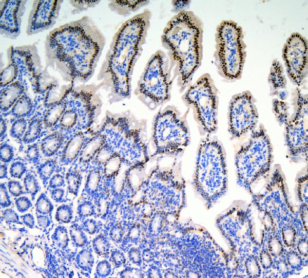
IHC analysis of HNF4A using anti-HNF4A antibody (PB9215).
HNF4A was detected in a paraffin-embedded section of mouse intestine tissue. The tissue section was incubated with rabbit anti-HNF4A Antibody (PB9215) at a dilution of 1:200 and developed using HRP Conjugated Rabbit IgG Super Vision Assay Kit (Catalog # SV0002) with DAB (Catalog # AR1027) as the chromogen.

IHC analysis of HNF4A using anti-HNF4A antibody (PB9215).
HNF4A was detected in a paraffin-embedded section of mouse liver tissue. The tissue section was incubated with rabbit anti-HNF4A Antibody (PB9215) at a dilution of 1:200 and developed using HRP Conjugated Rabbit IgG Super Vision Assay Kit (Catalog # SV0002) with DAB (Catalog # AR1027) as the chromogen.

IHC analysis of HNF4A using anti-HNF4A antibody (PB9215).
HNF4A was detected in a paraffin-embedded section of rat liver tissue. The tissue section was incubated with rabbit anti-HNF4A Antibody (PB9215) at a dilution of 1:200 and developed using HRP Conjugated Rabbit IgG Super Vision Assay Kit (Catalog # SV0002) with DAB (Catalog # AR1027) as the chromogen.

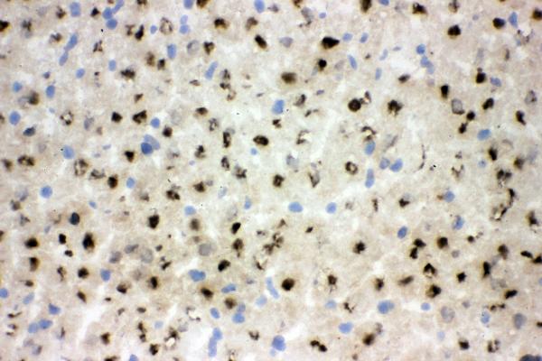
IHC analysis of HNF4A using anti-HNF4A antibody (PB9215).
HNF4A was detected in frozen section of mouse kidney tissue. Biotinylated goat anti-rabbit IgG was used as secondary antibody. The tissue section was incubated with rabbit anti-HNF4A Antibody (PB9215) at a dilution of 1:200 and developed using Strepavidin-Biotin-Complex (SABC) (Catalog # SA1022) with DAB (Catalog # AR1027) as the chromogen.

ICC/IF analysis of HNF-4-alpha using anti- HNF-4-alpha antibody (PB9215).HNF-4-alpha was detected in immunocytochemical section of HEPG2 cell. Enzyme antigen retrieval was performed using IHC enzyme antigen retrieval reagent (AR0022) for 15 mins. The cells were blocked with 10% goat serum. And then incubated with 2μg/mL rabbit anti- HNF-4-alpha Antibody (PB9215) overnight at 4°C. Fluoro488 Conjugated Goat Anti-Rabbit IgG (BA1127) was used as secondary antibody at 1:100 dilution and incubated for 30 minutes at 37°C. The section was counterstained with DAPI. Visualize using a fluorescence microscope and filter sets appropriate for the label used.

Flow Cytometry analysis of HEPG2 cells using anti- HNF-4-alpha antibody (PB9215).Overlay histogram showing HEPG2 cells stained with PB9215 (Blue line).The cells were blocked with 10% normal goat serum. And then incubated with rabbit anti-HNF-4-alpha Antibody (PB9215, 1:100) for 30 min at 20°C. Fluoro488 conjugated goat anti-rabbit IgG (BA1127, 1:100) was used as secondary antibody for 30 minutes at 20°C. Isotype control antibody (Green line) was rabbit IgG (1:100) used under the same conditions. Unlabelled sample (Red line) was also used as a control.

IHC analysis of HNF4A using anti-HNF4A antibody (PB9215).
HNF4A was detected in frozen section of rat liver tissue. Biotinylated goat anti-rabbit IgG was used as secondary antibody. The tissue section was incubated with rabbit anti-HNF4A Antibody (PB9215) at a dilution of 1:200 and developed using Strepavidin-Biotin-Complex (SABC) (Catalog # SA1022) with DAB (Catalog # AR1027) as the chromogen.

Western blot analysis of HNF4A using anti-HNF4A antibody (PB9215). The sample well of each lane was loaded with 30 ug of sample under reducing conditions.
Lane 1: HEPG2 whole cell lysates.
After electrophoresis, proteins were transferred to a membrane. Then the membrane was incubated with rabbit anti-HNF4A antigen affinity purified polyclonal antibody (PB9215) at a dilution of 1:1000 and probed with a goat anti-rabbit IgG-HRP secondary antibody (Catalog # BA1054). The signal is developed using ECL Plus Western Blotting Substrate (Catalog # AR1197). A specific band was detected for HNF4A at approximately 53 kDa. The expected band size for HNF4A is at 53 kDa.

IHC analysis of HNF4A using anti-HNF4A antibody (PB9215).
HNF4A was detected in a paraffin-embedded section of human liver cancer tissue. The tissue section was incubated with rabbit anti-HNF4A Antibody (PB9215) at a dilution of 1:200 and developed using HRP Conjugated Rabbit IgG Super Vision Assay Kit (Catalog # SV0002) with DAB (Catalog # AR1027) as the chromogen.

IHC analysis of HNF4A using anti-HNF4A antibody (PB9215).
HNF4A was detected in a paraffin-embedded section of human intestinal cancer tissue. The tissue section was incubated with rabbit anti-HNF4A Antibody (PB9215) at a dilution of 1:200 and developed using HRP Conjugated Rabbit IgG Super Vision Assay Kit (Catalog # SV0002) with DAB (Catalog # AR1027) as the chromogen.

IHC analysis of HNF4A using anti-HNF4A antibody (PB9215).
HNF4A was detected in a paraffin-embedded section of mouse intestine tissue. The tissue section was incubated with rabbit anti-HNF4A Antibody (PB9215) at a dilution of 1:200 and developed using HRP Conjugated Rabbit IgG Super Vision Assay Kit (Catalog # SV0002) with DAB (Catalog # AR1027) as the chromogen.

IHC analysis of HNF4A using anti-HNF4A antibody (PB9215).
HNF4A was detected in a paraffin-embedded section of mouse liver tissue. The tissue section was incubated with rabbit anti-HNF4A Antibody (PB9215) at a dilution of 1:200 and developed using HRP Conjugated Rabbit IgG Super Vision Assay Kit (Catalog # SV0002) with DAB (Catalog # AR1027) as the chromogen.

IHC analysis of HNF4A using anti-HNF4A antibody (PB9215).
HNF4A was detected in a paraffin-embedded section of rat liver tissue. The tissue section was incubated with rabbit anti-HNF4A Antibody (PB9215) at a dilution of 1:200 and developed using HRP Conjugated Rabbit IgG Super Vision Assay Kit (Catalog # SV0002) with DAB (Catalog # AR1027) as the chromogen.

IHC analysis of HNF4A using anti-HNF4A antibody (PB9215).
HNF4A was detected in frozen section of mouse kidney tissue. Biotinylated goat anti-rabbit IgG was used as secondary antibody. The tissue section was incubated with rabbit anti-HNF4A Antibody (PB9215) at a dilution of 1:200 and developed using Strepavidin-Biotin-Complex (SABC) (Catalog # SA1022) with DAB (Catalog # AR1027) as the chromogen.

ICC/IF analysis of HNF-4-alpha using anti- HNF-4-alpha antibody (PB9215).HNF-4-alpha was detected in immunocytochemical section of HEPG2 cell. Enzyme antigen retrieval was performed using IHC enzyme antigen retrieval reagent (AR0022) for 15 mins. The cells were blocked with 10% goat serum. And then incubated with 2μg/mL rabbit anti- HNF-4-alpha Antibody (PB9215) overnight at 4°C. Fluoro488 Conjugated Goat Anti-Rabbit IgG (BA1127) was used as secondary antibody at 1:100 dilution and incubated for 30 minutes at 37°C. The section was counterstained with DAPI. Visualize using a fluorescence microscope and filter sets appropriate for the label used.

Flow Cytometry analysis of HEPG2 cells using anti- HNF-4-alpha antibody (PB9215).Overlay histogram showing HEPG2 cells stained with PB9215 (Blue line).The cells were blocked with 10% normal goat serum. And then incubated with rabbit anti-HNF-4-alpha Antibody (PB9215, 1:100) for 30 min at 20°C. Fluoro488 conjugated goat anti-rabbit IgG (BA1127, 1:100) was used as secondary antibody for 30 minutes at 20°C. Isotype control antibody (Green line) was rabbit IgG (1:100) used under the same conditions. Unlabelled sample (Red line) was also used as a control.

IHC analysis of HNF4A using anti-HNF4A antibody (PB9215).
HNF4A was detected in frozen section of rat liver tissue. Biotinylated goat anti-rabbit IgG was used as secondary antibody. The tissue section was incubated with rabbit anti-HNF4A Antibody (PB9215) at a dilution of 1:200 and developed using Strepavidin-Biotin-Complex (SABC) (Catalog # SA1022) with DAB (Catalog # AR1027) as the chromogen.









