| Western blot (WB): | 1:500-2000 |
| Immunohistochemistry (IHC): | 1:50-200 |
| Immunocytochemistry/Immunofluorescence (ICC/IF): | 1:50-200 |
| ImmunoPrecipitation (IP): | 1:20 |
| Flow Cytometry (FCM): | 1:20 |

Western blot analysis of anti-PRNP antibody (BM4454). The sample well of each lane was loaded with 30 ug of sample under reducing conditions.
Lane 1: human Hela whole cell lysates,
Lane 2: human MCF-7 whole cell lysates,
Lane 3: human 293T whole cell lysates,
Lane 4: human K562 whole cell lysates.
After electrophoresis, proteins were transferred to a membrane. Then the membrane was incubated with rabbit anti-PRNP antigen affinity purified monoclonal antibody (BM4454) at a dilution of 1:1000 and probed with a goat anti-rabbit IgG-HRP secondary antibody (Catalog # BA1054). The signal is developed using ECL Plus Western Blotting Substrate (Catalog # AR1197). A specific band was detected for PRNP at approximately 27 kDa. The expected band size for PRNP is at 23 kDa.

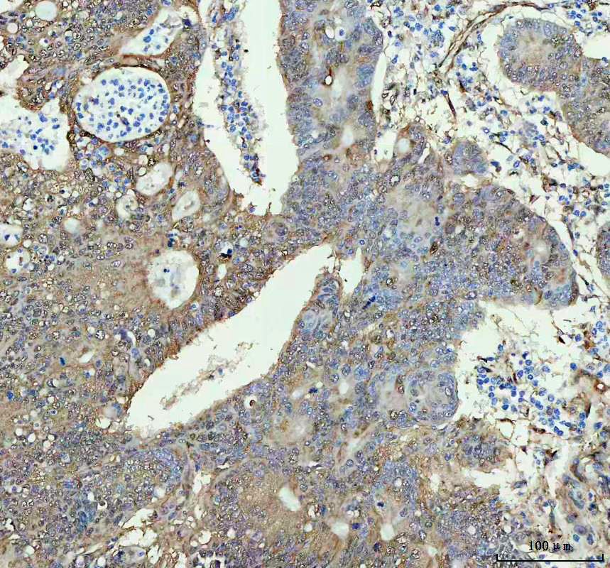
IHC analysis of PRNP using anti-PRNP antibody (BM4454) .
PRNP was detected in a paraffin-embedded section of human colon cancer tissue. The tissue section was incubated with rabbit anti-PRNP Antibody (BM4454) at a dilution of 1:200 and developed using HRP Conjugated Rabbit IgG Super Vision Assay Kit (Catalog # SV0002) with DAB (Catalog # AR1027) as the chromogen.

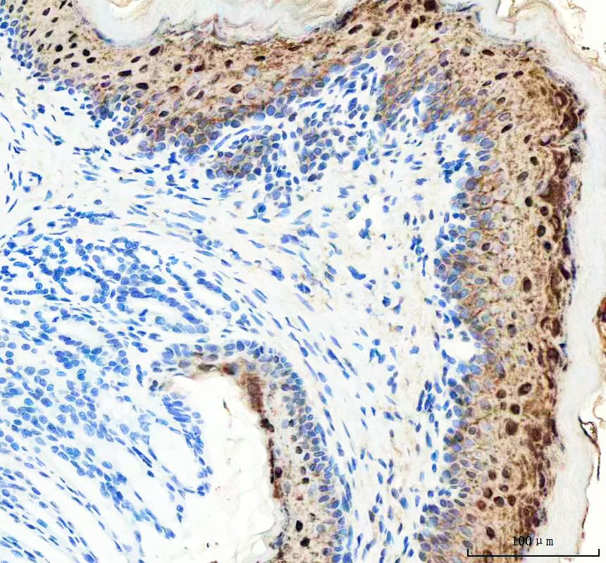
IHC analysis of PRNP using anti-PRNP antibody (BM4454) .
PRNP was detected in a paraffin-embedded section of rat stomach tissue. The tissue section was incubated with rabbit anti-PRNP Antibody (BM4454) at a dilution of 1:200 and developed using HRP Conjugated Rabbit IgG Super Vision Assay Kit (Catalog # SV0002) with DAB (Catalog # AR1027) as the chromogen.

Immunofluorescent analysis using the Antibody.

Immunofluorescent analysis using the Antibody.

Immunofluorescent analysis using the Antibody.

Western blot analysis of anti-PRNP antibody (BM4454). The sample well of each lane was loaded with 30 ug of sample under reducing conditions.
Lane 1: human Hela whole cell lysates,
Lane 2: human MCF-7 whole cell lysates,
Lane 3: human 293T whole cell lysates,
Lane 4: human K562 whole cell lysates.
After electrophoresis, proteins were transferred to a membrane. Then the membrane was incubated with rabbit anti-PRNP antigen affinity purified monoclonal antibody (BM4454) at a dilution of 1:1000 and probed with a goat anti-rabbit IgG-HRP secondary antibody (Catalog # BA1054). The signal is developed using ECL Plus Western Blotting Substrate (Catalog # AR1197). A specific band was detected for PRNP at approximately 27 kDa. The expected band size for PRNP is at 23 kDa.

IHC analysis of PRNP using anti-PRNP antibody (BM4454) .
PRNP was detected in a paraffin-embedded section of human colon cancer tissue. The tissue section was incubated with rabbit anti-PRNP Antibody (BM4454) at a dilution of 1:200 and developed using HRP Conjugated Rabbit IgG Super Vision Assay Kit (Catalog # SV0002) with DAB (Catalog # AR1027) as the chromogen.

IHC analysis of PRNP using anti-PRNP antibody (BM4454) .
PRNP was detected in a paraffin-embedded section of rat stomach tissue. The tissue section was incubated with rabbit anti-PRNP Antibody (BM4454) at a dilution of 1:200 and developed using HRP Conjugated Rabbit IgG Super Vision Assay Kit (Catalog # SV0002) with DAB (Catalog # AR1027) as the chromogen.

Immunofluorescent analysis using the Antibody.

Immunofluorescent analysis using the Antibody.

Immunofluorescent analysis using the Antibody.









