欢迎访问博士德生物官网! 服务热线:027-67845390 |
您当前的位置: 首页 > 产品列表

筛选项

  • 检验物种

  • 应用范围

  • 宿主

  • 发货周期

  • 研究领域

  • 产品形态

  • 检测方法

共有 11 条产品信息

    • (12)

    Anti-PRKAR1A Antibody (Clone#OTI6C7)

    货号:M00699

    描述:Mouse monoclonal antibody

    检验物种: human, mouse, rat

    应用范围: WB, IHC, ICC/IF

    货期:5-7天

    说明书 一键复制产品信息

    加入购物车
  • Anti-PRKAR1A Antibody (Clone#OTI6C7)

    筛选器: All WB IHC ICC/IF

    • Equivalent amounts of cell lysates (10 ug per lane) of wild-type 293T cells (WT) and PRKAR1A-Knockout 293T cells (KO) were separated by SDS-PAGE and immunoblotted with anti-PRKAR1A monoclonal antibody M00699, (1:500). Then the blotted membrane was stripped and reprobed with anti-HSP90AB1 antibody ([MA01692]) as a loading control.

    • Western blot analysis of extracts (35ug) from 9 different cell lines by using anti-PRKAR1A monoclonal antibody.

    • Western blot analysis of extracts (10ug) from a mouse cell line and 3 different mouse tissues by using anti-PRKAR1A monoclonal antibody (1:200).

    • HEK293T cells were transfected with the pCMV6-ENTRY control (Left lane) or pCMV6-ENTRY PRKAR1A (Right lane) cDNA for 48 hrs and lysed. Equivalent amounts of cell lysates (5 ug per lane) were separated by SDS-PAGE and immunoblotted with anti-PRKAR1A (Cat# M00699).

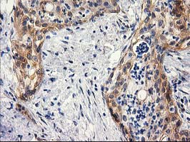
    • Immunohistochemical staining of paraffin-embedded prostate tissue within the normal limits using anti-PRKAR1Amouse monoclonal antibody. (Heat-induced epitope retrieval by 10mM citric buffer, pH6.0, 100°C for 10min, M00699, Dilution 1:50)

    • Immunohistochemical staining of paraffin-embedded endometrium tissue within the normal limits using anti-PRKAR1Amouse monoclonal antibody. (Heat-induced epitope retrieval by 10mM citric buffer, pH6.0, 100°C for 10min, M00699, Dilution 1:50)

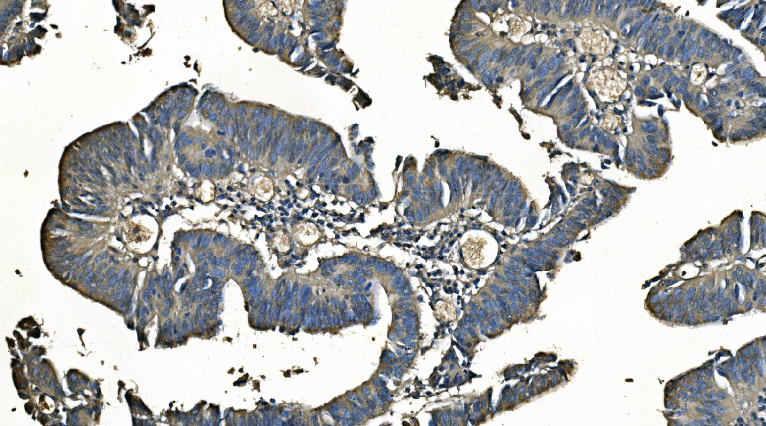
    • Immunohistochemical staining of paraffin-embedded colon tissue within the normal limits using anti-PRKAR1Amouse monoclonal antibody. (Heat-induced epitope retrieval by 10mM citric buffer, pH6.0, 100°C for 10min, M00699, Dilution 1:50)

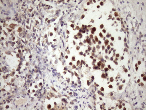
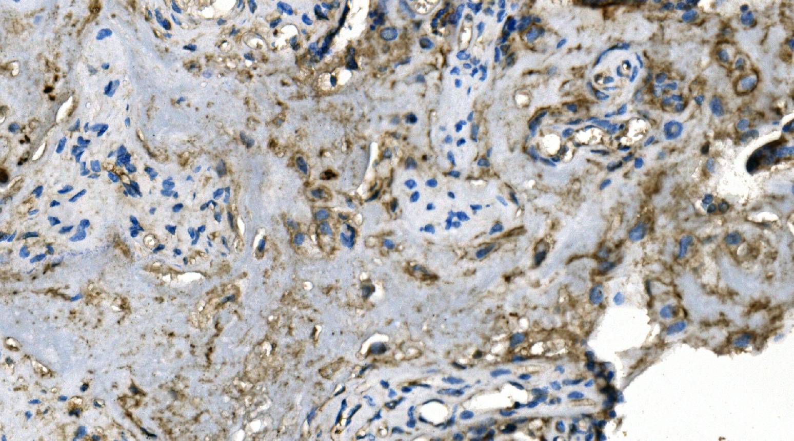
    • Figure from citation: PRKAR1A IHC in a CNC-associated cardiac myxoma. A, A photomicrograph of the specimen at low power exhibits the robust reactivity of the adjacent normal myocardium with antibodies directed against PRKAR1A. B, A high-power photomicrograph exhibits the lack of reactivity seen in the neoplastic (myxoma) cells, although the intratumoral histiocytes are still strongly reactive. Dilution: 1:8000 View Citation

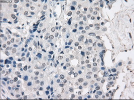
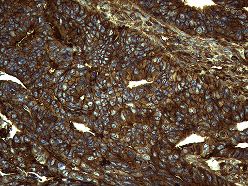
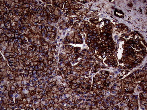
    • Immunohistochemical staining of paraffin-embedded Adenocarcinoma of breast tissue using anti-PRKAR1A mouse monoclonal antibody. (Heat-induced epitope retrieval by 10mM citric buffer, pH6.0, 100°C for 10min, M00699, Dilution 1:50)

    • Immunohistochemical staining of paraffin-embedded Ovary tissue within the normal limits using anti-PRKAR1Amouse monoclonal antibody. (Heat-induced epitope retrieval by 10mM citric buffer, pH6.0, 100°C for 10min, M00699, Dilution 1:50)

    • Immunohistochemical staining of paraffin-embedded Carcinoma of bladder tissue using anti-PRKAR1Amouse monoclonal antibody. (Heat-induced epitope retrieval by 10mM citric buffer, pH6.0, 100°C for 10min, M00699, Dilution 1:50)

    • Anti-PRKAR1A mouse monoclonal antibody immunofluorescent staining of COS7 cells transiently transfected by pCMV6-ENTRY PRKAR1A .

    亮暗模式切换
    X
    • (7)

    Anti-PRKAR1B Antibody (Clone#OTI2A3)

    货号:M07227

    描述:Mouse monoclonal antibody

    检验物种: human, mouse, rat

    应用范围: WB, IHC, ICC/IF, FCM

    货期:5-7天

    说明书 一键复制产品信息

    加入购物车
  • Anti-PRKAR1B Antibody (Clone#OTI2A3)

    • HEK293T cells transfected with either overexpress plasmid (Red) or empty vector control plasmid (Blue) were immunostained by anti-PRKAR1B antibody, and then analyzed by flow cytometry.

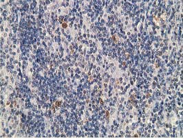
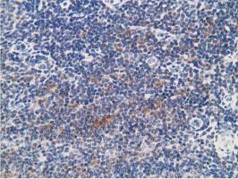
    • Immunohistochemical staining of paraffin-embedded Human lymphoma tissue using anti-PRKAR1B mouse monoclonal antibody. (Heat-induced epitope retrieval by 10mM citric buffer, pH6.0, 100°C for 10min, M07227)

    • Flow cytometric Analysis of Hela cells, using anti-PRKAR1B antibody, (Red), compared to a nonspecific negative control antibody, (Blue).

    • Immunohistochemical staining of paraffin-embedded Human lymph node tissue within the normal limits using anti-PRKAR1B mouse monoclonal antibody. (Heat-induced epitope retrieval by 10mM citric buffer, pH6.0, 100°C for 10min, M07227)

    • Anti-PRKAR1B mouse monoclonal antibody immunofluorescent staining of COS7 cells transiently transfected by pCMV6-ENTRY PRKAR1B .

    • Flow cytometric Analysis of Jurkat cells, using anti-PRKAR1B antibody, (Red), compared to a nonspecific negative control antibody, (Blue).

    • HEK293T cells were transfected with the pCMV6-ENTRY control (Left lane) or pCMV6-ENTRY PRKAR1B (Right lane) cDNA for 48 hrs and lysed. Equivalent amounts of cell lysates (5 ug per lane) were separated by SDS-PAGE and immunoblotted with anti-PRKAR1B (Cat# M07227).

    亮暗模式切换
    X
    • (7)

    Anti-p130 Cas/BCAR1 Antibody (Clone#OTI3A11)

    货号:M00960-3

    描述:Mouse monoclonal antibody

    检验物种: human, mouse, rat, dog, monkey

    应用范围: WB, IHC, ICC/IF, FCM

    货期:5-7天

    说明书 一键复制产品信息

    加入购物车
  • Anti-p130 Cas/BCAR1 Antibody (Clone#OTI3A11)

    • Western blot analysis of extracts (35ug) from 9 different cell lines by using anti-BCAR1 monoclonal antibody.

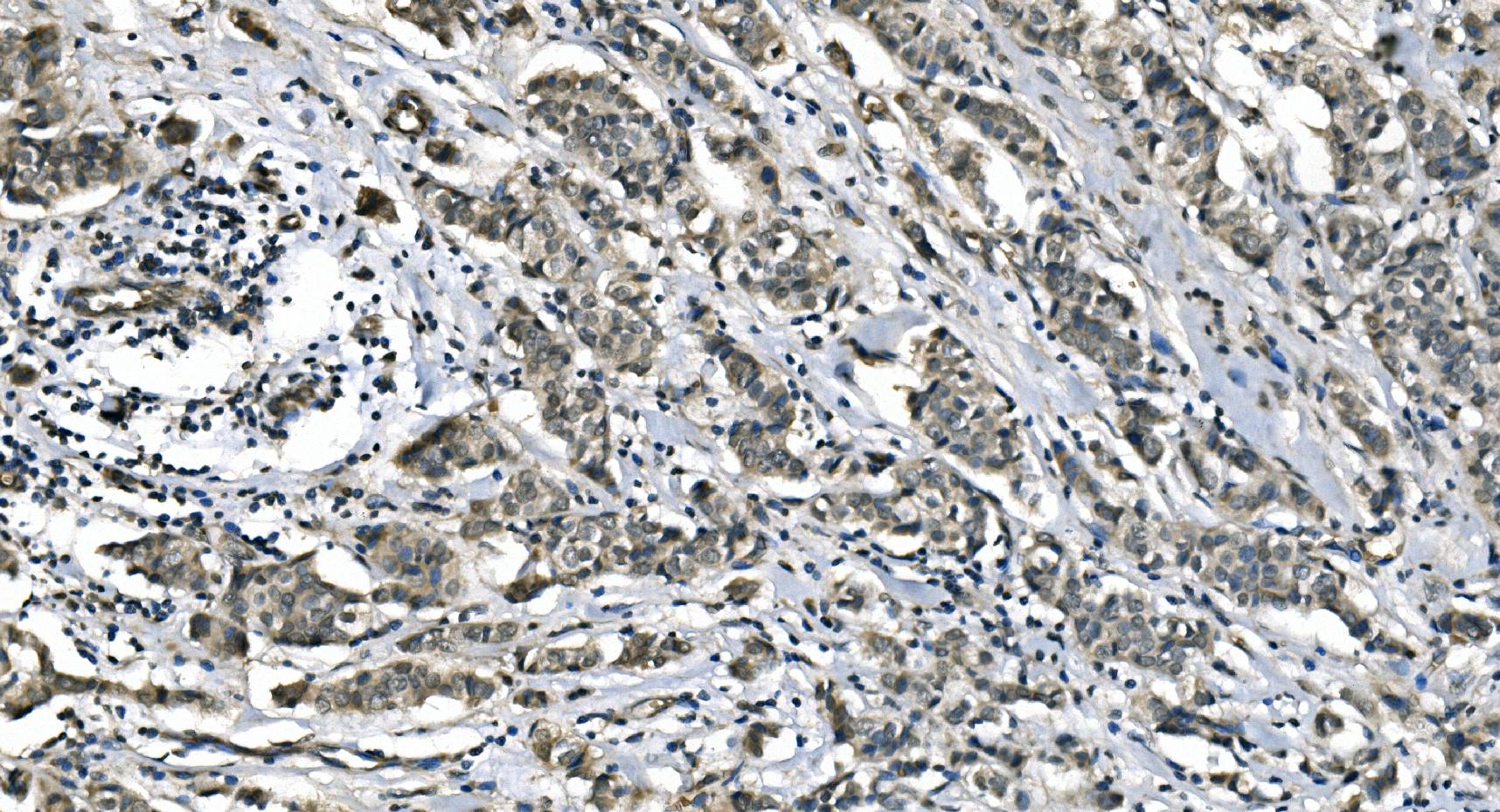
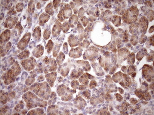
    • Immunohistochemical staining of paraffin-embedded Carcinoma of Human pancreas tissue using anti-BCAR1 mouse monoclonal antibody. (Heat-induced epitope retrieval by 10mM citric buffer, pH6.0, 100°C for 10min, M00960-3)

    • HEK293T cells transfected with either overexpress plasmid (Red) or empty vector control plasmid (Blue) were immunostained by anti-BCAR1 antibody, and then analyzed by flow cytometry.

    • Flow cytometric Analysis of Hela cells, using anti-BCAR1 antibody, (Red), compared to a nonspecific negative control antibody, (Blue).

    • Anti-BCAR1 mouse monoclonal antibody immunofluorescent staining of COS7 cells transiently transfected by pCMV6-ENTRY BCAR1 .

    • Flow cytometric Analysis of Jurkat cells, using anti-BCAR1 antibody, (Red), compared to a nonspecific negative control antibody, (Blue).

    • HEK293T cells were transfected with the pCMV6-ENTRY control (Left lane) or pCMV6-ENTRY BCAR1 (Right lane) cDNA for 48 hrs and lysed. Equivalent amounts of cell lysates (5 ug per lane) were separated by SDS-PAGE and immunoblotted with anti-BCAR1.

    亮暗模式切换
    X
    • (3)

    Anti-EDG2/LPAR1 Antibody (Clone#OTI1G6)

    货号:M02782-1

    描述:Mouse monoclonal antibody

    检验物种: human, mouse, rat

    应用范围: WB, ICC/IF, FCM

    货期:5-7天

    说明书 一键复制产品信息

    加入购物车
  • Anti-EDG2/LPAR1 Antibody (Clone#OTI1G6)

    筛选器: All WB ICC/IF FCM

    • HEK293T cells were transfected with the pCMV6-ENTRY control (Left lane) or pCMV6-ENTRY LPAR1 (Right lane) cDNA for 48 hrs and lysed. Equivalent amounts of cell lysates (5 ug per lane) were separated by SDS-PAGE and immunoblotted with anti-LPAR1(Cat# M02782-1).

    • Anti-LPAR1 mouse monoclonal antibody immunofluorescent staining of COS7 cells transiently transfected by pCMV6-ENTRY LPAR1 .

    • HEK293T cells transfected with either overexpress plasmid (Red) or empty vector control plasmid (Blue) were immunostained by anti-LPAR1 antibody, and then analyzed by flow cytometry.

    亮暗模式切换
    X
    • (7)

    Anti-CA1 Antibody (Clone#2B5)

    货号:M00170-2

    描述:Mouse monoclonal antibody

    检验物种: human, mouse, rat

    应用范围: WB, IHC

    货期:现货

    说明书 一键复制产品信息

    加入购物车
  • Anti-CA1 Antibody (Clone#2B5)

    筛选器: All WB IHC

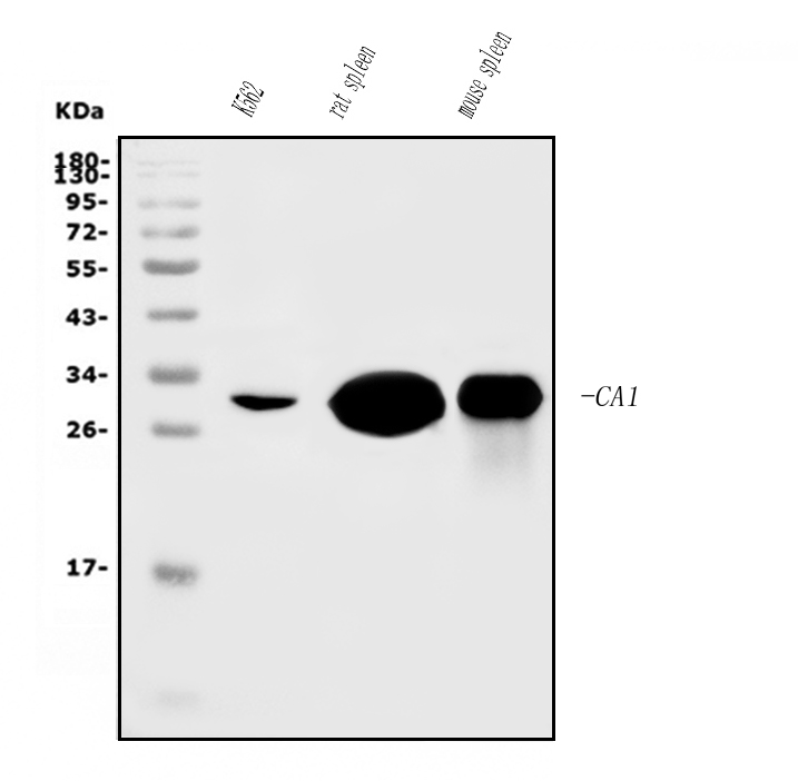
    • Western blot analysis of CA1 using anti-CA1 antibody (M00170-2). The sample well of each lane was loaded with 30 ug of sample under reducing conditions.
      Lane 1: human K562 whole cell lysates,
      Lane 2: rat spleen tissue lysates,
      Lane 3: mouse spleen tissue lysates.
      After electrophoresis, proteins were transferred to a membrane. Then the membrane was incubated with mouse anti-CA1 antigen affinity purified monoclonal antibody (M00170-2) at a dilution of 1:1000 and probed with a goat anti-mouse IgG-HRP secondary antibody (Catalog # BA1050). The signal is developed using ECL Plus Western Blotting Substrate (Catalog # AR1197). A specific band was detected for CA1 at approximately 29 kDa. The expected band size for CA1 is at 29 kDa.

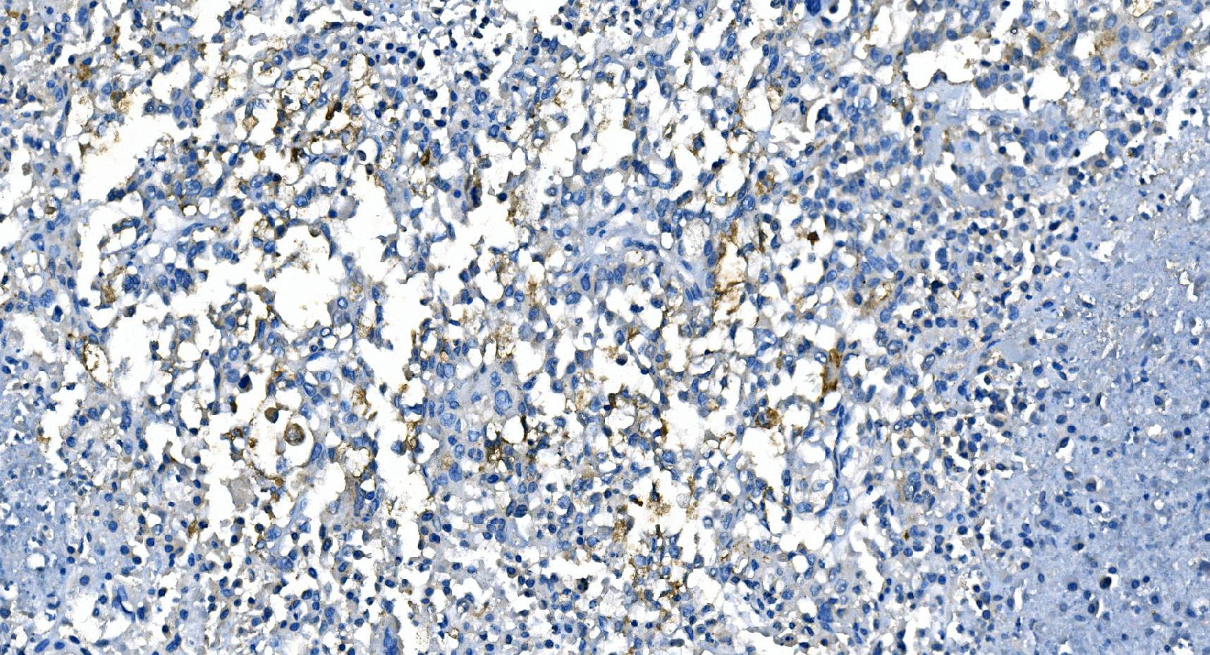
    • IHC analysis of CA1 using anti-CA1 antibody (M00170-2).
      CA1 was detected in a paraffin-embedded section of human colon cancer tissue. Biotinylated goat anti-mouse IgG was used as secondary antibody. The tissue section was incubated with mouse anti-CA1 Antibody (M00170-2) at a dilution of 1:200 and developed using Strepavidin-Biotin-Complex (SABC) (Catalog # SA1021) with DAB (Catalog # AR1027) as the chromogen.

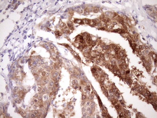
    • IHC analysis of CA1 using anti-CA1 antibody (M00170-2).
      CA1 was detected in a paraffin-embedded section of human gastric cancer tissue. Biotinylated goat anti-mouse IgG was used as secondary antibody. The tissue section was incubated with mouse anti-CA1 Antibody (M00170-2) at a dilution of 1:200 and developed using Strepavidin-Biotin-Complex (SABC) (Catalog # SA1021) with DAB (Catalog # AR1027) as the chromogen.

    • IHC analysis of CA1 using anti-CA1 antibody (M00170-2).
      CA1 was detected in a paraffin-embedded section of human liver cancer tissue. Biotinylated goat anti-mouse IgG was used as secondary antibody. The tissue section was incubated with mouse anti-CA1 Antibody (M00170-2) at a dilution of 1:200 and developed using Strepavidin-Biotin-Complex (SABC) (Catalog # SA1021) with DAB (Catalog # AR1027) as the chromogen.

    • IHC analysis of CA1 using anti-CA1 antibody (M00170-2).
      CA1 was detected in a paraffin-embedded section of human lung cancer tissue. Biotinylated goat anti-mouse IgG was used as secondary antibody. The tissue section was incubated with mouse anti-CA1 Antibody (M00170-2) at a dilution of 1:200 and developed using Strepavidin-Biotin-Complex (SABC) (Catalog # SA1021) with DAB (Catalog # AR1027) as the chromogen.

    • IHC analysis of CA1 using anti-CA1 antibody (M00170-2).
      CA1 was detected in a paraffin-embedded section of human pancreatic cancer tissue. Biotinylated goat anti-mouse IgG was used as secondary antibody. The tissue section was incubated with mouse anti-CA1 Antibody (M00170-2) at a dilution of 1:200 and developed using Strepavidin-Biotin-Complex (SABC) (Catalog # SA1021) with DAB (Catalog # AR1027) as the chromogen.

    • IHC analysis of CA1 using anti-CA1 antibody (M00170-2).
      CA1 was detected in a paraffin-embedded section of human tonsil tissue. Biotinylated goat anti-mouse IgG was used as secondary antibody. The tissue section was incubated with mouse anti-CA1 Antibody (M00170-2) at a dilution of 1:200 and developed using Strepavidin-Biotin-Complex (SABC) (Catalog # SA1021) with DAB (Catalog # AR1027) as the chromogen.

    亮暗模式切换
    X
    • (4)

    Anti-IQGAP1 Antibody (Clone#OTI6E10)

    货号:M01603-2

    描述:Mouse monoclonal antibody

    检验物种: human, mouse, rat

    应用范围: IHC, WB

    货期:5-7天

    说明书 一键复制产品信息

    加入购物车
  • Anti-IQGAP1 Antibody (Clone#OTI6E10)

    筛选器: All IHC WB

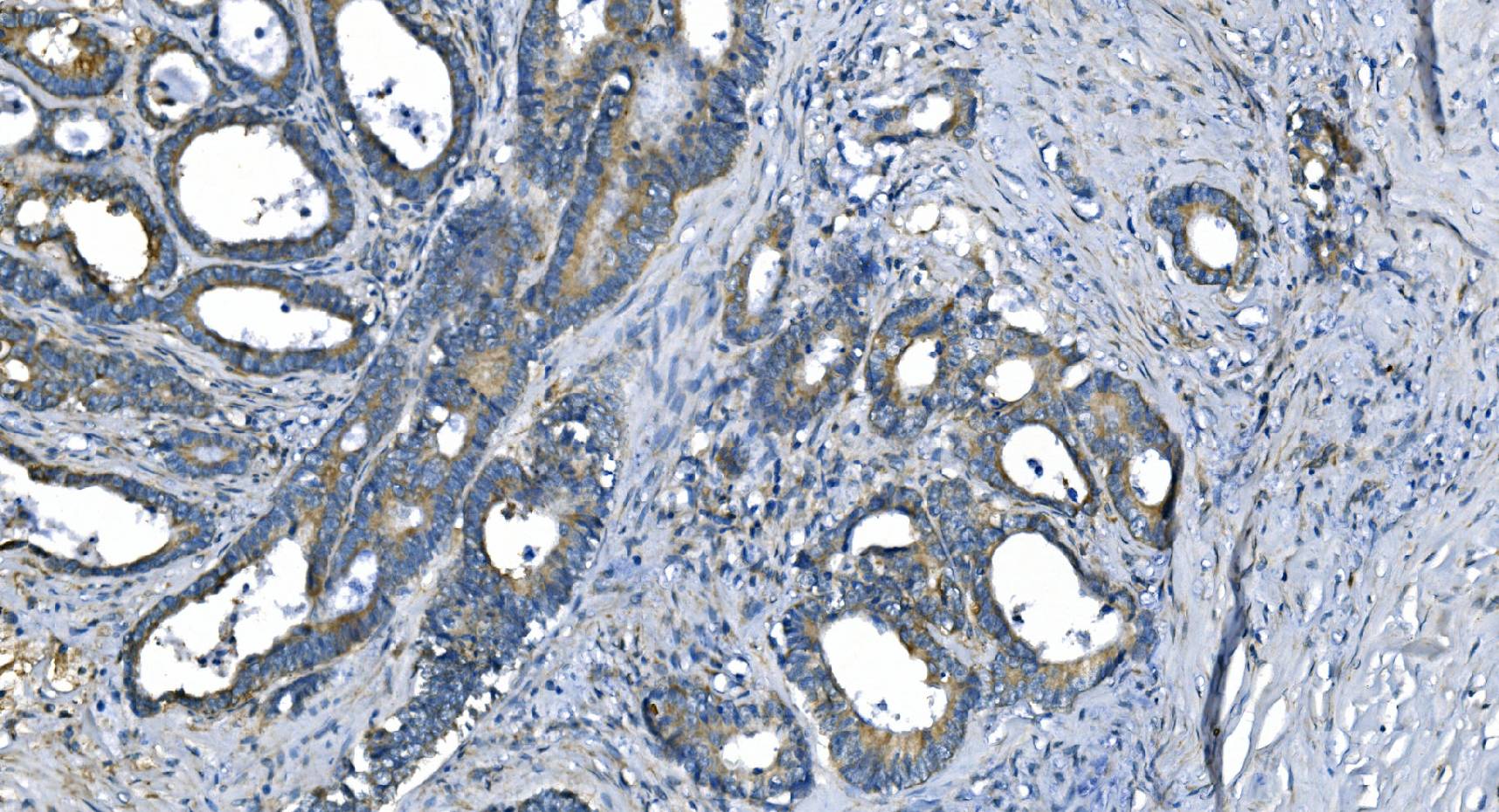
    • Immunohistochemical staining of paraffin-embedded Adenocarcinoma of Human colon tissue using anti-IQGAP1 mouse monoclonal antibody. (Heat-induced epitope retrieval by 1mM EDTA in 10mM Tris buffer (pH8.5) at 120°C for 3min, M01603-2) (1:2000)

    • Immunohistochemical staining of paraffin-embedded Human pancreas tissue within the normal limits using anti-IQGAP1 mouse monoclonal antibody. (Heat-induced epitope retrieval by 1mM EDTA in 10mM Tris buffer (pH8.5) at 120°C for 3min, M01603-2) (1:2000)

    • HEK293T cells were transfected with the pCMV6-ENTRY control (Left lane) or pCMV6-ENTRY IQGAP1 (Right lane) cDNA for 48 hrs and lysed. Equivalent amounts of cell lysates (5 ug per lane) were separated by SDS-PAGE and immunoblotted with anti-IQGAP1 (1:2000).

    • Western blot analysis of extracts (35ug) from 7 different cell lines by using anti-IQGAP1 monoclonal antibody (1:500).

    亮暗模式切换
    X
    • (1)

    Anti-MARK3 Antibody (Clone#OTI2A4)

    货号:M05355-2

    描述:Mouse monoclonal antibody

    检验物种: human, mouse, rat

    应用范围: WB

    货期:5-7天

    说明书 一键复制产品信息

    加入购物车
  • Anti-MARK3 Antibody (Clone#OTI2A4)

    筛选器: All WB

    • HEK293T cells were transfected with the pCMV6-ENTRY control (Left lane) or pCMV6-ENTRY MARK3 (Right lane) cDNA for 48 hrs and lysed. Equivalent amounts of cell lysates (5 ug per lane) were separated by SDS-PAGE and immunoblotted with anti-MARK3.

    亮暗模式切换
    X
    • (9)

    Anti-PIN4 Antibody (Clone#OTI7H2)

    货号:M05181

    描述:Mouse monoclonal antibody

    检验物种: human, mouse, rat

    应用范围: IHC, WB

    货期:5-7天

    说明书 一键复制产品信息

    加入购物车
  • Anti-PIN4 Antibody (Clone#OTI7H2)

    筛选器: All IHC WB

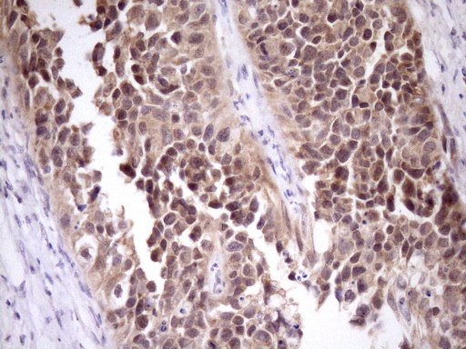
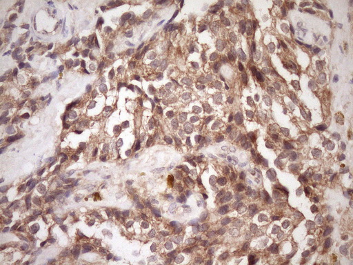
    • Immunohistochemical staining of paraffin-embedded Carcinoma of Human liver tissue using anti-PIN4 mouse monoclonal antibody. (Heat-induced epitope retrieval by Tris-EDTA, pH8.0, M05181) (1:150)

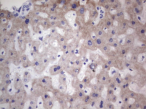
    • Immunohistochemical staining of paraffin-embedded Human liver tissue within the normal limits using anti-PIN4 mouse monoclonal antibody. (Heat-induced epitope retrieval by Tris-EDTA, pH8.0, M05181) (1:150)

    • Immunohistochemical staining of paraffin-embedded Carcinoma of Human kidney tissue using anti-PIN4 mouse monoclonal antibody. (Heat-induced epitope retrieval by Tris-EDTA, pH8.0, M05181) (1:150)

    • Immunohistochemical staining of paraffin-embedded Carcinoma of Human pancreas tissue using anti-PIN4 mouse monoclonal antibody. (Heat-induced epitope retrieval by Tris-EDTA, pH8.0, M05181) (1:150)

    • Immunohistochemical staining of paraffin-embedded Human pancreas tissue within the normal limits using anti-PIN4 mouse monoclonal antibody. (Heat-induced epitope retrieval by Tris-EDTA, pH8.0, M05181) (1:150)

    • Immunohistochemical staining of paraffin-embedded Adenocarcinoma of Human breast tissue using anti-PIN4 mouse monoclonal antibody. (Heat-induced epitope retrieval by Tris-EDTA, pH8.0, M05181) (1:150)

    • Immunohistochemical staining of paraffin-embedded Adenocarcinoma of Human ovary tissue using anti-PIN4 mouse monoclonal antibody. (Heat-induced epitope retrieval by Tris-EDTA, pH8.0, M05181) (1:150)

    • Immunohistochemical staining of paraffin-embedded Human bladder tissue within the normal limits using anti-PIN4 mouse monoclonal antibody. (Heat-induced epitope retrieval by Tris-EDTA, pH8.0, M05181) (1:150)

    • HEK293T cells were transfected with the pCMV6-ENTRY control (Left lane) or pCMV6-ENTRY PIN4 (Right lane) cDNA for 48 hrs and lysed. Equivalent amounts of cell lysates (5 ug per lane) were separated by SDS-PAGE and immunoblotted with anti-PIN4 (Cat# M05181)(1:2000).

    亮暗模式切换
    X
    • (9)

    Anti-CA1 Antibody (Clone#4D5)

    货号:M00170-1

    描述:Mouse monoclonal antibody

    检验物种: human, mouse, rat

    应用范围: WB, IHC, FCM

    货期:现货

    说明书 一键复制产品信息

    加入购物车
  • Anti-CA1 Antibody (Clone#4D5)

    筛选器: All WB IHC FCM

    • Western blot analysis of CA1 using anti-CA1 antibody (M00170-1). The sample well of each lane was loaded with 30 ug of sample under reducing conditions.
      Lane 1: human K562 whole cell lysates,
      Lane 2: rat spleen tissue lysates,
      Lane 3: mouse spleen tissue lysates.
      After electrophoresis, proteins were transferred to a membrane. Then the membrane was incubated with mouse anti-CA1 antigen affinity purified monoclonal antibody (M00170-1) at a dilution of 1:1000 and probed with a goat anti-mouse IgG-HRP secondary antibody (Catalog # BA1050). The signal is developed using ECL Plus Western Blotting Substrate (Catalog # AR1197). A specific band was detected for CA1 at approximately 29 kDa. The expected band size for CA1 is at 29 kDa.

    • IHC analysis of CA1 using anti-CA1 antibody (M00170-1).
      CA1 was detected in a paraffin-embedded section of human breast cancer tissue. Biotinylated goat anti-mouse IgG was used as secondary antibody. The tissue section was incubated with mouse anti-CA1 Antibody (M00170-1) at a dilution of 1:200 and developed using Strepavidin-Biotin-Complex (SABC) (Catalog # SA1021) with DAB (Catalog # AR1027) as the chromogen.

    • IHC analysis of CA1 using anti-CA1 antibody (M00170-1).
      CA1 was detected in a paraffin-embedded section of human liver cancer tissue. Biotinylated goat anti-mouse IgG was used as secondary antibody. The tissue section was incubated with mouse anti-CA1 Antibody (M00170-1) at a dilution of 1:200 and developed using Strepavidin-Biotin-Complex (SABC) (Catalog # SA1021) with DAB (Catalog # AR1027) as the chromogen.

    • IHC analysis of CA1 using anti-CA1 antibody (M00170-1).
      CA1 was detected in a paraffin-embedded section of human placenta tissue. Biotinylated goat anti-mouse IgG was used as secondary antibody. The tissue section was incubated with mouse anti-CA1 Antibody (M00170-1) at a dilution of 1:200 and developed using Strepavidin-Biotin-Complex (SABC) (Catalog # SA1021) with DAB (Catalog # AR1027) as the chromogen.

    • IHC analysis of CA1 using anti-CA1 antibody (M00170-1).
      CA1 was detected in a paraffin-embedded section of human prostate cancer tissue. Biotinylated goat anti-mouse IgG was used as secondary antibody. The tissue section was incubated with mouse anti-CA1 Antibody (M00170-1) at a dilution of 1:200 and developed using Strepavidin-Biotin-Complex (SABC) (Catalog # SA1021) with DAB (Catalog # AR1027) as the chromogen.

    • IHC analysis of CA1 using anti-CA1 antibody (M00170-1).
      CA1 was detected in a paraffin-embedded section of human rectal cancer tissue. Biotinylated goat anti-mouse IgG was used as secondary antibody. The tissue section was incubated with mouse anti-CA1 Antibody (M00170-1) at a dilution of 1:200 and developed using Strepavidin-Biotin-Complex (SABC) (Catalog # SA1021) with DAB (Catalog # AR1027) as the chromogen.

    • IHC analysis of CA1 using anti-CA1 antibody (M00170-1).
      CA1 was detected in a paraffin-embedded section of human esophageal squamous carcinoma tissue. Biotinylated goat anti-mouse IgG was used as secondary antibody. The tissue section was incubated with mouse anti-CA1 Antibody (M00170-1) at a dilution of 1:200 and developed using Strepavidin-Biotin-Complex (SABC) (Catalog # SA1021) with DAB (Catalog # AR1027) as the chromogen.

    • IHC analysis of CA1 using anti-CA1 antibody (M00170-1).
      CA1 was detected in a paraffin-embedded section of human prostate cancer tissue. Biotinylated goat anti-mouse IgG was used as secondary antibody. The tissue section was incubated with mouse anti-CA1 Antibody (M00170-1) at a dilution of 1:200 and developed using Strepavidin-Biotin-Complex (SABC) (Catalog # SA1021) with DAB (Catalog # AR1027) as the chromogen.

    • Flow Cytometry analysis of SiHa cells using anti-CA1 antibody (M00170-1).
      Overlay histogram showing SiHa cells stained with M00170-1 (Blue line). To facilitate intracellular staining, cells were fixed with 4% paraformaldehyde and permeabilized with permeabilization buffer. The cells were blocked with 10% normal goat serum. And then incubated with mouse anti-CA1 Antibody (M00170-1) at 1:100 dilution for 30 min at 20°C. Fluoro488 conjugated goat anti-mouse IgG (BA1126) was used as secondary antibody at 1:100 dilution for 30 minutes at 20°C. Isotype control antibody (Green line) was mouse IgG at 1:100 dilution used under the same conditions. Unlabelled sample without incubation with primary antibody and secondary antibody (Red line) was used as a blank control.

    亮暗模式切换
    X
    • (3)

    Anti-NR1I3 Antibody (Clone#OTI1B2)

    货号:M02858-1

    描述:Mouse monoclonal antibody

    检验物种: human

    应用范围: IHC, WB

    货期:5-7天

    说明书 一键复制产品信息

    加入购物车
  • Anti-NR1I3 Antibody (Clone#OTI1B2)

    筛选器: All IHC WB

    • Immunohistochemical staining of paraffin-embedded Human liver tissue within the normal limits using anti-NR1I3 mouse monoclonal antibody. (Heat-induced epitope retrieval by 1mM EDTA in 10mM Tris, pH8.5, 120°C for 3min, M02858-1)

    • Western blot analysis of extracts (10ug) from 2 different cell lines by using anti-NR1I3 monoclonal antibody (1:200).

    • HEK293T cells were transfected with the pCMV6-ENTRY control (Left lane) or pCMV6-ENTRY NR1I3 (Right lane) cDNA for 48 hrs and lysed. Equivalent amounts of cell lysates (5 ug per lane) were separated by SDS-PAGE and immunoblotted with anti-NR1I3.

    亮暗模式切换
    X
    • (2)

    Anti-Calcium Sensing Receptor/CASR Antibody (Clone#11E9)

    货号:M00574

    描述:Mouse monoclonal antibody

    检验物种: human

    应用范围: WB, FCM

    货期:现货

    说明书 一键复制产品信息

    加入购物车
  • Anti-Calcium Sensing Receptor/CASR Antibody (Clone#11E9)

    筛选器: All WB FCM

    • Western blot analysis of anti-Calcium Sensing Receptor/CASR antibody (M00574). The sample well of each lane was loaded with 30 ug of sample under reducing conditions.
      Lane 1: human Hela whole cell lysate,
      Lane 2: human A549 whole cell lysate,
      Lane 3: human 22RV1 whole cell lysate,
      Lane 4: human HepG2 whole cell lysate,
      Lane 5: human Caco-2 whole cell lysate.
      After electrophoresis, proteins were transferred to a membrane. Then the membrane was incubated with mouse anti-Calcium Sensing Receptor/CASR antigen affinity purified monoclonal antibody (M00574) at a dilution of 1:1000 and probed with a goat anti-mouse IgG-HRP secondary antibody (Catalog # BA1050). The signal is developed using ECL Plus Western Blotting Substrate (Catalog # AR1197). A specific band was detected for Calcium Sensing Receptor/CASR at approximately 130 kDa. The expected band size for Calcium Sensing Receptor/CASR is at 121 kDa.

    • Flow Cytometry analysis of Neuro-2a cells using anti-Calcium Sensing Receptor/CASR antibody (M00574).
      Overlay histogram showing Neuro-2a cells stained with M00574 (Blue line). The cells were blocked with 10% normal goat serum. And then incubated with mouse anti-Calcium Sensing Receptor/CASR Antibody (M00574) at 1:100 dilution for 30 min at 20°C. Fluoro488 conjugated goat anti-mouse IgG (BA1126) was used as secondary antibody at 1:100 dilution for 30 minutes at 20°C. Isotype control antibody (Green line) was mouse IgG at 1:100 dilution used under the same conditions. Unlabelled sample without incubation with primary antibody and secondary antibody (Red line) was used as a blank control.

    亮暗模式切换
    X

成功添加到购物车

查看购物车 继续购物

在线
客服

在线客服
服务时间:08:30 - 17:30

点击下列客服在线咨询:

服务热线

服务
热线

客服服务热线

027-67845390
客服服务热线

扫码

扫码
咨询

微信二维码 微信扫一扫立即咨询
返回顶部 顶部