| Western blot (WB): | 1:500-2000 |
| Immunohistochemistry (IHC): | 1:50-400 |
| Immunocytochemistry/Immunofluorescence (ICC/IF): | 1:50-400 |
| ImmunoPrecipitation (IP): | 1:200-300 |
| Flow Cytometry (Fixed): | 1:50-200 |
| (Boiling the paraffin sections in 10mM citrate buffer,pH6.0,or PH8.0 EDTA repair liquid for 20 mins is required for the staining of formalin/paraffin sections.) Optimal working dilutions must be determined by end user. | |

Western blot analysis of HSP27/HSPB1 using anti-HSP27/HSPB1 antibody (PB9237). The sample well of each lane was loaded with 30 ug of sample under reducing conditions.
Lane 1: A549 whole cell lysates,
Lane 2: Caco-2 whole cell lysates,
Lane 3: Hela whole cell lysates,
Lane 4: MCF-7 whole cell lysates,
Lane 5: HT1080 whole cell lysates.
After electrophoresis, proteins were transferred to a membrane. Then the membrane was incubated with rabbit anti-HSP27/HSPB1 antigen affinity purified polyclonal antibody (PB9237) at a dilution of 1:1000 and probed with a goat anti-rabbit IgG-HRP secondary antibody (Catalog # BA1054). The signal is developed using ECL Plus Western Blotting Substrate (Catalog # AR1197). A specific band was detected for HSP27/HSPB1 at approximately 27 kDa. The expected band size for HSP27/HSPB1 is at 23 kDa.

IHC analysis of HSP27/HSPB1 using anti-HSP27/HSPB1 antibody (PB9237).
HSP27/HSPB1 was detected in a paraffin-embedded section of human intestinal cancer tissue. Biotinylated goat anti-rabbit IgG was used as secondary antibody. The tissue section was incubated with rabbit anti-HSP27/HSPB1 Antibody (PB9237) at a dilution of 1:200 and developed using Strepavidin-Biotin-Complex (SABC) (Catalog # SA1022) with DAB (Catalog # AR1027) as the chromogen.

IHC analysis of HSP27/HSPB1 using anti-HSP27/HSPB1 antibody (PB9237).
HSP27/HSPB1 was detected in a paraffin-embedded section of human mammary cancer tissue. Biotinylated goat anti-rabbit IgG was used as secondary antibody. The tissue section was incubated with rabbit anti-HSP27/HSPB1 Antibody (PB9237) at a dilution of 1:200 and developed using Strepavidin-Biotin-Complex (SABC) (Catalog # SA1022) with DAB (Catalog # AR1027) as the chromogen.

IHC analysis of HSP27/HSPB1 using anti-HSP27/HSPB1 antibody (PB9237).
HSP27/HSPB1 was detected in frozen section of human placenta tissue. Biotinylated goat anti-rabbit IgG was used as secondary antibody. The tissue section was incubated with rabbit anti-HSP27/HSPB1 Antibody (PB9237) at a dilution of 1:200 and developed using Strepavidin-Biotin-Complex (SABC) (Catalog # SA1022) with DAB (Catalog # AR1027) as the chromogen.

ICC/IF analysis of HSP27 using anti-HSP27 antibody (PB9237).
HSP27 was detected in immunocytochemical section of U2OS cells. Enzyme antigen retrieval was performed using IHC enzyme antigen retrieval reagent (AR0022) for 15 mins. The cells were blocked with 10% goat serum. And then incubated with 2μg/mL rabbit anti-HSP27 Antibody (PB9237) overnight at 4°C. Fluoro488 Conjugated Goat Anti-Rabbit IgG (BA1127) was used as secondary antibody at 1:100 dilution and incubated for 30 minutes at 37°C. The section was counterstained with DAPI. Visualize using a fluorescence microscope and filter sets appropriate for the label used.

IP analysis of HSP27/HSPB1 using anti-HSP27/HSPB1 antibody (PB9237) in Hela whole cell lysate.
Western blot analysis of HSP27/HSPB1 using anti- HSP27/HSPB1 antibody (PB9237).
Lane 1: Hela whole cell lysates(30ug),
Lane 2: Rabbit control IgG instead of anti- HSP27/HSPB1 antibody in Hela whole cell lysate,
Lane 3: anti- HSP27/HSPB1 antibody (2μg) + Hela whole cell lysate (500μg).
After electrophoresis, proteins were transferred to a membrane. Then the membrane was incubated with rabbit anti- HSP27/HSPB1 antigen affinity purified polyclonal antibody (PB9237) at a dilution of 1:1000 and probed with a mouse anti-rabbit IgG-HRP secondary antibody (Light chain). The signal is developed using ECL Plus Western Blotting Substrate (Catalog # AR1197). A specific band was detected for HSP27/HSPB1 at approximately 27 kDa. The expected band size for HSP27/HSPB1 is at 23 kDa.

Flow Cytometry analysis of A431 cells using anti-HSP27/HSPB1 antibody (PB9237).
Overlay histogram showing A431 cells stained with PB9237 (Blue line). To facilitate intracellular staining, cells were fixed with 4% paraformaldehyde and permeabilized with permeabilization buffer. The cells were blocked with 10% normal goat serum. And then incubated with rabbit anti-HSP27/HSPB1 Antibody (PB9237) at 1:100 dilution for 30 min at 20°C. Fluoro488 conjugated goat anti-rabbit IgG (BA1127) was used as secondary antibody at 1:100 dilution for 30 minutes at 20°C. Isotype control antibody (Green line) was rabbit IgG at 1:100 dilution used under the same conditions. Unlabelled sample without incubation with primary antibody and secondary antibody (Red line) was used as a blank control.

Western blot analysis of HSP27/HSPB1 using anti-HSP27/HSPB1 antibody (PB9237). The sample well of each lane was loaded with 30 ug of sample under reducing conditions.
Lane 1: A549 whole cell lysates,
Lane 2: Caco-2 whole cell lysates,
Lane 3: Hela whole cell lysates,
Lane 4: MCF-7 whole cell lysates,
Lane 5: HT1080 whole cell lysates.
After electrophoresis, proteins were transferred to a membrane. Then the membrane was incubated with rabbit anti-HSP27/HSPB1 antigen affinity purified polyclonal antibody (PB9237) at a dilution of 1:1000 and probed with a goat anti-rabbit IgG-HRP secondary antibody (Catalog # BA1054). The signal is developed using ECL Plus Western Blotting Substrate (Catalog # AR1197). A specific band was detected for HSP27/HSPB1 at approximately 27 kDa. The expected band size for HSP27/HSPB1 is at 23 kDa.

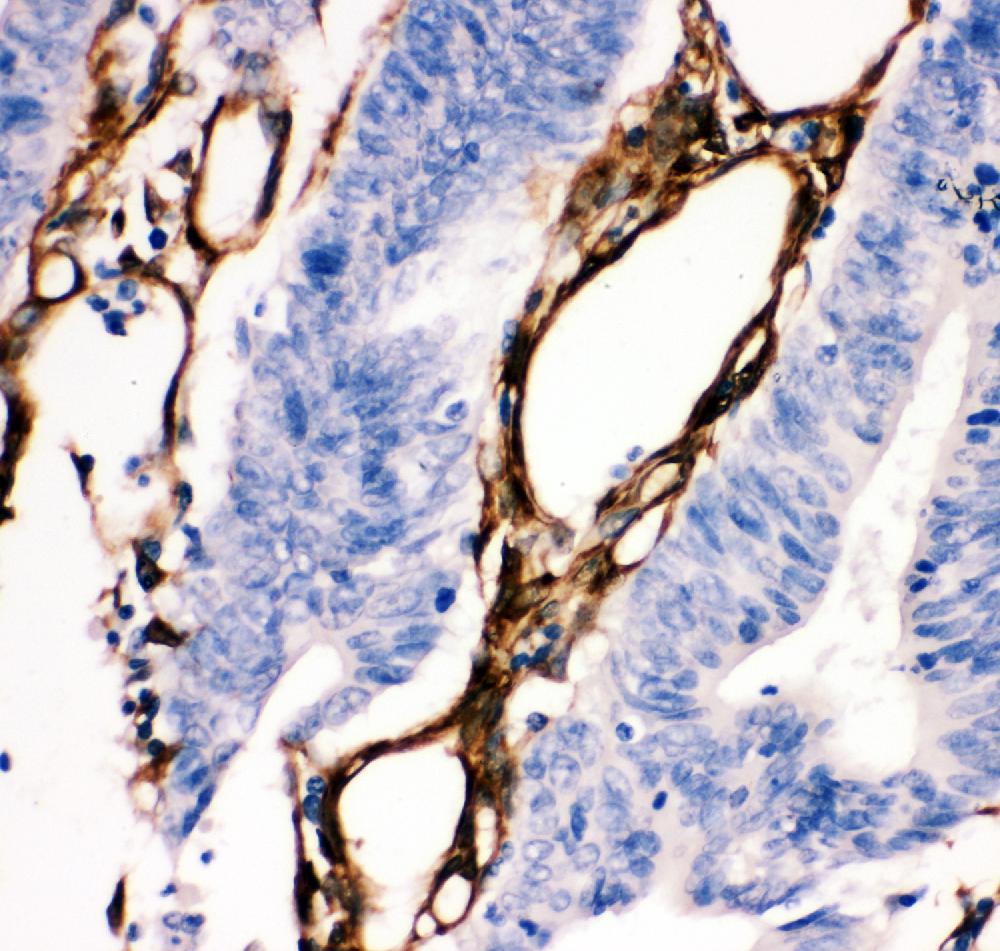
IHC analysis of HSP27/HSPB1 using anti-HSP27/HSPB1 antibody (PB9237).
HSP27/HSPB1 was detected in a paraffin-embedded section of human intestinal cancer tissue. Biotinylated goat anti-rabbit IgG was used as secondary antibody. The tissue section was incubated with rabbit anti-HSP27/HSPB1 Antibody (PB9237) at a dilution of 1:200 and developed using Strepavidin-Biotin-Complex (SABC) (Catalog # SA1022) with DAB (Catalog # AR1027) as the chromogen.

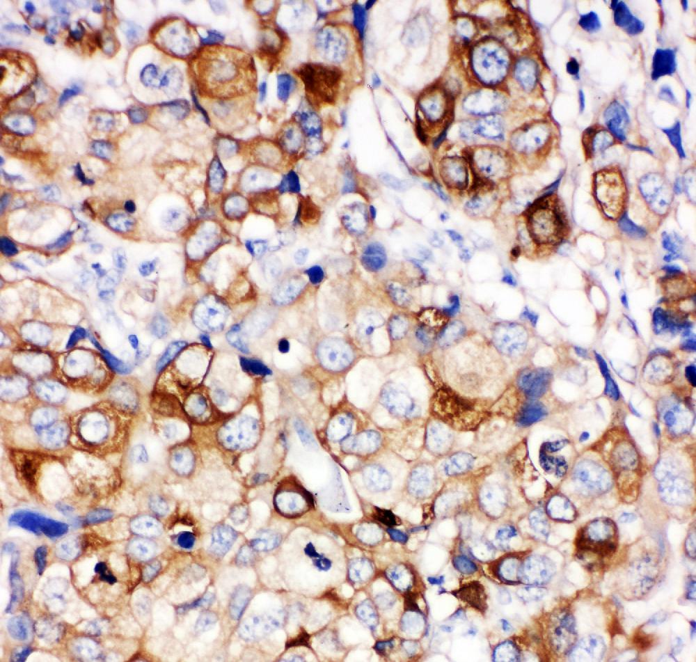
IHC analysis of HSP27/HSPB1 using anti-HSP27/HSPB1 antibody (PB9237).
HSP27/HSPB1 was detected in a paraffin-embedded section of human mammary cancer tissue. Biotinylated goat anti-rabbit IgG was used as secondary antibody. The tissue section was incubated with rabbit anti-HSP27/HSPB1 Antibody (PB9237) at a dilution of 1:200 and developed using Strepavidin-Biotin-Complex (SABC) (Catalog # SA1022) with DAB (Catalog # AR1027) as the chromogen.

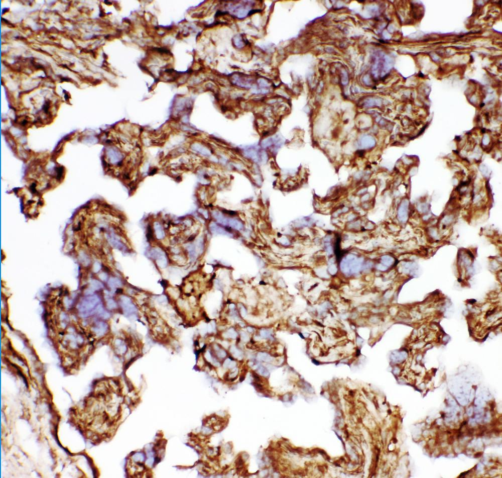
IHC analysis of HSP27/HSPB1 using anti-HSP27/HSPB1 antibody (PB9237).
HSP27/HSPB1 was detected in frozen section of human placenta tissue. Biotinylated goat anti-rabbit IgG was used as secondary antibody. The tissue section was incubated with rabbit anti-HSP27/HSPB1 Antibody (PB9237) at a dilution of 1:200 and developed using Strepavidin-Biotin-Complex (SABC) (Catalog # SA1022) with DAB (Catalog # AR1027) as the chromogen.

ICC/IF analysis of HSP27 using anti-HSP27 antibody (PB9237).
HSP27 was detected in immunocytochemical section of U2OS cells. Enzyme antigen retrieval was performed using IHC enzyme antigen retrieval reagent (AR0022) for 15 mins. The cells were blocked with 10% goat serum. And then incubated with 2μg/mL rabbit anti-HSP27 Antibody (PB9237) overnight at 4°C. Fluoro488 Conjugated Goat Anti-Rabbit IgG (BA1127) was used as secondary antibody at 1:100 dilution and incubated for 30 minutes at 37°C. The section was counterstained with DAPI. Visualize using a fluorescence microscope and filter sets appropriate for the label used.

IP analysis of HSP27/HSPB1 using anti-HSP27/HSPB1 antibody (PB9237) in Hela whole cell lysate.
Western blot analysis of HSP27/HSPB1 using anti- HSP27/HSPB1 antibody (PB9237).
Lane 1: Hela whole cell lysates(30ug),
Lane 2: Rabbit control IgG instead of anti- HSP27/HSPB1 antibody in Hela whole cell lysate,
Lane 3: anti- HSP27/HSPB1 antibody (2μg) + Hela whole cell lysate (500μg).
After electrophoresis, proteins were transferred to a membrane. Then the membrane was incubated with rabbit anti- HSP27/HSPB1 antigen affinity purified polyclonal antibody (PB9237) at a dilution of 1:1000 and probed with a mouse anti-rabbit IgG-HRP secondary antibody (Light chain). The signal is developed using ECL Plus Western Blotting Substrate (Catalog # AR1197). A specific band was detected for HSP27/HSPB1 at approximately 27 kDa. The expected band size for HSP27/HSPB1 is at 23 kDa.

Flow Cytometry analysis of A431 cells using anti-HSP27/HSPB1 antibody (PB9237).
Overlay histogram showing A431 cells stained with PB9237 (Blue line). To facilitate intracellular staining, cells were fixed with 4% paraformaldehyde and permeabilized with permeabilization buffer. The cells were blocked with 10% normal goat serum. And then incubated with rabbit anti-HSP27/HSPB1 Antibody (PB9237) at 1:100 dilution for 30 min at 20°C. Fluoro488 conjugated goat anti-rabbit IgG (BA1127) was used as secondary antibody at 1:100 dilution for 30 minutes at 20°C. Isotype control antibody (Green line) was rabbit IgG at 1:100 dilution used under the same conditions. Unlabelled sample without incubation with primary antibody and secondary antibody (Red line) was used as a blank control.






