| Western blot (WB): | 1:500-2000 |
| Immunohistochemistry (IHC): | 1:50-200 |
| Immunocytochemistry/Immunofluorescence (ICC/IF): | 1:50-200 |
| Flow Cytometry (FCM): | 1:20 |

Western blot analysis of anti-P-Myc antibody (BM4469). The sample well of each lane was loaded with 30 ug of sample under reducing conditions.
Lane 1: human Hela whole cell lysates,
Lane 2: human 293T whole cell lysates,
Lane 3: human HepG2 whole cell lysates,
Lane 4: human Jurkat whole cell lysates.
After electrophoresis, proteins were transferred to a membrane. Then the membrane was incubated with rabbit anti-P-Myc antigen affinity purified monoclonal antibody (BM4469) at a dilution of 1:1000 and probed with a goat anti-rabbit IgG-HRP secondary antibody (Catalog # BA1054). The signal is developed using ECL Plus Western Blotting Substrate (Catalog # AR1197). A specific band was detected for P-Myc at approximately 57 kDa. The expected band size for P-Myc is at 49 kDa.

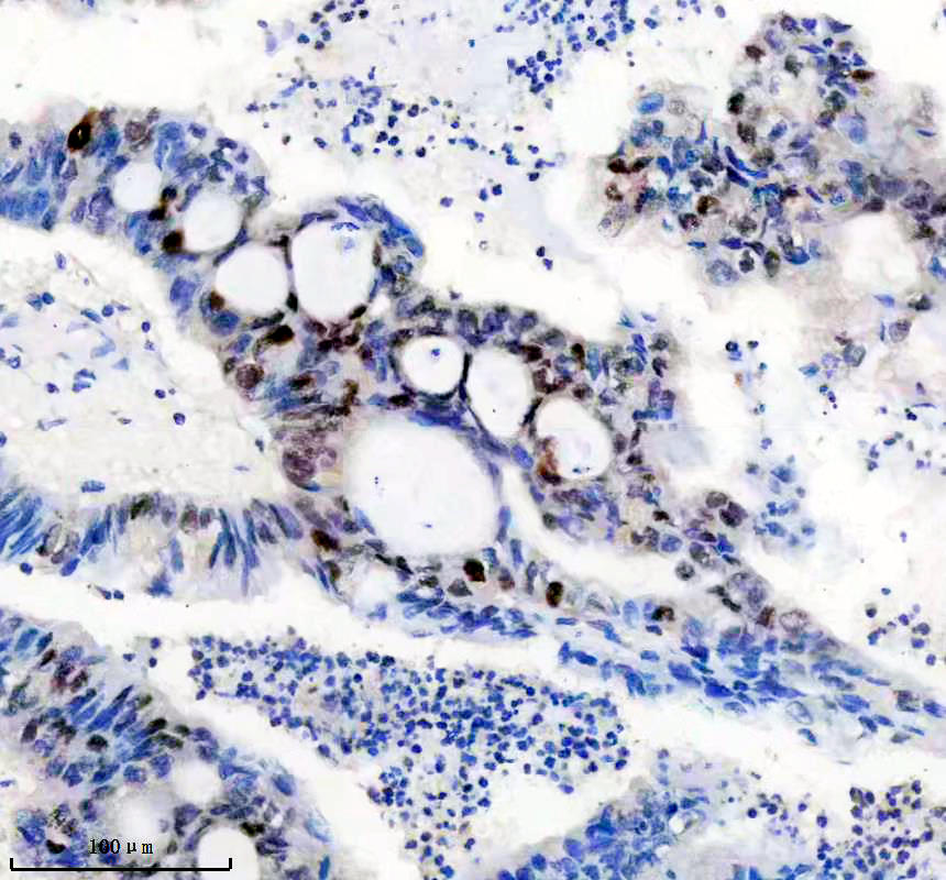
IHC analysis of P-Myc using anti-P-Myc antibody (BM4469).
P-Myc was detected in a paraffin-embedded section of human colon cancer tissue. The tissue section was incubated with rabbit anti-P-Myc Antibody (BM4469) at a dilution of 1:200 and developed using HRP Conjugated Rabbit IgG Super Vision Assay Kit (Catalog # SV0002) with DAB (Catalog # AR1027) as the chromogen.

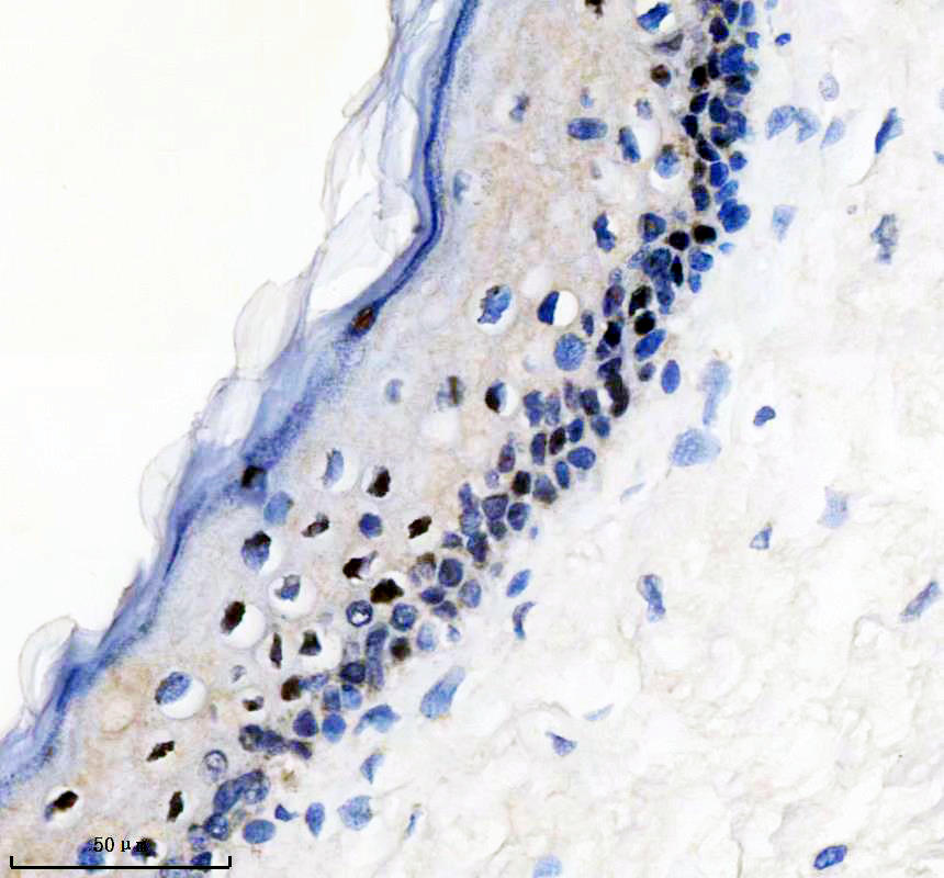
IHC analysis of P-Myc using anti-P-Myc antibody (BM4469).
P-Myc was detected in a paraffin-embedded section of human skin cancer tissue. The tissue section was incubated with rabbit anti-P-Myc Antibody (BM4469) at a dilution of 1:200 and developed using HRP Conjugated Rabbit IgG Super Vision Assay Kit (Catalog # SV0002) with DAB (Catalog # AR1027) as the chromogen.

Western blot analysis of anti-P-Myc antibody (BM4469). The sample well of each lane was loaded with 30 ug of sample under reducing conditions.
Lane 1: human Hela whole cell lysates,
Lane 2: human 293T whole cell lysates,
Lane 3: human HepG2 whole cell lysates,
Lane 4: human Jurkat whole cell lysates.
After electrophoresis, proteins were transferred to a membrane. Then the membrane was incubated with rabbit anti-P-Myc antigen affinity purified monoclonal antibody (BM4469) at a dilution of 1:1000 and probed with a goat anti-rabbit IgG-HRP secondary antibody (Catalog # BA1054). The signal is developed using ECL Plus Western Blotting Substrate (Catalog # AR1197). A specific band was detected for P-Myc at approximately 57 kDa. The expected band size for P-Myc is at 49 kDa.

IHC analysis of P-Myc using anti-P-Myc antibody (BM4469).
P-Myc was detected in a paraffin-embedded section of human colon cancer tissue. The tissue section was incubated with rabbit anti-P-Myc Antibody (BM4469) at a dilution of 1:200 and developed using HRP Conjugated Rabbit IgG Super Vision Assay Kit (Catalog # SV0002) with DAB (Catalog # AR1027) as the chromogen.

IHC analysis of P-Myc using anti-P-Myc antibody (BM4469).
P-Myc was detected in a paraffin-embedded section of human skin cancer tissue. The tissue section was incubated with rabbit anti-P-Myc Antibody (BM4469) at a dilution of 1:200 and developed using HRP Conjugated Rabbit IgG Super Vision Assay Kit (Catalog # SV0002) with DAB (Catalog # AR1027) as the chromogen.






